Suppr超能文献

缆毛菌毛和相关的 22 kDa 黏附素有助于伯克霍尔德菌在体内的持续存在。

Cable pili and the associated 22 kDa adhesin contribute to Burkholderia cenocepacia persistence in vivo.

机构信息

Department of Microbiology, University of Virginia Health System, Charlottesville, Virginia, United States of America.

出版信息

PLoS One. 2011;6(7):e22435. doi: 10.1371/journal.pone.0022435. Epub 2011 Jul 21.

Abstract

BACKGROUND

Infection by Burkholderia cenocepacia in cystic fibrosis (CF) patients is associated with poor clinical prognosis. Previously, we demonstrated that one of the highly transmissible strains, BC7, expresses cable pili and the associated 22 kDa adhesin, both of which contribute to BC7 binding to airway epithelial cells. However, the contribution of these factors to induce inflammation and bacterial persistence in vivo is not known.

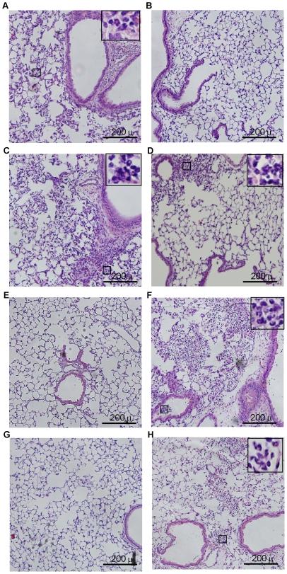
METHODOLOGY/PRINCIPAL FINDINGS: Wild-type BC7 stimulated higher IL-8 responses than the BC7 cbl and BC7 adhA mutants in both CF and normal bronchial epithelial cells. To determine the role of cable pili and the associated adhesin, we characterized a mouse model of B. cenocepacia, where BC7 are suspended in Pseudomonas aeruginosa alginate. C57BL/6 mice were infected intratracheally with wild-type BC7 suspended in either alginate or PBS and were monitored for lung bacterial load and inflammation. Mice infected with BC7 suspended in PBS completely cleared the bacteria by 3 days and resolved the inflammation. In contrast, mice infected with BC7 suspended in alginate showed persistence of bacteria and moderate lung inflammation up to 5 days post-infection. Using this model, mice infected with the BC7 cbl and BC7 adhA mutants showed lower bacterial loads and mild inflammation compared to mice infected with wild-type BC7. Complementation of the BC7 cblS mutation in trans restored the capacity of this strain to persist in vivo. Immunolocalization of bacteria revealed wild-type BC7 in both airway lumen and alveoli, while the BC7 cbl and BC7 adhA mutants were found mainly in airway lumen and peribronchiolar region.

CONCLUSIONS AND SIGNIFICANCE

B. cenocepacia suspended in alginate can be used to determine the capacity of bacteria to persist and cause lung inflammation in normal mice. Both cable pili and adhesin contribute to BC7-stimulated IL-8 response in vitro, and BC7 persistence and resultant inflammation in vivo.

摘要

背景

伯克霍尔德氏菌中铜绿假单胞菌感染囊性纤维化(CF)患者与不良临床预后相关。此前,我们证明了一种高传染性菌株 BC7 表达电缆菌毛和相关的 22 kDa 黏附素,这两者都有助于 BC7 与气道上皮细胞结合。然而,这些因素对诱导体内炎症和细菌持续存在的贡献尚不清楚。

方法/主要发现:野生型 BC7 刺激 CF 和正常支气管上皮细胞中的 IL-8 反应均高于 BC7 cbl 和 BC7 adhA 突变体。为了确定电缆菌毛和相关黏附素的作用,我们对伯克霍尔德氏菌的小鼠模型进行了特征描述,其中 BC7 悬浮在铜绿假单胞菌藻酸盐中。C57BL/6 小鼠经气管内感染悬浮在藻酸盐或 PBS 中的野生型 BC7,并监测肺部细菌负荷和炎症情况。用 PBS 悬浮的 BC7 感染的小鼠在 3 天内完全清除细菌并解决炎症。相比之下,用藻酸盐悬浮的 BC7 感染的小鼠在感染后 5 天内仍持续存在细菌并伴有中度肺部炎症。在这种模型中,与感染野生型 BC7 的小鼠相比,感染 BC7 cbl 和 BC7 adhA 突变体的小鼠的细菌负荷较低且炎症较轻。在转座子中互补 BC7 cblS 突变恢复了该菌株在体内持续存在的能力。细菌的免疫定位显示野生型 BC7 存在于气道腔和肺泡中,而 BC7 cbl 和 BC7 adhA 突变体主要存在于气道腔和支气管周围区域。

结论和意义

悬浮在藻酸盐中的铜绿假单胞菌可用于确定细菌在正常小鼠中持续存在和引起肺部炎症的能力。电缆菌毛和黏附素都有助于 BC7 刺激体外的 IL-8 反应,以及体内 BC7 的持续存在和由此产生的炎症。

https://cdn.ncbi.nlm.nih.gov/pmc/blobs/97b7/3141045/fed896e107f2/pone.0022435.g001.jpg

文献AI研究员

20分钟写一篇综述,助力文献阅读效率提升50倍。

立即体验

用中文搜PubMed

大模型驱动的PubMed中文搜索引擎

马上搜索

文档翻译

学术文献翻译模型,支持多种主流文档格式。

立即体验