Suppr超能文献

膝关节脂肪垫巨大髌下神经节囊肿:一例报告并文献复习

Large infrapatellar ganglionic cyst of the knee fat pad: a case report and review of the literature.

作者信息

Nikolopoulos Ioannis, Krinas George, Kipriadis Dimitris, Ilias Apostolos, Giannakopoulos Andreas, Kalos Stephanos

机构信息

General Hospital "Asclepeion Voulas", 1, Macedonias Street, Anixi, Attica, 14569, Greece.

出版信息

J Med Case Rep. 2011 Aug 4;5:351. doi: 10.1186/1752-1947-5-351.

Abstract

INTRODUCTION

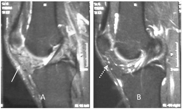
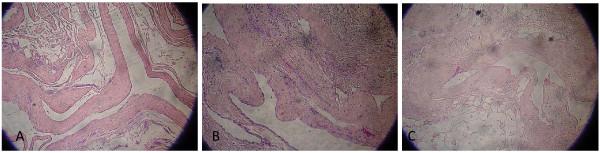
Large ganglionic cystic formations arising from the infrapatellar fat pad are quite uncommon and only a few are mentioned in the literature. An open excision in these cases is mandatory.

CASE PRESENTATION

We report the case of a large infrapatellar fat pad ganglion in a 37-year-old Greek man with chronic knee discomfort. The ganglionic cyst originated from the infrapatellar fat pad and had no intrasynovial extension. The final diagnosis was determined with magnetic resonance imaging of the knee, and the lesion was treated with surgery.

CONCLUSIONS

These lesions are asymptomatic in most cases but often are misdiagnosed as meniscal or ligamentous lesions of the knee joint. Nowadays, the therapeutic trend for such lesions is arthroscopic excision, but when there is a large ganglion, as in this case report, the treatment should be an open and thorough resection. This report is intended mostly but not exclusively for clinical physicians and radiologists.

摘要

引言

源自髌下脂肪垫的大型神经节囊肿相当罕见,文献中仅提及少数病例。对于这些病例,开放性切除是必要的。

病例报告

我们报告一例37岁希腊男性患有髌下脂肪垫大型神经节囊肿且伴有慢性膝关节不适的病例。神经节囊肿起源于髌下脂肪垫,无滑膜内延伸。通过膝关节磁共振成像确定最终诊断,并对病变进行手术治疗。

结论

这些病变在大多数情况下无症状,但常被误诊为膝关节半月板或韧带损伤。如今,此类病变的治疗趋势是关节镜下切除,但当出现大型神经节囊肿时,如本病例报告所示,治疗应采用开放性彻底切除。本报告主要但不限于供临床医生和放射科医生参考。

https://cdn.ncbi.nlm.nih.gov/pmc/blobs/be24/3170344/5f26f9cc5341/1752-1947-5-351-1.jpg

文献AI研究员

20分钟写一篇综述,助力文献阅读效率提升50倍。

立即体验

用中文搜PubMed

大模型驱动的PubMed中文搜索引擎

马上搜索

文档翻译

学术文献翻译模型,支持多种主流文档格式。

立即体验