• 文献检索
  • 文档翻译
  • 深度研究
  • 学术资讯
  • Suppr Zotero 插件Zotero 插件
  • 邀请有礼
  • 套餐&价格
  • 历史记录
应用&插件
Suppr Zotero 插件Zotero 插件浏览器插件Mac 客户端Windows 客户端微信小程序
定价
高级版会员购买积分包购买API积分包
服务
文献检索文档翻译深度研究API 文档MCP 服务
关于我们
关于 Suppr公司介绍联系我们用户协议隐私条款
关注我们

Suppr 超能文献

核心技术专利:CN118964589B侵权必究
粤ICP备2023148730 号-1Suppr @ 2026

文献检索

告别复杂PubMed语法,用中文像聊天一样搜索,搜遍4000万医学文献。AI智能推荐,让科研检索更轻松。

立即免费搜索

文件翻译

保留排版,准确专业,支持PDF/Word/PPT等文件格式,支持 12+语言互译。

免费翻译文档

深度研究

AI帮你快速写综述,25分钟生成高质量综述,智能提取关键信息,辅助科研写作。

立即免费体验

PAX2 调节 ADAM10 的表达并介导黑色素瘤细胞的非锚定依赖性细胞生长。

PAX2 regulates ADAM10 expression and mediates anchorage-independent cell growth of melanoma cells.

机构信息

Pharmazentrum Frankfurt/ZAFES, University Hospital Goethe University Frankfurt, Frankfurt am Main, Germany.

出版信息

PLoS One. 2011;6(8):e22312. doi: 10.1371/journal.pone.0022312. Epub 2011 Aug 18.

DOI:10.1371/journal.pone.0022312
PMID:21876729
原文链接:https://pmc.ncbi.nlm.nih.gov/articles/PMC3158060/
Abstract

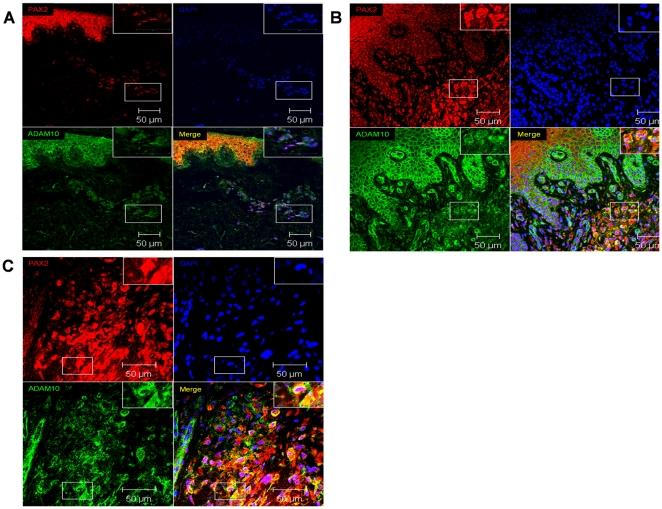
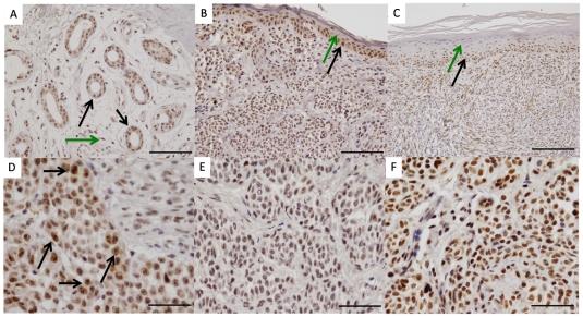
PAX transcription factors play an important role during development and carcinogenesis. In this study, we investigated PAX2 protein levels in melanocytes and melanoma cells by Western Blot and immunofluorescence analysis and characterized the role of PAX2 in the pathogenesis of melanoma. In vitro we found weak PAX2 protein expression in keratinocytes and melanocytes. Compared to melanocytes increased PAX2 protein levels were detectable in melanoma cell lines. Interestingly, in tissue sections of melanoma patients nuclear PAX2 expression strongly correlated with nuclear atypia and the degree of prominent nucleoli, indicating an association of PAX2 with a more atypical cellular phenotype. In addition, with chromatin immunoprecipitation assay, PAX2 overexpression and PAX2 siRNA we present compelling evidence that PAX2 can regulate ADAM10 expression, a metalloproteinase known to play important roles in melanoma metastasis. In human tissue samples we found co-expression of PAX2 and ADAM10 in melanocytes of benign nevi and in melanoma cells of patients with malignant melanoma. Importantly, the downregulation of PAX2 by specific siRNA inhibited the anchorage independent cell growth and decreased the migratory and invasive capacity of melanoma cells. Furthermore, the downregulation of PAX2 abrogated the chemoresistance of melanoma cells against cisplatin, indicating that PAX2 expression mediates cell survival and plays important roles during melanoma progression.

摘要

PAX 转录因子在发育和致癌过程中发挥着重要作用。在这项研究中,我们通过 Western Blot 和免疫荧光分析研究了 PAX2 蛋白在黑素细胞和黑色素瘤细胞中的水平,并探讨了 PAX2 在黑色素瘤发病机制中的作用。在体外,我们发现角质形成细胞和黑素细胞中 PAX2 蛋白表达较弱。与黑素细胞相比,在黑色素瘤细胞系中可检测到 PAX2 蛋白水平增加。有趣的是,在黑色素瘤患者的组织切片中,核 PAX2 表达与核异型性和突出核仁的程度强烈相关,表明 PAX2 与更典型的细胞表型相关。此外,通过染色质免疫沉淀测定、PAX2 过表达和 PAX2 siRNA,我们提供了令人信服的证据,表明 PAX2 可以调节 ADAM10 的表达,ADAM10 是一种已知在黑色素瘤转移中发挥重要作用的金属蛋白酶。在人类组织样本中,我们发现 PAX2 和 ADAM10 在良性痣的黑素细胞中和恶性黑色素瘤患者的黑色素瘤细胞中共同表达。重要的是,特异性 siRNA 下调 PAX2 抑制了黑色素瘤细胞的无锚定依赖性细胞生长,并降低了其迁移和侵袭能力。此外,PAX2 的下调消除了黑色素瘤细胞对顺铂的化疗耐药性,表明 PAX2 表达介导细胞存活,并在黑色素瘤进展过程中发挥重要作用。

https://cdn.ncbi.nlm.nih.gov/pmc/blobs/e97d/3158060/384a9016ac08/pone.0022312.g007.jpg
https://cdn.ncbi.nlm.nih.gov/pmc/blobs/e97d/3158060/b996405521a4/pone.0022312.g001.jpg
https://cdn.ncbi.nlm.nih.gov/pmc/blobs/e97d/3158060/80c8e7ec1e1c/pone.0022312.g002.jpg
https://cdn.ncbi.nlm.nih.gov/pmc/blobs/e97d/3158060/90c0765739b1/pone.0022312.g003.jpg
https://cdn.ncbi.nlm.nih.gov/pmc/blobs/e97d/3158060/5988ae44d06b/pone.0022312.g004.jpg
https://cdn.ncbi.nlm.nih.gov/pmc/blobs/e97d/3158060/d1657cf61635/pone.0022312.g005.jpg
https://cdn.ncbi.nlm.nih.gov/pmc/blobs/e97d/3158060/9c45a021f926/pone.0022312.g006.jpg
https://cdn.ncbi.nlm.nih.gov/pmc/blobs/e97d/3158060/384a9016ac08/pone.0022312.g007.jpg
https://cdn.ncbi.nlm.nih.gov/pmc/blobs/e97d/3158060/b996405521a4/pone.0022312.g001.jpg
https://cdn.ncbi.nlm.nih.gov/pmc/blobs/e97d/3158060/80c8e7ec1e1c/pone.0022312.g002.jpg
https://cdn.ncbi.nlm.nih.gov/pmc/blobs/e97d/3158060/90c0765739b1/pone.0022312.g003.jpg
https://cdn.ncbi.nlm.nih.gov/pmc/blobs/e97d/3158060/5988ae44d06b/pone.0022312.g004.jpg
https://cdn.ncbi.nlm.nih.gov/pmc/blobs/e97d/3158060/d1657cf61635/pone.0022312.g005.jpg
https://cdn.ncbi.nlm.nih.gov/pmc/blobs/e97d/3158060/9c45a021f926/pone.0022312.g006.jpg
https://cdn.ncbi.nlm.nih.gov/pmc/blobs/e97d/3158060/384a9016ac08/pone.0022312.g007.jpg

相似文献

1
PAX2 regulates ADAM10 expression and mediates anchorage-independent cell growth of melanoma cells.PAX2 调节 ADAM10 的表达并介导黑色素瘤细胞的非锚定依赖性细胞生长。
PLoS One. 2011;6(8):e22312. doi: 10.1371/journal.pone.0022312. Epub 2011 Aug 18.
2
ADAM10 is upregulated in melanoma metastasis compared with primary melanoma.ADAM10 在黑色素瘤转移中上调,与原发性黑色素瘤相比。
J Invest Dermatol. 2010 Mar;130(3):763-73. doi: 10.1038/jid.2009.335. Epub 2009 Oct 29.
3
The transcription factor PAX2 regulates ADAM10 expression in renal cell carcinoma.转录因子 PAX2 调节肾细胞癌中 ADAM10 的表达。
Carcinogenesis. 2011 Nov;32(11):1713-23. doi: 10.1093/carcin/bgr195. Epub 2011 Aug 30.
4
Noncanonical activation of Notch1 protein by membrane type 1 matrix metalloproteinase (MT1-MMP) controls melanoma cell proliferation.膜型基质金属蛋白酶 1(MT1-MMP)对 Notch1 蛋白的非经典激活控制黑素瘤细胞的增殖。
J Biol Chem. 2014 Mar 21;289(12):8442-9. doi: 10.1074/jbc.M113.516039. Epub 2014 Feb 3.
5
ADAM10 correlates with uveal melanoma metastasis and promotes in vitro invasion.ADAM10 与葡萄膜黑色素瘤转移相关,并促进体外侵袭。
Pigment Cell Melanoma Res. 2014 Nov;27(6):1138-48. doi: 10.1111/pcmr.12306. Epub 2014 Sep 11.
6
α5-nAChR/ADAM10 signaling mediates nicotine-related cutaneous melanoma progression via STAT3 activation.α5-nAChR/ADAM10 信号通过 STAT3 激活介导尼古丁相关皮肤黑色素瘤进展。
Arch Dermatol Res. 2024 May 25;316(6):269. doi: 10.1007/s00403-024-03110-0.
7
ADAM10 is overexpressed in human hepatocellular carcinoma and contributes to the proliferation, invasion and migration of HepG2 cells.ADAM10 在人肝癌中过表达,并促进 HepG2 细胞的增殖、侵袭和迁移。
Oncol Rep. 2013 Oct;30(4):1715-22. doi: 10.3892/or.2013.2650. Epub 2013 Aug 2.
8
An evolutionary recent neuroepithelial cell adhesion function of huntingtin implicates ADAM10-Ncadherin.亨廷顿蛋白的一个进化上新的神经上皮细胞黏附功能涉及 ADAM10-N 钙黏蛋白。
Nat Neurosci. 2012 May;15(5):713-21. doi: 10.1038/nn.3080.
9
PAX2 may induce ADAM10 expression in renal tubular epithelial cells and contribute to epithelial-to-mesenchymal transition.PAX2可能在肾小管上皮细胞中诱导ADAM10表达,并促进上皮-间质转化。
Int Urol Nephrol. 2018 Sep;50(9):1729-1741. doi: 10.1007/s11255-018-1956-0. Epub 2018 Aug 16.
10
Notch1 Autoactivation via Transcriptional Regulation of Furin, Which Sustains Notch1 Signaling by Processing Notch1-Activating Proteases ADAM10 and Membrane Type 1 Matrix Metalloproteinase.通过弗林蛋白酶的转录调控实现Notch1自激活,弗林蛋白酶通过加工Notch1激活蛋白酶ADAM10和膜型1基质金属蛋白酶来维持Notch1信号传导。
Mol Cell Biol. 2015 Nov;35(21):3622-32. doi: 10.1128/MCB.00116-15. Epub 2015 Aug 17.

引用本文的文献

1
PAX2 mediated upregulation of ESPL1 contributes to cisplatin resistance in bladder cancer through activating the JAK2/STAT3 pathway.PAX2 介导的 ESPL1 上调通过激活 JAK2/STAT3 通路促进膀胱癌顺铂耐药。
Naunyn Schmiedebergs Arch Pharmacol. 2024 Sep;397(9):6889-6901. doi: 10.1007/s00210-024-03061-3. Epub 2024 Apr 4.
2
Kit Ligand and Kit receptor tyrosine kinase sustain synaptic inhibition of Purkinje cells.Kit 配体和 Kit 受体酪氨酸激酶维持浦肯野细胞的突触抑制。
Elife. 2024 Mar 27;12:RP89792. doi: 10.7554/eLife.89792.
3
Genome-wide analyses of platinum-induced ototoxicity in childhood cancer patients: Results of GO-CAT and United Kingdom MAGIC consortia.

本文引用的文献

1
Targeting p53 for Novel Anticancer Therapy.靶向 p53 用于新型抗癌疗法。
Transl Oncol. 2010 Feb;3(1):1-12. doi: 10.1593/tlo.09250.
2
ADAM10 is upregulated in melanoma metastasis compared with primary melanoma.ADAM10 在黑色素瘤转移中上调,与原发性黑色素瘤相比。
J Invest Dermatol. 2010 Mar;130(3):763-73. doi: 10.1038/jid.2009.335. Epub 2009 Oct 29.
3
Main roads to melanoma.通往黑色素瘤的主要途径。
儿童癌症患者铂类药物所致耳毒性的全基因组分析:GO-CAT和英国MAGIC联盟的结果
Front Pharmacol. 2023 Jan 9;13:980309. doi: 10.3389/fphar.2022.980309. eCollection 2022.
4
ADAM10 mediates shedding of carbonic anhydrase IX ectodomain non‑redundantly to ADAM17.ADAM10 介导碳酸酐酶 IX 胞外结构域非冗余裂解至 ADAM17。
Oncol Rep. 2023 Feb;49(2). doi: 10.3892/or.2022.8464. Epub 2022 Dec 16.
5
PAX2 induces vascular-like structures in normal ovarian cells and ovarian cancer.PAX2在正常卵巢细胞和卵巢癌中诱导形成血管样结构。
Exp Ther Med. 2022 Jun;23(6):412. doi: 10.3892/etm.2022.11339. Epub 2022 Apr 27.
6
MicroRNA-204-3p modulates epithelial-mesenchymal transition by targeting paired box gene 2 in human melanoma A-375 cells.微小RNA-204-3p通过靶向人类黑色素瘤A-375细胞中的配对盒基因2来调节上皮-间质转化。
Transl Cancer Res. 2019 Sep;8(5):2032-2043. doi: 10.21037/tcr.2019.09.10.
7
ADAM17-dependent signaling is required for oncogenic human papillomavirus entry platform assembly.ADAM17 依赖性信号传导对于致癌性人乳头瘤病毒进入平台的组装是必需的。
Elife. 2019 May 20;8:e44345. doi: 10.7554/eLife.44345.
8
PAX2 may induce ADAM10 expression in renal tubular epithelial cells and contribute to epithelial-to-mesenchymal transition.PAX2可能在肾小管上皮细胞中诱导ADAM10表达,并促进上皮-间质转化。
Int Urol Nephrol. 2018 Sep;50(9):1729-1741. doi: 10.1007/s11255-018-1956-0. Epub 2018 Aug 16.
9
Alpha-Secretase ADAM10 Regulation: Insights into Alzheimer's Disease Treatment.α-分泌酶ADAM10调控:对阿尔茨海默病治疗的见解
Pharmaceuticals (Basel). 2018 Jan 29;11(1):12. doi: 10.3390/ph11010012.
10
Clinical and Genetic Review of Hereditary Acral Reticulate Pigmentary Disorders.遗传性肢端网状色素沉着症的临床与遗传学综述
Dermatol Res Pract. 2017;2017:3518568. doi: 10.1155/2017/3518568. Epub 2017 Oct 23.
J Transl Med. 2009 Oct 14;7:86. doi: 10.1186/1479-5876-7-86.
4
ADAM10 as a therapeutic target for cancer and inflammation.ADAM10作为癌症和炎症的治疗靶点。
Curr Pharm Des. 2009;15(20):2288-99. doi: 10.2174/138161209788682442.
5
Mechanism of drug sensitivity and resistance in melanoma.黑色素瘤中药物敏感性和耐药性的机制。
Curr Cancer Drug Targets. 2009 May;9(3):391-7. doi: 10.2174/156800909788166574.
6
PAX3 across the spectrum: from melanoblast to melanoma.PAX3 贯穿整个谱系:从黑素母细胞到黑色素瘤。
Crit Rev Biochem Mol Biol. 2009 Jun;44(2-3):85-97. doi: 10.1080/10409230902755056.
7
Loss of VHL and hypoxia provokes PAX2 up-regulation in clear cell renal cell carcinoma.VHL缺失和缺氧可引发透明细胞肾细胞癌中PAX2的上调。
Clin Cancer Res. 2009 May 15;15(10):3297-304. doi: 10.1158/1078-0432.CCR-08-2779. Epub 2009 Apr 28.
8
Pigmentation PAX-ways: the role of Pax3 in melanogenesis, melanocyte stem cell maintenance, and disease.色素沉着的PAX途径:Pax3在黑色素生成、黑素细胞干细胞维持及疾病中的作用
Pigment Cell Melanoma Res. 2008 Dec;21(6):627-45. doi: 10.1111/j.1755-148X.2008.00514.x.
9
L1-CAM in cancerous tissues.癌组织中的L1细胞粘附分子
Expert Opin Biol Ther. 2008 Nov;8(11):1749-57. doi: 10.1517/14712598.8.11.1749.
10
ADAMs in cancer cell proliferation and progression.ADAMs在癌细胞增殖和进展中的作用。
Cancer Sci. 2007 May;98(5):621-8. doi: 10.1111/j.1349-7006.2007.00434.x. Epub 2007 Mar 9.