Suppr超能文献

新型锁定髓内钉治疗前臂骨折的髓内固定术

Intramedullary fixation of forearm fractures with new locked nail.

作者信息

Bansal Himanshu

机构信息

Consultant Orthopaedic Surgeon, Anupam Hospital, Rudrapur, Uttarakhand, India.

出版信息

Indian J Orthop. 2011 Sep;45(5):410-6. doi: 10.4103/0019-5413.83760.

Abstract

BACKGROUND

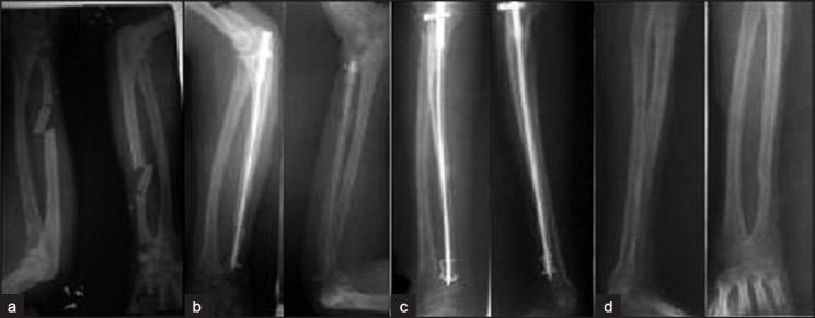
Lack of availability of interlocked nails made plate osteosynthesis the first choice of treatment of forearm fractures inspite of more surgical exposure, periosteal stripping and big skin incision subsequent scar along with higher risk of refracture on implant removal. We hereby report the first 12 cases with 19 forearm bone fractures internally fixed by indegenous interlocked nail.

MATERIALS AND METHODS

Existing square nails were modified to have a broad proximal end of 5.5 mm with a hole for locking screw of 2.5 mm. The nail has a distal hole of 1/1.2/1.5 mm in 2.5/3/3.5 mm diameter nail, respectively. A new method of distal locking with a clip made of k wire is designed. The clip after insertion into the bone and hole in nail and opposite cortex snuggly fits the bone providing a secure locking system. Twelve skeletally mature patients, mean age 32 years (range 24-45 years) with 19 diaphyseal fractures of the forearm were treated with this indigenously made new nail. The patient were evaluated for fracture union, functional recovery and complications. The functional outcome was assessed by disabilities of arm, shoulder and hand questionnaire (DASH score).

RESULTS

Time to radiographic union ranged between 12 and 28 weeks, with a 100% union rate. Complications were minimal, with mild infection in open fracture (n=1) and delayed union (n=1) in patient with comminuted fracture of the ulna only. The clinical results were excellent. The DASH score ranged between 0 and 36 points.

CONCLUSION

This new interlocking nail may be considered as an alternative to plate osteosynthesis for fractures of the forearm in adults. The advantages are benefit of closed reduction, smaller residual scar, reduced cost and early union with allowance of immediate movements.

摘要

背景

尽管带锁髓内钉难以获取,但钢板内固定术仍是治疗前臂骨折的首选方法,因为它需要更多的手术显露、骨膜剥离和较大的皮肤切口,术后会留下明显瘢痕,且取出内固定物后再骨折风险更高。在此,我们报告首例采用国产带锁髓内钉治疗19例前臂骨折的12例病例。

材料与方法

将现有的方钉进行改良,使其近端宽度为5.5 mm,并带有一个2.5 mm的锁定螺钉孔。该髓内钉在直径为2.5/3/3.5 mm的髓内钉上分别有一个直径为1/1.2/1.5 mm的远端孔。设计了一种用克氏针制成的夹子进行远端锁定的新方法。将夹子插入骨内、髓内钉的孔以及对侧皮质后,能紧密贴合骨骼,提供一个可靠的锁定系统。12例骨骼成熟患者,平均年龄32岁(范围24 - 45岁),患有19例前臂骨干骨折,采用这种国产新型髓内钉进行治疗。对患者的骨折愈合、功能恢复及并发症情况进行评估。功能结局采用手臂、肩部和手部功能障碍问卷(DASH评分)进行评估。

结果

影像学显示骨折愈合时间为12至28周,愈合率达100%。并发症极少,仅1例开放性骨折出现轻度感染,1例单纯尺骨粉碎性骨折患者出现延迟愈合。临床结果极佳。DASH评分在0至36分之间。

结论

对于成人前臂骨折,这种新型带锁髓内钉可被视为钢板内固定术的替代方法。其优点包括闭合复位的益处、较小的残余瘢痕、降低成本以及早期愈合并允许即刻活动。

https://cdn.ncbi.nlm.nih.gov/pmc/blobs/8549/3162676/7d6d259f073f/IJOrtho-45-410-g001.jpg

文献检索

告别复杂PubMed语法,用中文像聊天一样搜索,搜遍4000万医学文献。AI智能推荐,让科研检索更轻松。

立即免费搜索

文件翻译

保留排版,准确专业,支持PDF/Word/PPT等文件格式,支持 12+语言互译。

免费翻译文档

深度研究

AI帮你快速写综述,25分钟生成高质量综述,智能提取关键信息,辅助科研写作。

立即免费体验