• 文献检索
  • 文档翻译
  • 深度研究
  • 学术资讯
  • Suppr Zotero 插件Zotero 插件
  • 邀请有礼
  • 套餐&价格
  • 历史记录
应用&插件
Suppr Zotero 插件Zotero 插件浏览器插件Mac 客户端Windows 客户端微信小程序
定价
高级版会员购买积分包购买API积分包
服务
文献检索文档翻译深度研究API 文档MCP 服务
关于我们
关于 Suppr公司介绍联系我们用户协议隐私条款
关注我们

Suppr 超能文献

核心技术专利:CN118964589B侵权必究
粤ICP备2023148730 号-1Suppr @ 2026

文献检索

告别复杂PubMed语法,用中文像聊天一样搜索,搜遍4000万医学文献。AI智能推荐,让科研检索更轻松。

立即免费搜索

文件翻译

保留排版,准确专业,支持PDF/Word/PPT等文件格式,支持 12+语言互译。

免费翻译文档

深度研究

AI帮你快速写综述,25分钟生成高质量综述,智能提取关键信息,辅助科研写作。

立即免费体验

播散性囊尾蚴病累及脾脏和胰腺的影像学表现异常。

Imaging findings of disseminated cysticercosis with unusual involvement of spleen and pancreas.

作者信息

Jakhere Sandeep G, Chemburkar Vipul C, Yeragi Bhakti S, Bharambay Himanshu V

机构信息

Department of Radiology, B.Y.L. Nair Charitable Hospital, Mumbai Central, Mumbai, India.

出版信息

J Glob Infect Dis. 2011 Jul;3(3):306-8. doi: 10.4103/0974-777X.83547.

DOI:10.4103/0974-777X.83547
PMID:21887068
原文链接:https://pmc.ncbi.nlm.nih.gov/articles/PMC3162823/
Abstract

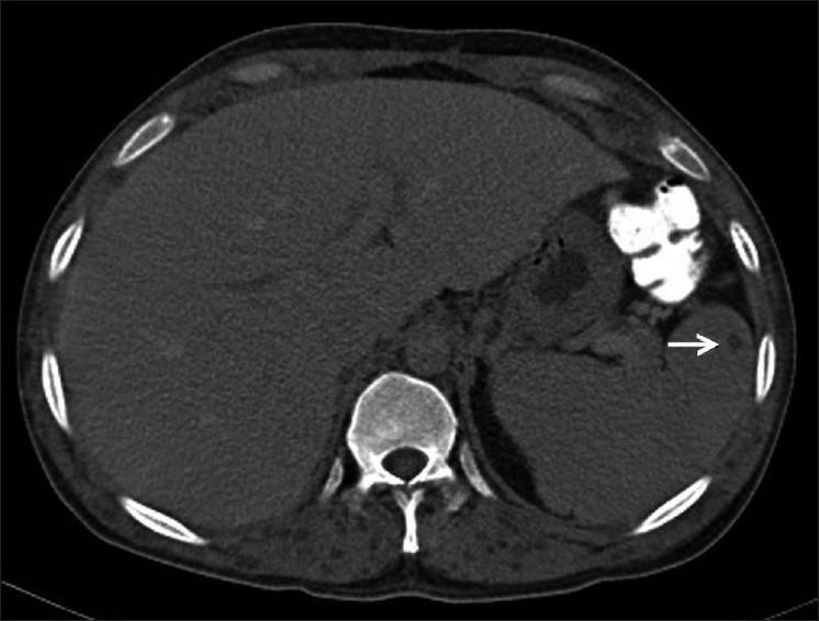
In this study, we present a case of disseminated cysticercosis involving the brain, orbit, myocardium, muscle, subcutaneous tissues, pancreas, and spleen. Imaging studies are described with emphasis on pancreatic and splenic involvement which is a rare manifestation of a rather common disease and has been radiologically demonstrated only once previously. Although the involvement of the pancreas by parasites leading to pancreatitis has been described previously, in our case there was no clinical or biochemical evidence of pancreatitis due to infection by cysticerci.

摘要

在本研究中,我们报告了一例播散性囊尾蚴病病例,累及脑、眼眶、心肌、肌肉、皮下组织、胰腺和脾脏。描述了影像学检查,重点是胰腺和脾脏受累情况,这是一种常见疾病的罕见表现,此前仅在放射学上有过一次报道。虽然之前曾描述过寄生虫累及胰腺导致胰腺炎的情况,但在我们的病例中,没有临床或生化证据表明是由囊尾蚴感染引起的胰腺炎。

https://cdn.ncbi.nlm.nih.gov/pmc/blobs/43df/3162823/b49e3c8333c9/JGID-3-306-g007.jpg
https://cdn.ncbi.nlm.nih.gov/pmc/blobs/43df/3162823/01d1edba7582/JGID-3-306-g001.jpg
https://cdn.ncbi.nlm.nih.gov/pmc/blobs/43df/3162823/b0d292b57dd8/JGID-3-306-g002.jpg
https://cdn.ncbi.nlm.nih.gov/pmc/blobs/43df/3162823/94c8f2eb6169/JGID-3-306-g003.jpg
https://cdn.ncbi.nlm.nih.gov/pmc/blobs/43df/3162823/2f32ff35bfed/JGID-3-306-g004.jpg
https://cdn.ncbi.nlm.nih.gov/pmc/blobs/43df/3162823/f2c3d1d8e5e9/JGID-3-306-g005.jpg
https://cdn.ncbi.nlm.nih.gov/pmc/blobs/43df/3162823/25ddae54cebe/JGID-3-306-g006.jpg
https://cdn.ncbi.nlm.nih.gov/pmc/blobs/43df/3162823/b49e3c8333c9/JGID-3-306-g007.jpg
https://cdn.ncbi.nlm.nih.gov/pmc/blobs/43df/3162823/01d1edba7582/JGID-3-306-g001.jpg
https://cdn.ncbi.nlm.nih.gov/pmc/blobs/43df/3162823/b0d292b57dd8/JGID-3-306-g002.jpg
https://cdn.ncbi.nlm.nih.gov/pmc/blobs/43df/3162823/94c8f2eb6169/JGID-3-306-g003.jpg
https://cdn.ncbi.nlm.nih.gov/pmc/blobs/43df/3162823/2f32ff35bfed/JGID-3-306-g004.jpg
https://cdn.ncbi.nlm.nih.gov/pmc/blobs/43df/3162823/f2c3d1d8e5e9/JGID-3-306-g005.jpg
https://cdn.ncbi.nlm.nih.gov/pmc/blobs/43df/3162823/25ddae54cebe/JGID-3-306-g006.jpg
https://cdn.ncbi.nlm.nih.gov/pmc/blobs/43df/3162823/b49e3c8333c9/JGID-3-306-g007.jpg

相似文献

1
Imaging findings of disseminated cysticercosis with unusual involvement of spleen and pancreas.播散性囊尾蚴病累及脾脏和胰腺的影像学表现异常。
J Glob Infect Dis. 2011 Jul;3(3):306-8. doi: 10.4103/0974-777X.83547.
2
Disseminated cysticercosis: rare manifestation of a common disease.
BMJ Case Rep. 2012 Dec 18;2012:bcr2012007876. doi: 10.1136/bcr-2012-007876.
3
Asymptomatic disseminated cysticercosis.无症状播散性囊尾蚴病
J Clin Diagn Res. 2013 Aug;7(8):1761-3. doi: 10.7860/JCDR/2013/5465.3269. Epub 2013 Aug 1.
4
Disseminated cysticercosis.播散性囊尾蚴病
J Korean Neurosurg Soc. 2011 Mar;49(3):190-3. doi: 10.3340/jkns.2011.49.3.190. Epub 2011 Mar 31.
5
An uncommon manifestation of a common tropical disease: disseminated cysticercosis.
Neuroradiol J. 2012 May;25(2):200-5. doi: 10.1177/197140091202500208. Epub 2012 Apr 24.
6
[Musculocutaneous and visceral cysticercosis: a rare disease?].[肌肉皮肤型和内脏型囊尾蚴病:一种罕见疾病?]
Rev Inst Med Trop Sao Paulo. 1991 Mar-Apr;33(2):129-36.
7
Disseminated cysticercosis involving orbit, brain and subcutaneous tissue.播散性囊尾蚴病累及眼眶、脑和皮下组织。
J Infect. 2005 Dec;51(5):e245-8. doi: 10.1016/j.jinf.2005.04.011.
8
Disseminated cysticercosis: a case report and review of the literature.播散性囊尾蚴病:一例病例报告及文献综述
J Med Case Rep. 2008 Apr 30;2:137. doi: 10.1186/1752-1947-2-137.
9
Thinking Outside Malaria: A Rare Case of Disseminated Cysticercosis With Cardiopulmonary Involvement From Urban Tanzania.跳出疟疾思维:坦桑尼亚城市地区一例罕见的播散性囊尾蚴病合并心肺受累病例
Cureus. 2021 Jan 22;13(1):e12851. doi: 10.7759/cureus.12851.
10
Disseminated muscular cysticercosis with myositis induced by praziquantel therapy.
Am J Trop Med Hyg. 1998 Dec;59(6):1002-3. doi: 10.4269/ajtmh.1998.59.1002.

引用本文的文献

1
Thinking outside tuberculosis: A case of widespread active disseminated cysticercosis.跳出结核病思维:一例广泛播散性活动性囊尾蚴病病例
SA J Radiol. 2024 Nov 29;28(1):3016. doi: 10.4102/sajr.v28i1.3016. eCollection 2024.
2
Human cysticercosis (Taenia solium).人类囊尾蚴病(猪带绦虫病)。
Trop Parasitol. 2013 Jul;3(2):100-3. doi: 10.4103/2229-5070.122103.
3
Disseminated neurocysticercosis presenting as affective mood disorder with chronic tension type headache.播散性神经囊尾蚴病表现为情感性心境障碍伴慢性紧张型头痛。

本文引用的文献

1
Disseminated cysticercosis: a case report and review of the literature.播散性囊尾蚴病:一例病例报告及文献综述
J Med Case Rep. 2008 Apr 30;2:137. doi: 10.1186/1752-1947-2-137.
2
Pulmonary cysticercosis. A case report.肺囊尾蚴病。病例报告。
S Afr Med J. 1987 Oct 17;72(8):573-4.
J Neurosci Rural Pract. 2013 Oct;4(4):461-3. doi: 10.4103/0976-3147.120212.
4
Asymptomatic disseminated cysticercosis.无症状播散性囊尾蚴病
J Clin Diagn Res. 2013 Aug;7(8):1761-3. doi: 10.7860/JCDR/2013/5465.3269. Epub 2013 Aug 1.
5
Disseminated cysticercosis: rare manifestation of a common disease.
BMJ Case Rep. 2012 Dec 18;2012:bcr2012007876. doi: 10.1136/bcr-2012-007876.