Suppr超能文献

心脏压塞和阵发性三度房室传导阻滞揭示右心室原发性心脏非霍奇金大B细胞淋巴瘤:一例报告

Cardiac tamponade and paroxysmal third-degree atrioventricular block revealing a primary cardiac non-Hodgkin large B-cell lymphoma of the right ventricle: a case report.

作者信息

Frikha Zied, Abid Leila, Abid Dorra, Mallek Souad, Frikha Imed, Abdennadher Mohamed, Rekik Noomen, Kammoun Samir

机构信息

Cardiology Department, Hédi Chaker Hospital and Sfax Medical University, 3029 Sfax, Tunisia.

出版信息

J Med Case Rep. 2011 Sep 5;5:433. doi: 10.1186/1752-1947-5-433.

Abstract

INTRODUCTION

Primary cardiac lymphoma is rare.

CASE PRESENTATION

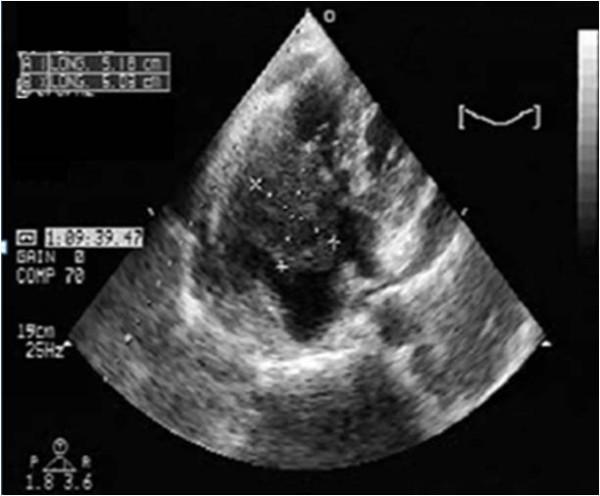
We report the case of a 64-year-old non-immunodeficient Caucasian man, with cardiac tamponade and paroxysmal third-degree atrioventricular block. Echocardiography revealed the presence of a large pericardial effusion with signs of tamponade and a right ventricular mass was suspected. Scanner investigations clarified the sites, extension and anatomic details of myocardial and pericardial infiltration. Surgical resection was performed due to the rapid impairment of his cardiac function. Analysis of the pericardial fluid and histology confirmed the diagnosis of non-Hodgkin large B-cell lymphoma. He was treated with chemotherapy.

CONCLUSION

The prognosis remains poor for this type of tumor due to delays in diagnosis and the importance of the site of disease.

摘要

引言

原发性心脏淋巴瘤较为罕见。

病例报告

我们报告一例64岁非免疫缺陷的白种男性病例,该患者患有心脏压塞和阵发性三度房室传导阻滞。超声心动图显示存在大量心包积液并有压塞征象,怀疑有右心室肿块。扫描检查明确了心肌和心包浸润的部位、范围及解剖细节。由于其心功能迅速恶化,遂进行了手术切除。心包液分析和组织学检查确诊为非霍奇金大B细胞淋巴瘤。他接受了化疗。

结论

由于诊断延误以及疾病部位的重要性,这类肿瘤的预后仍然很差。

https://cdn.ncbi.nlm.nih.gov/pmc/blobs/78b7/3180417/ce1aa06dfdf1/1752-1947-5-433-1.jpg

文献检索

告别复杂PubMed语法,用中文像聊天一样搜索,搜遍4000万医学文献。AI智能推荐,让科研检索更轻松。

立即免费搜索

文件翻译

保留排版,准确专业,支持PDF/Word/PPT等文件格式,支持 12+语言互译。

免费翻译文档

深度研究

AI帮你快速写综述,25分钟生成高质量综述,智能提取关键信息,辅助科研写作。

立即免费体验