Suppr超能文献

肝总管绒毛状腺瘤:超声在其治疗中的作用

Villous adenoma of the common hepatic duct: the role of ultrasound in management.

作者信息

Jennings P E, Rode J, Coral A, Dowsett J, Lees W R

机构信息

Department of Diagnostic Radiology, Middlesex Hospital, London.

出版信息

Gut. 1990 May;31(5):558-60. doi: 10.1136/gut.31.5.558.

Abstract

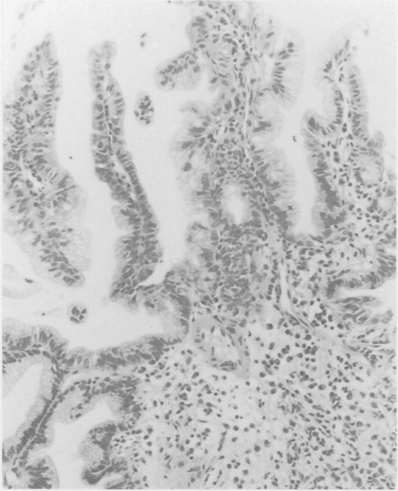
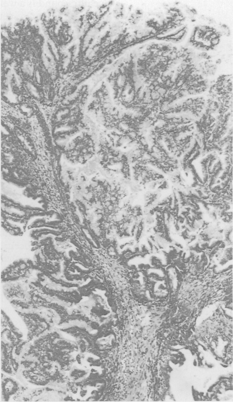
A case of villous adenoma of the common hepatic duct causing obstructive jaundice, where the diagnosis was made by ultrasound guided percutaneous biopsy is reported. At surgery ultrasonography was used to define the extent and operability of the tumour.

摘要

报告了一例肝总管绒毛状腺瘤导致梗阻性黄疸的病例,该病例通过超声引导下经皮活检作出诊断。手术时,超声检查用于确定肿瘤的范围和可切除性。

https://cdn.ncbi.nlm.nih.gov/pmc/blobs/7b3b/1378575/57904c7b7271/gut00599-0086-a.jpg

文献检索

告别复杂PubMed语法,用中文像聊天一样搜索,搜遍4000万医学文献。AI智能推荐,让科研检索更轻松。

立即免费搜索

文件翻译

保留排版,准确专业,支持PDF/Word/PPT等文件格式,支持 12+语言互译。

免费翻译文档

深度研究

AI帮你快速写综述,25分钟生成高质量综述,智能提取关键信息,辅助科研写作。

立即免费体验