• 文献检索
  • 文档翻译
  • 深度研究
  • 学术资讯
  • Suppr Zotero 插件Zotero 插件
  • 邀请有礼
  • 套餐&价格
  • 历史记录
应用&插件
Suppr Zotero 插件Zotero 插件浏览器插件Mac 客户端Windows 客户端微信小程序
定价
高级版会员购买积分包购买API积分包
服务
文献检索文档翻译深度研究API 文档MCP 服务
关于我们
关于 Suppr公司介绍联系我们用户协议隐私条款
关注我们

Suppr 超能文献

核心技术专利:CN118964589B侵权必究
粤ICP备2023148730 号-1Suppr @ 2026

文献检索

告别复杂PubMed语法,用中文像聊天一样搜索,搜遍4000万医学文献。AI智能推荐,让科研检索更轻松。

立即免费搜索

文件翻译

保留排版,准确专业,支持PDF/Word/PPT等文件格式,支持 12+语言互译。

免费翻译文档

深度研究

AI帮你快速写综述,25分钟生成高质量综述,智能提取关键信息,辅助科研写作。

立即免费体验

裴氏瓶霉引起的着色芽生菌病

Chromoblastomycosis Caused by Fonsecaea pedrosoi.

作者信息

Kim Dong Min, Hwang Sung Min, Suh Moo Kyu, Ha Gyoung Yim, Choi Gwang Seong, Shin Jeonghyun, Han Sung Hyub

机构信息

Department of Dermatology, College of Medicine, Dongguk University, Gyeongju, Korea.

出版信息

Ann Dermatol. 2011 Aug;23(3):369-74. doi: 10.5021/ad.2011.23.3.369. Epub 2011 Aug 6.

DOI:10.5021/ad.2011.23.3.369
PMID:21909211
原文链接:https://pmc.ncbi.nlm.nih.gov/articles/PMC3162270/
Abstract

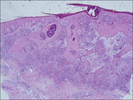
We report herein a case of chromoblastomycosis caused by Fonsecaea (F.) pedrosoi in a 39-year-old male, who showed multiple, asymptomatic, scaly erythematous plaques on the left shin for 12 months. Histopathologically, chronic granulomatous inflammation and either sclerotic or muriform cells were observed. The fungal culture produced typical black colonies of F. pedrosoi. The DNA sequence of the internal transcribed spacer (ITS) region of the clinical sample was 100% match to that of F. pedrosoi IFM 47061 (GenBank accession number AB240943). The patient was treated with 200 mg of itraconazole daily, for 3 months. Skin lesions were improved. In Korea, only 9 cases of chromoblastomycosis, including this case, have been reported until now. The etiologic agent was F. pedrosoi in the majority of cases (6/9;67%). The incidence of chromoblastomycosis was slightly higher in female, and the upper limbs were more affected than the lower limbs in patients.

摘要

我们在此报告一例由裴氏瓶霉引起的着色芽生菌病,患者为一名39岁男性,其左小腿出现多个无症状的鳞屑性红斑斑块,持续12个月。组织病理学检查可见慢性肉芽肿性炎症以及硬化细胞或砖壁样细胞。真菌培养产生了裴氏瓶霉典型的黑色菌落。临床样本的内转录间隔区(ITS)区域的DNA序列与裴氏瓶霉IFM 47061(GenBank登录号AB240943)的序列100%匹配。患者接受每日200毫克伊曲康唑治疗,为期3个月。皮肤病变有所改善。在韩国,截至目前,包括该病例在内仅报告了9例着色芽生菌病。在大多数病例(6/9;67%)中,病原体为裴氏瓶霉。着色芽生菌病在女性中的发病率略高,且患者上肢受累比下肢更多。

https://cdn.ncbi.nlm.nih.gov/pmc/blobs/bb72/3162270/aba4b9851489/ad-23-369-g008.jpg
https://cdn.ncbi.nlm.nih.gov/pmc/blobs/bb72/3162270/7aa0a6216d83/ad-23-369-g001.jpg
https://cdn.ncbi.nlm.nih.gov/pmc/blobs/bb72/3162270/1ef9ec3aa4da/ad-23-369-g002.jpg
https://cdn.ncbi.nlm.nih.gov/pmc/blobs/bb72/3162270/576966f7d66f/ad-23-369-g003.jpg
https://cdn.ncbi.nlm.nih.gov/pmc/blobs/bb72/3162270/56b0dcc152b5/ad-23-369-g004.jpg
https://cdn.ncbi.nlm.nih.gov/pmc/blobs/bb72/3162270/922406adc52d/ad-23-369-g005.jpg
https://cdn.ncbi.nlm.nih.gov/pmc/blobs/bb72/3162270/d783f556eed9/ad-23-369-g006.jpg
https://cdn.ncbi.nlm.nih.gov/pmc/blobs/bb72/3162270/7d15a68719db/ad-23-369-g007.jpg
https://cdn.ncbi.nlm.nih.gov/pmc/blobs/bb72/3162270/aba4b9851489/ad-23-369-g008.jpg
https://cdn.ncbi.nlm.nih.gov/pmc/blobs/bb72/3162270/7aa0a6216d83/ad-23-369-g001.jpg
https://cdn.ncbi.nlm.nih.gov/pmc/blobs/bb72/3162270/1ef9ec3aa4da/ad-23-369-g002.jpg
https://cdn.ncbi.nlm.nih.gov/pmc/blobs/bb72/3162270/576966f7d66f/ad-23-369-g003.jpg
https://cdn.ncbi.nlm.nih.gov/pmc/blobs/bb72/3162270/56b0dcc152b5/ad-23-369-g004.jpg
https://cdn.ncbi.nlm.nih.gov/pmc/blobs/bb72/3162270/922406adc52d/ad-23-369-g005.jpg
https://cdn.ncbi.nlm.nih.gov/pmc/blobs/bb72/3162270/d783f556eed9/ad-23-369-g006.jpg
https://cdn.ncbi.nlm.nih.gov/pmc/blobs/bb72/3162270/7d15a68719db/ad-23-369-g007.jpg
https://cdn.ncbi.nlm.nih.gov/pmc/blobs/bb72/3162270/aba4b9851489/ad-23-369-g008.jpg

相似文献

1
Chromoblastomycosis Caused by Fonsecaea pedrosoi.裴氏瓶霉引起的着色芽生菌病
Ann Dermatol. 2011 Aug;23(3):369-74. doi: 10.5021/ad.2011.23.3.369. Epub 2011 Aug 6.
2
An impressive case of chromoblastomycosis due to Fonsecaea pedrosoi in a patient with a long history of fungal infection.一例因感染了佩德罗索外瓶霉而导致的着色芽生菌病,该患者真菌感染病史较长。
J Mycol Med. 2018 Dec;28(4):663-665. doi: 10.1016/j.mycmed.2018.07.008. Epub 2018 Aug 17.
3
Chromoblastomycosis Caused by Phialophora richardsiae.由里氏瓶霉引起的着色芽生菌病。
Ann Dermatol. 2010 Aug;22(3):362-6. doi: 10.5021/ad.2010.22.3.362. Epub 2010 Aug 5.
4
Chromoblastomycosis in the Amazon region, Brazil, caused by Fonsecaea pedrosoi, Fonsecaea nubica, and Rhinocladiella similis: Clinicopathology, susceptibility, and molecular identification.巴西亚马逊地区由裴氏瓶霉、暗瓶霉和相似枝孢霉引起的着色芽生菌病:临床病理学、易感性及分子鉴定
Med Mycol. 2020 Feb 1;58(2):172-180. doi: 10.1093/mmy/myz034.
5
Molecular identification of chromoblastomycosis clinical isolates in Guangdong.广东着色芽生菌病临床分离株的分子鉴定
Med Mycol. 2017 Nov 1;55(8):851-858. doi: 10.1093/mmy/myw140.
6
Case Report: A Case of Chromoblastomycosis Caused by Fonsecaea pedrosoi in Vietnam.病例报告:越南由佩德罗氏副球孢子菌引起的暗色丝孢霉病病例。
Mycopathologia. 2019 Feb;184(1):115-119. doi: 10.1007/s11046-018-0284-3. Epub 2018 Jul 4.
7
A case of chromomycosis caused by Fonsecaea pedrosoi and a review of reported cases of dematiaceous fungal infection in Japan.一株由裴氏瓶霉引起的着色芽生菌病病例及日本报道的暗色真菌感染病例回顾
Mycoses. 2005 May;48(3):221-5. doi: 10.1111/j.1439-0507.2005.01089.x.
8
Transformation of Fonsecaea pedrosoi into sclerotic cells links to the refractoriness of experimental chromoblastomycosis in BALB/c mice via a mechanism involving a chitin-induced impairment of IFN-γ production.Fonsecaea pedrosoi 转化为硬化细胞与 BALB/c 小鼠实验性暗色丝孢霉病的难治性有关,其机制涉及几丁质诱导的 IFN-γ产生受损。
PLoS Negl Trop Dis. 2018 Feb 26;12(2):e0006237. doi: 10.1371/journal.pntd.0006237. eCollection 2018 Feb.
9
Phenotypic and molecular identification of Fonsecaea pedrosoi strains isolated from chromoblastomycosis patients in Mexico and Venezuela.从墨西哥和委内瑞拉的着色芽生菌病患者中分离出的佩德罗分支孢子菌菌株的表型和分子鉴定。
Mycoses. 2015 May;58(5):267-72. doi: 10.1111/myc.12308. Epub 2015 Feb 27.
10
Chromoblastomycosis caused by Fonsecaea: clinicopathology, susceptibility and molecular identification of seven consecutive cases in Southern China.中国南方地区由 Fonsecaea 引起的着色芽生菌病:七例连续病例的临床病理、易感性和分子鉴定。
Clin Microbiol Infect. 2013 Nov;19(11):1023-8. doi: 10.1111/1469-0691.12067. Epub 2012 Nov 15.

引用本文的文献

1
The global burden of chromoblastomycosis.黑曲霉病的全球负担。
PLoS Negl Trop Dis. 2021 Aug 12;15(8):e0009611. doi: 10.1371/journal.pntd.0009611. eCollection 2021 Aug.
2
Case Report: A Case of Chromoblastomycosis Caused by Fonsecaea pedrosoi in Vietnam.病例报告:越南由佩德罗氏副球孢子菌引起的暗色丝孢霉病病例。
Mycopathologia. 2019 Feb;184(1):115-119. doi: 10.1007/s11046-018-0284-3. Epub 2018 Jul 4.
3
Chromoblastomycosis: tissue modifications during itraconazole treatment.着色芽生菌病:伊曲康唑治疗期间的组织改变

本文引用的文献

1
Chromoblastomycosis: an overview of clinical manifestations, diagnosis and treatment.着色芽生菌病:临床表现、诊断及治疗概述
Med Mycol. 2009 Feb;47(1):3-15. doi: 10.1080/13693780802538001. Epub 2008 Dec 9.
2
Biology and pathogenesis of Fonsecaea pedrosoi, the major etiologic agent of chromoblastomycosis.裴氏着色芽生菌的生物学特性与发病机制,着色芽生菌病的主要病原体。
FEMS Microbiol Rev. 2007 Sep;31(5):570-91. doi: 10.1111/j.1574-6976.2007.00077.x. Epub 2007 Jul 23.
3
Molecular phylogenetics of strains morphologically identified as Fonsecaea pedrosoi from clinical specimens.
An Bras Dermatol. 2017 Jul-Aug;92(4):478-483. doi: 10.1590/abd1806-4841.20175466.
4
Fonsecaea pedrosoi: a rare etiology in fungal keratitis.佩德罗分支孢子菌:真菌性角膜炎的一种罕见病因。
J Clin Diagn Res. 2013 Oct;7(10):2272-3. doi: 10.7860/JCDR/2013/6627.3491. Epub 2013 Sep 13.
从临床标本中形态学鉴定为裴氏瓶霉的菌株的分子系统发育学
Mycoses. 2007 Jul;50(4):255-60. doi: 10.1111/j.1439-0507.2007.01383.x.
4
Chromoblastomycosis.着色芽生菌病
Clin Dermatol. 2007 Mar-Apr;25(2):188-94. doi: 10.1016/j.clindermatol.2006.05.007.
5
A case of chromomycosis caused by Fonsecaea pedrosoi and a review of reported cases of dematiaceous fungal infection in Japan.一株由裴氏瓶霉引起的着色芽生菌病病例及日本报道的暗色真菌感染病例回顾
Mycoses. 2005 May;48(3):221-5. doi: 10.1111/j.1439-0507.2005.01089.x.
6
A case of chromoblastomycosis with an unusual clinical manifestation caused by Phialophora verrucosa on an unexposed area: treatment with a combination of amphotericin B and 5-flucytosine.疣状瓶霉引起的未暴露部位皮肤着色芽生菌病伴不寻常临床表现1例:两性霉素B与5-氟胞嘧啶联合治疗
Br J Dermatol. 2005 Mar;152(3):560-4. doi: 10.1111/j.1365-2133.2005.06424.x.
7
Molecular ecology and pathogenic potential of Fonsecaea species.丰塞卡氏菌属的分子生态学与致病潜力
Med Mycol. 2004 Oct;42(5):405-16. doi: 10.1080/13693780410001661464.
8
Chromoblastomycosis: a review of 100 cases in the state of Rio Grande do Sul, Brazil.着色芽生菌病:巴西南里奥格兰德州100例病例回顾
J Am Acad Dermatol. 2001 Apr;44(4):585-92. doi: 10.1067/mjd.2001.112220.
9
Black fungi: clinical and pathogenic approaches.黑色真菌:临床与致病学研究方法
Med Mycol. 2000;38 Suppl 1:243-50.
10
Chromoblastomycosis: a retrospective study of 325 cases on Amazonic Region (Brazil).着色芽生菌病:对巴西亚马逊地区325例病例的回顾性研究。
Mycopathologia. 1998;143(3):171-5. doi: 10.1023/a:1006957415346.