Suppr超能文献

STAT3 敲低可降低裸鼠胰腺癌细胞的侵袭性和基质金属蛋白酶-7 的表达。

STAT3 knockdown reduces pancreatic cancer cell invasiveness and matrix metalloproteinase-7 expression in nude mice.

机构信息

Department of General Surgery, Affiliated First People's Hospital, Shanghai Jiao Tong University, Shanghai, China.

出版信息

PLoS One. 2011;6(10):e25941. doi: 10.1371/journal.pone.0025941. Epub 2011 Oct 3.

Abstract

AIMS

Transducer and activator of transcription-3 (STAT3) plays an important role in tumor cell invasion and metastasis. The aim of the present study was to investigate the effects of STAT3 knockdown in nude mouse xenografts of pancreatic cancer cells and underlying gene expression.

METHODS

A STAT3 shRNA lentiviral vector was constructed and infected into SW1990 cells. qRT-PCR and western immunoblot were performed to detect gene expression. Nude mouse xenograft assays were used to assess changes in phenotypes of these stable cells in vivo. HE staining was utilized to evaluate tumor cell invasion and immunohistochemistry was performed to analyze gene expression.

RESULTS

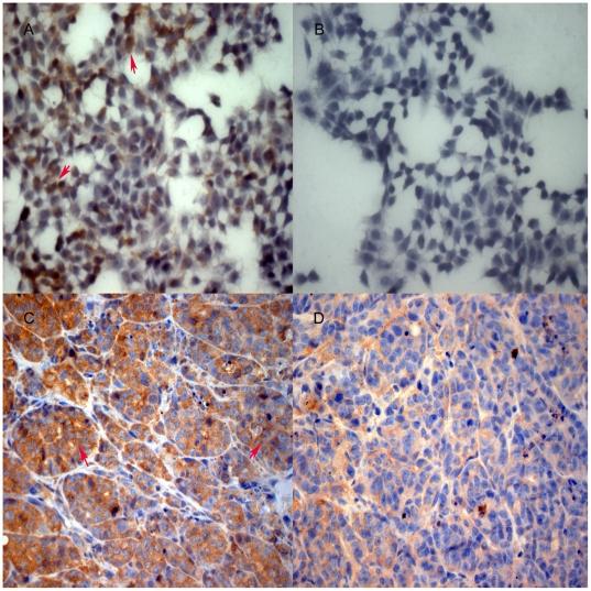
STAT3 shRNA successfully silenced expression of STAT3 mRNA and protein in SW1990 cells compared to control cells. Growth rate of the STAT3-silenced tumor cells in nude mice was significantly reduced compared to in the control vector tumors and parental cells-generated tumors. Tumor invasion into the vessel and muscle were also suppressed in the STAT3-silenced tumors compared to controls. Collagen IV expression was complete and continuous surrounding the tumors of STAT3-silenced SW1990 cells, whereas collagen IV expression was incomplete and discontinuous surrounding the control tumors. Moreover, microvessel density was significantly lower in STAT3-silenced tumors than parental or control tumors of SW1990 cells. In addition, MMP-7 expression was reduced in STAT3-silenced tumors compared to parental SW1990 xenografts and controls. In contrast, expression of IL-1β and IgT7α was not altered.

CONCLUSION

These data clearly demonstrate that STAT3 plays an important role in regulation of tumor growth, invasion, and angiogenesis, which could be act by reducing MMP-7 expression in pancreatic cancer cells.

摘要

目的

转录激活因子 3(STAT3)在肿瘤细胞侵袭和转移中发挥重要作用。本研究旨在探讨 STAT3 敲低对胰腺癌裸鼠异种移植瘤及其潜在基因表达的影响。

方法

构建 STAT3 shRNA 慢病毒载体并感染 SW1990 细胞。采用 qRT-PCR 和 Western 免疫印迹法检测基因表达。裸鼠异种移植实验评估这些稳定细胞在体内表型的变化。HE 染色评估肿瘤细胞侵袭,免疫组化分析基因表达。

结果

与对照细胞相比,STAT3 shRNA 成功沉默了 SW1990 细胞中 STAT3 mRNA 和蛋白的表达。与对照载体肿瘤和亲本细胞生成的肿瘤相比,STAT3 沉默肿瘤细胞在裸鼠中的生长速度明显降低。STAT3 沉默肿瘤中的肿瘤侵袭到血管和肌肉也受到抑制。与对照组相比,STAT3 沉默的 SW1990 细胞肿瘤周围的胶原 IV 表达完整且连续,而对照组肿瘤周围的胶原 IV 表达不完整且不连续。此外,STAT3 沉默肿瘤中的微血管密度明显低于 SW1990 细胞的亲本或对照肿瘤。此外,与亲本 SW1990 异种移植瘤和对照相比,STAT3 沉默肿瘤中 MMP-7 的表达降低。相反,IL-1β 和 IgT7α 的表达没有改变。

结论

这些数据清楚地表明,STAT3 在调节肿瘤生长、侵袭和血管生成中起重要作用,这可能是通过降低胰腺癌细胞中 MMP-7 的表达来实现的。

https://cdn.ncbi.nlm.nih.gov/pmc/blobs/dca2/3185063/03c58f7b09ad/pone.0025941.g001.jpg

文献检索

告别复杂PubMed语法,用中文像聊天一样搜索,搜遍4000万医学文献。AI智能推荐,让科研检索更轻松。

立即免费搜索

文件翻译

保留排版,准确专业,支持PDF/Word/PPT等文件格式,支持 12+语言互译。

免费翻译文档

深度研究

AI帮你快速写综述,25分钟生成高质量综述,智能提取关键信息,辅助科研写作。

立即免费体验