Kumar Narendra, Bera Anjan, Kumar Ritesh, Ghoshal Sushmita, Angurana Shabab Lalit, Srinivasan Radhika
Department of Radiotherapy and Regional Cancer Centre (RCC), PGIMER, Chandigarh, India.
Indian J Dermatol. 2011 Sep-Oct;56(5):578-80. doi: 10.4103/0019-5154.87161.
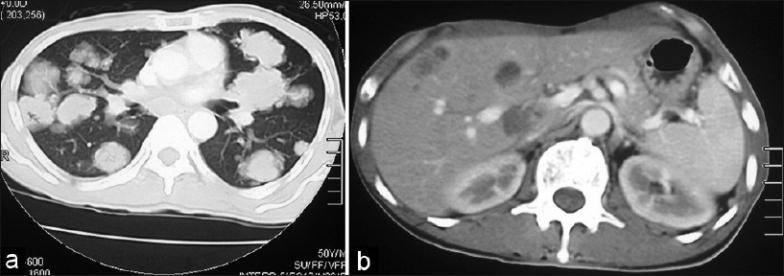
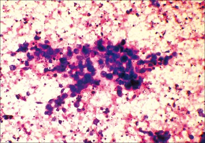
Subcutaneous metastasis from carcinoma larynx is a rare presentation and to the phalynx is the rarest. We herein describe a case report of carcinoma supraglottic larynx, which is involving all five distal phalanges of left hand with simultaneous metastases to lung and liver. Acrometastasis is an unusual presentation, which might mimic an infectious or inflammatory pathology. The brief report highlights the importance of clinical awareness of metastatic dissemination to unusual sites in the face of increasing cancer survivorship.