Suppr超能文献

埃塞俄比亚女性子宫颈癌中HPV-16免疫染色的患病率及模式:一项初步研究。

The prevalence and pattern of HPV-16 immunostaining in uterine cervical carcinomas in Ethiopian women: a pilot study.

作者信息

Rashed Mona M, Bekele Alemayehu

机构信息

Department of Pathology, Affiliated to General Organization of Teaching Hospitals and Institutes, Egypt.

出版信息

Pan Afr Med J. 2011;8:21. doi: 10.4314/pamj.v8i1.71077. Epub 2011 Mar 11.

Abstract

INTRODUCTION

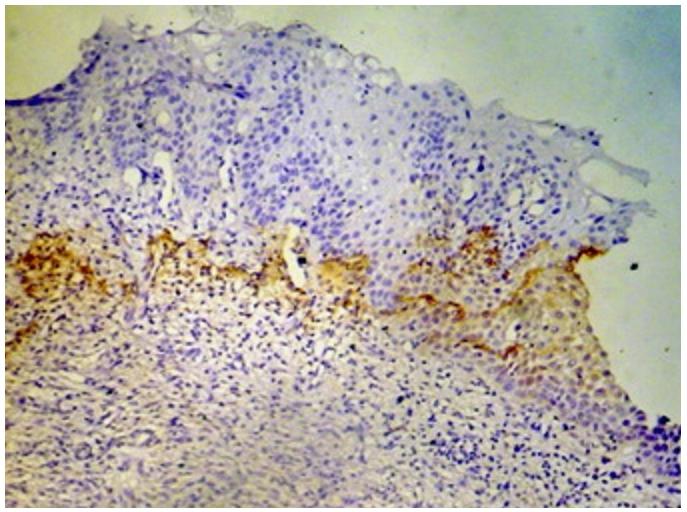
Cancer of the cervix uteri is the second most common cancer among women worldwide. The association of human papillomavirus (HPV) infection with cervical carcinogenesis is well documented. This is a pilot study aiming to studying the prevalence and the pattern of Human Papilloma Virus Type 16 (HPV16) by immunostaining in the tissues of cervical carcinomas of Ethiopian women.

METHODS

20 specimens of uterine cervical carcinomas were studied histopathologically and immunohistochemically for HPV16.

RESULTS

Histologically the specimens were classified as: Ten cases were Non Keratinized Squamous cell carcinoma (NKSCC), six cases were Keratinized Squamous Cell Carcinoma (KSCC) and four cases were Adenocarcinoma (ADC). Immunohistochemistry study showed positivity in eleven cases (55%); seven cases (35%) were non-keratinized squamous cell carcinoma; three cases (15%) were keratinized squamous cell carcinoma and one case (5%) belonged to the adenocarcinomas.

CONCLUSION

This study reveals a significant detection of HPV in Ethiopian women by the use of advanced techniques such as Immunohistochemistry (IHC). The data of this study suggested that the marked expression of the HPV 16 was in the less differentiated uterine cervix carcinomas.

摘要

引言

子宫颈癌是全球女性中第二常见的癌症。人乳头瘤病毒(HPV)感染与子宫颈癌发生之间的关联已有充分记录。这是一项试点研究,旨在通过免疫染色研究埃塞俄比亚女性子宫颈癌组织中16型人乳头瘤病毒(HPV16)的患病率和模式。

方法

对20例子宫颈癌标本进行了HPV16的组织病理学和免疫组织化学研究。

结果

组织学上,标本分类如下:10例为非角化鳞状细胞癌(NKSCC),6例为角化鳞状细胞癌(KSCC),4例为腺癌(ADC)。免疫组织化学研究显示11例(55%)呈阳性;7例(35%)为非角化鳞状细胞癌;3例(15%)为角化鳞状细胞癌,1例(5%)为腺癌。

结论

本研究通过使用免疫组织化学(IHC)等先进技术,在埃塞俄比亚女性中显著检测到了HPV。本研究数据表明,HPV 16在分化程度较低的子宫颈癌中表达明显。

https://cdn.ncbi.nlm.nih.gov/pmc/blobs/baae/3224022/f7c2f4544410/pamj-8-21-g001.jpg

文献AI研究员

20分钟写一篇综述,助力文献阅读效率提升50倍。

立即体验

用中文搜PubMed

大模型驱动的PubMed中文搜索引擎

马上搜索

文档翻译

学术文献翻译模型,支持多种主流文档格式。

立即体验