Suppr超能文献

癌症患者脑部的扩散磁共振成像

Diffusion MR Imaging of the Brain in Patients with Cancer.

作者信息

Debnam J Matthew, Schellingerhout Dawid

机构信息

Department of Radiology, Section of Neuroradiology, The University of Texas MD Anderson Cancer Center, 1400 Pressler Street, FCT16.024, Unit 1482, Houston, TX 77030, USA.

出版信息

Int J Mol Imaging. 2011;2011:714021. doi: 10.1155/2011/714021. Epub 2011 Oct 25.

Abstract

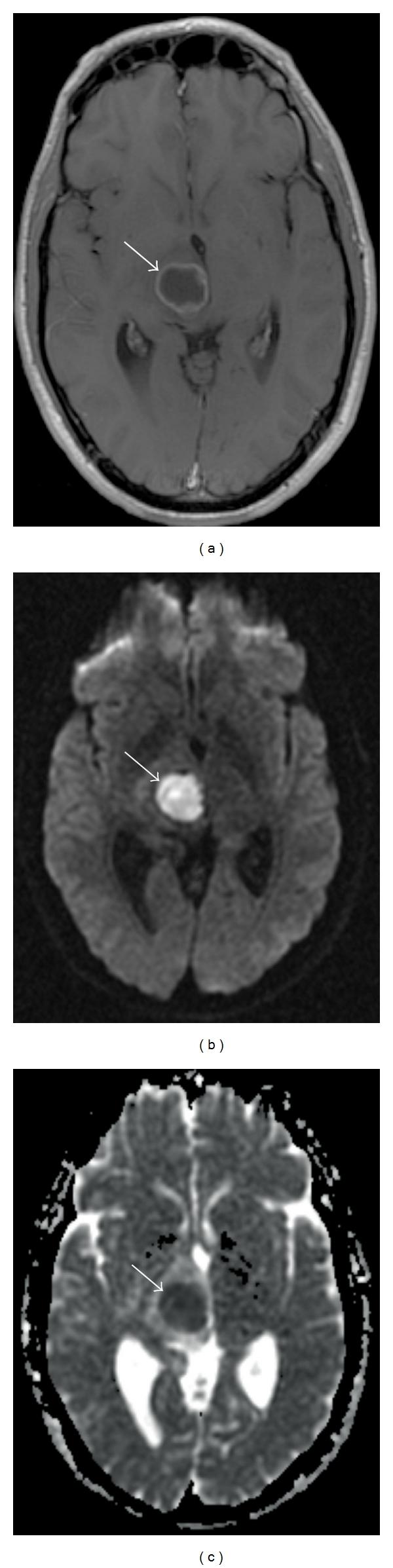
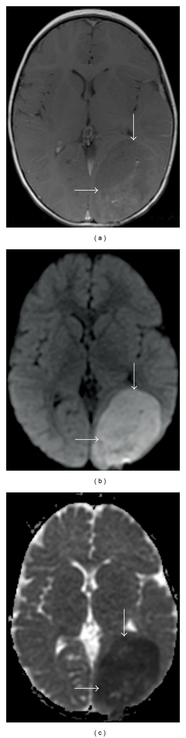
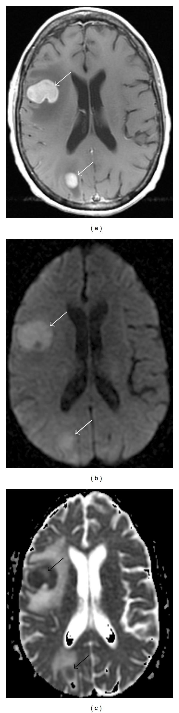
Over the last several years, there has been significant advancement in the molecular characterization of intracranial diseases, particularly cerebral neoplasms. While nuclear medicine technology, including PET/CT, has been at the foreground of exploration, new MR imaging techniques, specifically diffusion-weighted and diffusion tensor imaging, have shown interesting applications towards advancing our understanding of cancer involving the brain. In this paper, we review the fundamentals and basic physics of these techniques, and their applications to patient care for both general diagnostic use and in answering specific questions in selection of patients in terms of expected response to treatment.

摘要

在过去几年中,颅内疾病,尤其是脑肿瘤的分子特征研究取得了重大进展。虽然包括PET/CT在内的核医学技术一直处于探索前沿,但新的磁共振成像技术,特别是扩散加权成像和扩散张量成像,在推进我们对脑部癌症的理解方面显示出了有趣的应用。在本文中,我们回顾了这些技术的基本原理和基础物理学,以及它们在患者护理中的应用,包括一般诊断用途以及在回答关于患者对治疗预期反应的特定选择问题方面的应用。

https://cdn.ncbi.nlm.nih.gov/pmc/blobs/9e2a/3202134/0204ae3e0244/IJMI2011-714021.001.jpg

相似文献

1
Diffusion MR Imaging of the Brain in Patients with Cancer.
Int J Mol Imaging. 2011;2011:714021. doi: 10.1155/2011/714021. Epub 2011 Oct 25.
2
Basic concepts of MR imaging, diffusion MR imaging, and diffusion tensor imaging.
Magn Reson Imaging Clin N Am. 2011 Feb;19(1):1-22. doi: 10.1016/j.mric.2010.10.005.
4
Imaging of brain tumors with diffusion-weighted and diffusion tensor MR imaging.
Magn Reson Imaging Clin N Am. 2003 Aug;11(3):379-401. doi: 10.1016/s1064-9689(03)00065-5.
5
Evaluation of early cerebral metabolic, perfusion and microstructural changes in HCV-positive patients: a pilot study.
J Hepatol. 2013 Oct;59(4):651-7. doi: 10.1016/j.jhep.2013.05.008. Epub 2013 May 13.
6
Application of Advanced MR Imaging Techniques and the Evolving Role of PET/MR Imaging in Neuro-oncology.
PET Clin. 2013 Apr;8(2):183-99. doi: 10.1016/j.cpet.2012.09.003. Epub 2012 Nov 24.
9
Diffusion MR Imaging in the Head and Neck: Principles and Applications.
Neuroimaging Clin N Am. 2020 Aug;30(3):261-282. doi: 10.1016/j.nic.2020.04.001. Epub 2020 Jun 11.

本文引用的文献

2
Measurement of the instantaneous velocity of a Brownian particle.
Science. 2010 Jun 25;328(5986):1673-5. doi: 10.1126/science.1189403. Epub 2010 May 20.
3
Multiple Q-shell ODF reconstruction in Q-ball imaging.
Med Image Comput Comput Assist Interv. 2009;12(Pt 2):423-31. doi: 10.1007/978-3-642-04271-3_52.
4
5
Bevacizumab alone and in combination with irinotecan in recurrent glioblastoma.
J Clin Oncol. 2009 Oct 1;27(28):4733-40. doi: 10.1200/JCO.2008.19.8721. Epub 2009 Aug 31.
7
Phase II trial of single-agent bevacizumab followed by bevacizumab plus irinotecan at tumor progression in recurrent glioblastoma.
J Clin Oncol. 2009 Feb 10;27(5):740-5. doi: 10.1200/JCO.2008.16.3055. Epub 2008 Dec 29.
8
Differentiation between glioblastomas and solitary brain metastases using diffusion tensor imaging.
Neuroimage. 2009 Feb 1;44(3):653-60. doi: 10.1016/j.neuroimage.2008.09.027. Epub 2008 Oct 7.

文献AI研究员

20分钟写一篇综述,助力文献阅读效率提升50倍。

立即体验

用中文搜PubMed

大模型驱动的PubMed中文搜索引擎

马上搜索

文档翻译

学术文献翻译模型,支持多种主流文档格式。

立即体验