Suppr超能文献

泌尿生殖系统来源的颌面部转移。3 例报告及文献复习。

Maxillofacial metastasis of genitourinary origin. A report of 3 cases and review of the literature.

机构信息

C/ Recogidas n 49-1 derecha, 18002 Granada, Spain.

出版信息

Med Oral Patol Oral Cir Bucal. 2012 Mar 1;17(2):e242-5. doi: 10.4317/medoral.17378.

Abstract

INTRODUCTION

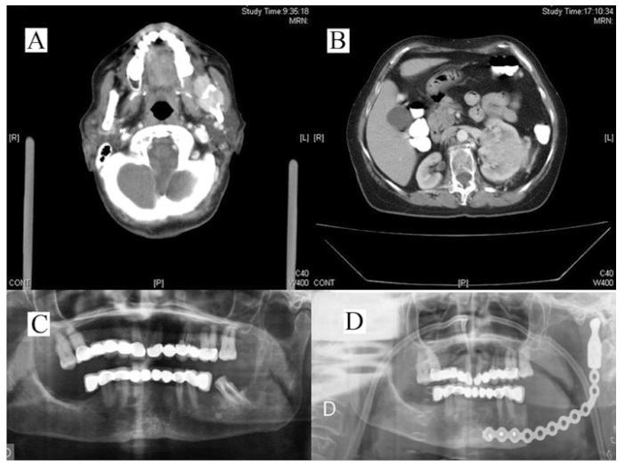
The maxillofacial region can harbour a wide range of primary tumours, as well as secondary tumours spreading from distant sites. Rare, though nevertheless important among the latter are genitourinary tumours, such as clear cell renal carcinoma and cervical cancer. Diagnosis of the maxillofacial metastasis sometimes precedes that of the original site, though in other cases the metastasis may arise many years after treatment of the primary tumour.

CASE REPORT

We present three cases of maxillofacial metastasis of genitourinary tumours, two clear cell renal adenocarcinoma and squamous cell carcinoma of the uterine cervix. The patients were referred our hospital service for diagnosis and treatment, after having been initially evaluated for buccodental symptoms.

DISCUSSION

The appearance of a maxillofacial tumour, initially with the aspect of a primary tumour, may sometimes be the consequence of haematogenous dissemination from another site, such as these surprising cases originating in the genitourinary area. If disseminated metastatic disease is suspected, an extensive oncological screening should be done to evaluate the best therapeutic option in each patient.

摘要

简介

颌面区域可发生多种原发性肿瘤,也可发生远处转移而来的继发性肿瘤。后者中罕见但重要的是泌尿生殖系统肿瘤,如肾透明细胞癌和宫颈癌。颌面转移的诊断有时先于原发部位,尽管在其他情况下,转移可能在原发肿瘤治疗多年后发生。

病例报告

我们报告了三例泌尿生殖系统肿瘤颌面转移的病例,两例为肾透明细胞腺癌,一例为宫颈鳞状细胞癌。这些患者最初因口腔牙齿症状就诊于我们医院,随后被转诊至我们的服务部门进行诊断和治疗。

讨论

颌面肿瘤的出现,最初表现为原发性肿瘤的特征,有时可能是来自其他部位的血行播散的结果,如这些令人惊讶的起源于泌尿生殖区域的病例。如果怀疑有播散性转移疾病,应进行广泛的肿瘤学筛查,以评估每位患者的最佳治疗选择。

https://cdn.ncbi.nlm.nih.gov/pmc/blobs/a9e2/3448314/e91b44733282/medoral-17-e242-g001.jpg

文献AI研究员

20分钟写一篇综述,助力文献阅读效率提升50倍。

立即体验

用中文搜PubMed

大模型驱动的PubMed中文搜索引擎

马上搜索

文档翻译

学术文献翻译模型,支持多种主流文档格式。

立即体验