Guimarães Marcos Duarte, Almeida Maria Fernanda Arruda, Brelinger André, Barbosa Paula Nicole, Chojniak Rubens, Gross Jefferson Luiz
Department of Imaging, Hospital AC Camargo, São Paulo/SP, Brazil.
J Med Case Rep. 2011 Dec 12;5:575. doi: 10.1186/1752-1947-5-575.
Pulmonary tumor thrombotic microangiopathy is a rare complication of malignant diseases. The diagnosis is extremely difficult and is most often performed after death. Invariably, patients develop acute pulmonary hypertension causing right heart failure, shortness of breath and death in a few days. We describe the clinical and radiological findings of a patient who presented with this complication.
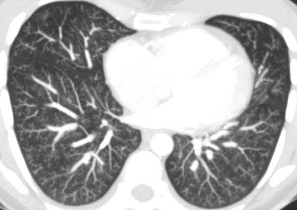
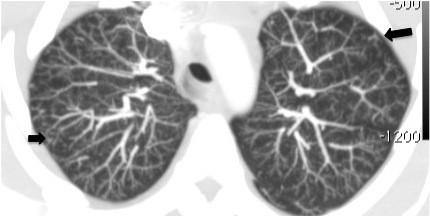
A 28-year-old Caucasian woman with a previous history of pelvic tumor resection two months previously, suggestive of metastatic adenocarcinoma, presented with intense shortness of breath. A computed tomography scan showed signs of acute cor pulmonale and diffuse nodular opacities associated with a tree-in-bud pattern disseminated through her lungs, suggestive of bronchiolitis. Our patient's condition worsened and she underwent a surgical biopsy. Pathologic analysis of the biopsied specimens revealed pulmonary tumor thrombotic microangiopathy. Our patient's tumor evolved from a gastric origin (Krukenberg tumor). She underwent progressive clinical deterioration and died less than 24 hours after the biopsy. None of the cases described previously in the literature had diffuse centrilobular nodular opacities associated with a tree-in-bud pattern disseminated through the lungs, as in our case.
Pulmonary tumor thrombotic microangiopathy should be considered in cancer patients with rapidly progressing dyspnea, chest computed tomography findings compatible with pulmonary hypertension and typical findings of inflammatory bronchiolitis.
肺肿瘤血栓性微血管病是恶性疾病的一种罕见并发症。诊断极为困难,多数情况下在患者死后才能确诊。患者总是会发展为急性肺动脉高压,导致右心衰竭、呼吸急促,并在数天内死亡。我们描述了一名出现这种并发症患者的临床和影像学表现。
一名28岁的白人女性,两个月前有盆腔肿瘤切除史,提示转移性腺癌,现出现严重呼吸急促。计算机断层扫描显示急性肺心病迹象以及双肺弥漫性结节状阴影,并伴有呈“树芽征”分布,提示细支气管炎。我们这位患者的病情恶化,随后接受了手术活检。活检标本的病理分析显示为肺肿瘤血栓性微血管病。我们这位患者的肿瘤起源于胃(库肯勃瘤)。她的临床症状逐渐恶化,活检后不到24小时便死亡。此前文献中描述的病例均未出现像我们这位患者这样双肺弥漫性小叶中心性结节状阴影并伴有“树芽征”分布的情况。
对于癌症患者,若出现快速进展的呼吸困难、胸部计算机断层扫描结果符合肺动脉高压以及炎症性细支气管炎的典型表现,应考虑肺肿瘤血栓性微血管病。