• 文献检索
  • 文档翻译
  • 深度研究
  • 学术资讯
  • Suppr Zotero 插件Zotero 插件
  • 邀请有礼
  • 套餐&价格
  • 历史记录
应用&插件
Suppr Zotero 插件Zotero 插件浏览器插件Mac 客户端Windows 客户端微信小程序
定价
高级版会员购买积分包购买API积分包
服务
文献检索文档翻译深度研究API 文档MCP 服务
关于我们
关于 Suppr公司介绍联系我们用户协议隐私条款
关注我们

Suppr 超能文献

核心技术专利:CN118964589B侵权必究
粤ICP备2023148730 号-1Suppr @ 2026

文献检索

告别复杂PubMed语法,用中文像聊天一样搜索,搜遍4000万医学文献。AI智能推荐,让科研检索更轻松。

立即免费搜索

文件翻译

保留排版,准确专业,支持PDF/Word/PPT等文件格式,支持 12+语言互译。

免费翻译文档

深度研究

AI帮你快速写综述,25分钟生成高质量综述,智能提取关键信息,辅助科研写作。

立即免费体验

意外转折:一例源自结直肠癌的转移性卵巢癌罕见病例

An Unexpected Turn: An Unusual Case of a Metastatic Ovarian Carcinoma Arising from a Colorectal Malignancy.

作者信息

Pua Patricia Jarmin L, Bacalso Mary Nel B, Andres Mariaem M

机构信息

Institute of Radiology, St. Luke's Medical Center, Quezon City, Philippines.

出版信息

Acta Med Philipp. 2024 Aug 30;58(15):81-86. doi: 10.47895/amp.vi0.7969. eCollection 2024.

DOI:10.47895/amp.vi0.7969
PMID:39308886
原文链接:https://pmc.ncbi.nlm.nih.gov/articles/PMC11413455/
Abstract

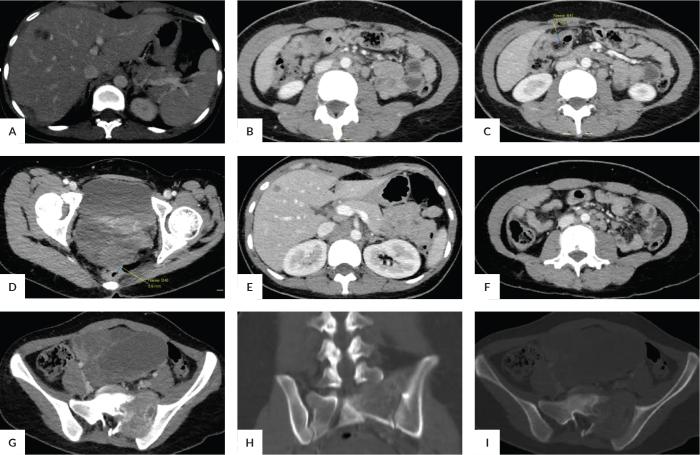
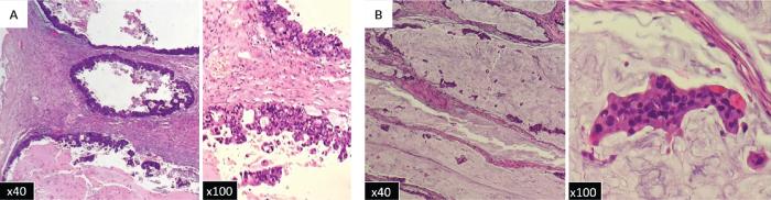
Krukenberg tumors are very rare. Its origin is difficult to define especially if its gross features mimic a primary ovarian cancer. We present a case of a 24-year-old Filipino female patient with metastatic mucinous ovarian adenocarcinoma of colonic origin that mimicked primary ovarian cancer and genitourinary tuberculosis. Surgery was done and histopathology revealed that the cancer was a metastatic mucinous adenocarcinoma of colonic origin. This case highlights the importance of differentiating between benign and malignant ovarian lesions as well as distinction between primary and metastatic ovarian neoplasms. Radiological imaging has an evolving role in diagnosis of different cancers, which may be improved through better clinical correlation and developing meaningful differential diagnosis while advancing to a more strategized algorithm in the diagnostic approach.

摘要

库肯勃瘤非常罕见。其起源难以界定,尤其是当它的大体特征类似原发性卵巢癌时。我们报告一例24岁的菲律宾女性患者,患有源自结肠的转移性黏液性卵巢腺癌,该肿瘤酷似原发性卵巢癌和泌尿生殖系统结核。患者接受了手术,组织病理学检查显示该癌症是源自结肠的转移性黏液性腺癌。该病例强调了区分卵巢良性和恶性病变以及鉴别原发性和转移性卵巢肿瘤的重要性。放射影像学在不同癌症的诊断中发挥着越来越重要的作用,通过更好的临床关联、制定有意义的鉴别诊断以及推进到更具策略性的诊断方法算法,这一作用可能会得到改善。

https://cdn.ncbi.nlm.nih.gov/pmc/blobs/3ac4/11413455/17640531903e/AMP-58-15-7969-g007.jpg
https://cdn.ncbi.nlm.nih.gov/pmc/blobs/3ac4/11413455/dd11859e16b0/AMP-58-15-7969-g001.jpg
https://cdn.ncbi.nlm.nih.gov/pmc/blobs/3ac4/11413455/0816311707b2/AMP-58-15-7969-g002.jpg
https://cdn.ncbi.nlm.nih.gov/pmc/blobs/3ac4/11413455/1e3b0c9a29e8/AMP-58-15-7969-g003.jpg
https://cdn.ncbi.nlm.nih.gov/pmc/blobs/3ac4/11413455/41229c7ad72d/AMP-58-15-7969-g004.jpg
https://cdn.ncbi.nlm.nih.gov/pmc/blobs/3ac4/11413455/4e41c3bce1bc/AMP-58-15-7969-g005.jpg
https://cdn.ncbi.nlm.nih.gov/pmc/blobs/3ac4/11413455/f2c9e51eb7c9/AMP-58-15-7969-g006.jpg
https://cdn.ncbi.nlm.nih.gov/pmc/blobs/3ac4/11413455/17640531903e/AMP-58-15-7969-g007.jpg
https://cdn.ncbi.nlm.nih.gov/pmc/blobs/3ac4/11413455/dd11859e16b0/AMP-58-15-7969-g001.jpg
https://cdn.ncbi.nlm.nih.gov/pmc/blobs/3ac4/11413455/0816311707b2/AMP-58-15-7969-g002.jpg
https://cdn.ncbi.nlm.nih.gov/pmc/blobs/3ac4/11413455/1e3b0c9a29e8/AMP-58-15-7969-g003.jpg
https://cdn.ncbi.nlm.nih.gov/pmc/blobs/3ac4/11413455/41229c7ad72d/AMP-58-15-7969-g004.jpg
https://cdn.ncbi.nlm.nih.gov/pmc/blobs/3ac4/11413455/4e41c3bce1bc/AMP-58-15-7969-g005.jpg
https://cdn.ncbi.nlm.nih.gov/pmc/blobs/3ac4/11413455/f2c9e51eb7c9/AMP-58-15-7969-g006.jpg
https://cdn.ncbi.nlm.nih.gov/pmc/blobs/3ac4/11413455/17640531903e/AMP-58-15-7969-g007.jpg

相似文献

1
An Unexpected Turn: An Unusual Case of a Metastatic Ovarian Carcinoma Arising from a Colorectal Malignancy.意外转折:一例源自结直肠癌的转移性卵巢癌罕见病例
Acta Med Philipp. 2024 Aug 30;58(15):81-86. doi: 10.47895/amp.vi0.7969. eCollection 2024.
2
From Krukenberg to today: the ever present problems posed by metastatic tumors in the ovary. Part II.从克鲁肯伯格瘤到如今:卵巢转移性肿瘤带来的长期存在的问题。第二部分。
Adv Anat Pathol. 2007 May;14(3):149-77. doi: 10.1097/PAP.0b013e3180504abf.
3
A case of Krukenberg carcinoma metastasized from colon cancer resembling mucinous cystadenocarcinoma of the ovary.一例由结肠癌转移而来的库肯勃瘤,形似卵巢黏液性囊腺癌。
Int J Clin Exp Pathol. 2013 Dec 15;7(1):394-401. eCollection 2014.
4
Primary ovarian mucinous tumors with signet ring cells: report of 3 cases with discussion of so-called primary Krukenberg tumor.伴有印戒细胞的原发性卵巢黏液性肿瘤:3例报告并讨论所谓的原发性库肯勃瘤
Am J Surg Pathol. 2008 Sep;32(9):1373-9. doi: 10.1097/PAS.0b013e31816b18c1.
5
Differentiation of ovarian mucinous carcinoma and metastatic colorectal adenocarcinoma by immunostaining with beta-catenin.通过β-连环蛋白免疫染色鉴别卵巢黏液性癌和转移性结直肠腺癌
Histopathology. 2003 Aug;43(2):151-6. doi: 10.1046/j.1365-2559.2003.01687.x.
6
From krukenberg to today: the ever present problems posed by metastatic tumors in the ovary: part I. Historical perspective, general principles, mucinous tumors including the krukenberg tumor.从库肯勃瘤到如今:卵巢转移性肿瘤带来的长期存在的问题:第一部分。历史视角、一般原则、黏液性肿瘤包括库肯勃瘤
Adv Anat Pathol. 2006 Sep;13(5):205-27. doi: 10.1097/01.pap.0000213038.85704.e4.
7
Clinicopathological Characteristics of Ovarian Metastasis from Colorectal and Pancreatobiliary Carcinomas Mimicking Primary Ovarian Mucinous Tumor.酷似原发性卵巢黏液性肿瘤的结直肠癌和胰胆管癌卵巢转移的临床病理特征
Anticancer Res. 2018 Sep;38(9):5465-5473. doi: 10.21873/anticanres.12879.
8
SATB2 Expression Distinguishes Ovarian Metastases of Colorectal and Appendiceal Origin From Primary Ovarian Tumors of Mucinous or Endometrioid Type.SATB2表达可区分结直肠和阑尾来源的卵巢转移瘤与黏液性或子宫内膜样型原发性卵巢肿瘤。
Am J Surg Pathol. 2016 Mar;40(3):419-32. doi: 10.1097/PAS.0000000000000553.
9
The pathologic distinction of primary and metastatic mucinous tumors involving the ovary: A re-evaluation of algorithms based on gross features.涉及卵巢的原发性和转移性黏液性肿瘤的病理鉴别:基于大体特征对诊断方法的重新评估
Ann Diagn Pathol. 2018 Dec;37:1-6. doi: 10.1016/j.anndiagpath.2018.07.001. Epub 2018 Aug 8.
10
Metastatic gallbladder cancer to the ovary presenting as primary ovarian cancer: a case report.转移性胆囊癌转移至卵巢表现为原发性卵巢癌:病例报告。
J Med Case Rep. 2021 Aug 5;15(1):413. doi: 10.1186/s13256-021-03001-2.

本文引用的文献

1
The pathologic distinction of primary and metastatic mucinous tumors involving the ovary: A re-evaluation of algorithms based on gross features.涉及卵巢的原发性和转移性黏液性肿瘤的病理鉴别:基于大体特征对诊断方法的重新评估
Ann Diagn Pathol. 2018 Dec;37:1-6. doi: 10.1016/j.anndiagpath.2018.07.001. Epub 2018 Aug 8.
2
Clinical characteristics and prognostic analysis of Krukenberg tumor.库肯勃瘤的临床特征及预后分析
Mol Clin Oncol. 2015 Nov;3(6):1323-1328. doi: 10.3892/mco.2015.634. Epub 2015 Sep 2.
3
Imaging in tuberculosis.结核病的影像学检查
Cold Spring Harb Perspect Med. 2015 Jan 20;5(6):a017814. doi: 10.1101/cshperspect.a017814.
4
Diffuse bronchiolitis pattern on a computed tomography scan as a presentation of pulmonary tumor thrombotic microangiopathy: a case report.计算机断层扫描显示弥漫性细支气管炎模式作为肺肿瘤血栓性微血管病的一种表现:一例报告
J Med Case Rep. 2011 Dec 12;5:575. doi: 10.1186/1752-1947-5-575.
5
Advanced stage mucinous adenocarcinoma of the ovary is both rare and highly lethal: a Gynecologic Oncology Group study.高级别卵巢黏液性腺癌罕见且致死率极高:一项妇科肿瘤学组研究。
Cancer. 2011 Feb 1;117(3):554-62. doi: 10.1002/cncr.25460. Epub 2010 Sep 22.
6
An in-depth look at Krukenberg tumor: an overview.深入剖析库肯勃瘤:概述
Arch Pathol Lab Med. 2006 Nov;130(11):1725-30. doi: 10.5858/2006-130-1725-AILAKT.
7
Contrast-enhanced CT for differentiation of ovarian metastasis from gastrointestinal tract cancer: stomach cancer versus colon cancer.对比增强CT用于鉴别胃肠道癌的卵巢转移:胃癌与结肠癌
AJR Am J Roentgenol. 2006 Sep;187(3):741-5. doi: 10.2214/AJR.05.0944.
8
Tree-in-bud pattern at thin-section CT of the lungs: radiologic-pathologic overview.肺部薄层CT上的树芽征:影像学-病理学概述
Radiographics. 2005 May-Jun;25(3):789-801. doi: 10.1148/rg.253045115.
9
CT and MR imaging of ovarian tumors with emphasis on differential diagnosis.卵巢肿瘤的CT和MR成像,重点在于鉴别诊断。
Radiographics. 2002 Nov-Dec;22(6):1305-25. doi: 10.1148/rg.226025033.
10
Ovarian masses revisited: radiologic and pathologic correlation.卵巢肿物再探讨:放射学与病理学的相关性
Radiographics. 1992 Sep;12(5):853-77. doi: 10.1148/radiographics.12.5.1529129.