Suppr超能文献

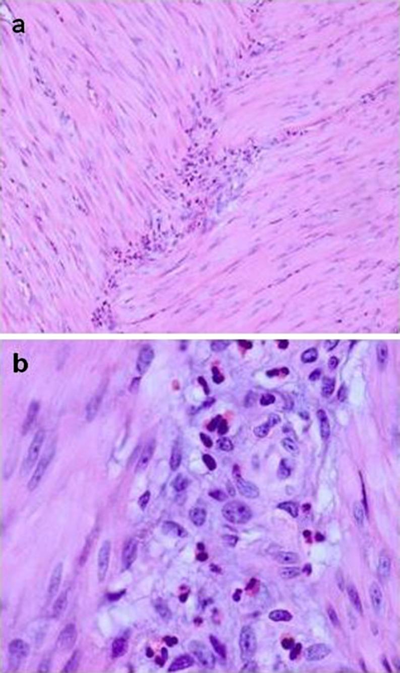
Eosinophilic myenteric ganglionitis as a cause of chronic intestinal pseudo-obstruction.

作者信息

Ooms Ariadne H A G, Verheij Joanne, Hulst Jessie M, Vlot John, van der Starre Cynthia, de Ridder Lissy, de Krijger Ronald R

机构信息

Department of Pathology, Josephine Nefkens Institute, Erasmus MC-University Medical Centre, Rotterdam, The Netherlands.

出版信息

Virchows Arch. 2012 Jan;460(1):123-7. doi: 10.1007/s00428-011-1183-x. Epub 2011 Dec 16.

Abstract
摘要
https://cdn.ncbi.nlm.nih.gov/pmc/blobs/9fe2/3267033/04a29a36eaf9/428_2011_1183_Fig1_HTML.jpg

相似文献

1
Eosinophilic myenteric ganglionitis as a cause of chronic intestinal pseudo-obstruction.
Virchows Arch. 2012 Jan;460(1):123-7. doi: 10.1007/s00428-011-1183-x. Epub 2011 Dec 16.
2
Eosinophilic myenteric ganglionitis: a case of intestinal pseudo-obstruction in a 93-year-old female.
J Clin Gastroenterol. 2011 Apr;45(4):314-6. doi: 10.1097/MCG.0b013e3181f5978a.
8
Eosinophilic Myenteric Ganglionitis Presenting as Sigmoid Volvulus: A Brief Report.
Am Surg. 2023 Nov;89(11):5021-5023. doi: 10.1177/00031348231191198. Epub 2023 Jul 28.
9

引用本文的文献

1
Eosinophilic Myenteric Ganglionitis as a Cause of Digestive Tract Perforation.
J Anus Rectum Colon. 2025 Apr 25;9(2):270-275. doi: 10.23922/jarc.2024-091. eCollection 2025.
2
Eosinophilic myenteric ganglionitis: A case in a 14-year-old-male.
JPGN Rep. 2024 Jul 8;5(3):389-393. doi: 10.1002/jpr3.12108. eCollection 2024 Aug.
3
Pediatric Intestinal Pseudo-Obstruction: Progress and Challenges.
Front Pediatr. 2022 Apr 13;10:837462. doi: 10.3389/fped.2022.837462. eCollection 2022.
4
Paediatric intestinal pseudo-obstruction: a scoping review.
Eur J Pediatr. 2022 Jul;181(7):2619-2632. doi: 10.1007/s00431-021-04365-9. Epub 2022 Apr 28.
5
Recent Advances in the Management of Severe Gastrointestinal Dysmotility.
Clin Exp Gastroenterol. 2021 May 10;14:163-172. doi: 10.2147/CEG.S249877. eCollection 2021.
6
Latest developments in chronic intestinal pseudo-obstruction.
World J Clin Cases. 2020 Dec 6;8(23):5852-5865. doi: 10.12998/wjcc.v8.i23.5852.
7
Pediatric Intestinal Pseudo-obstruction in the Era of Genetic Sequencing.
Curr Gastroenterol Rep. 2019 Dec 17;21(12):70. doi: 10.1007/s11894-019-0737-y.
8
Colonic Pseudo-obstruction With Transition Zone: A Peculiar Eastern Severe Dysmotility.
J Neurogastroenterol Motil. 2019 Jan 31;25(1):137-147. doi: 10.5056/jnm18121.
10
Endoscopic muscle biopsy sampling of the duodenum and rectum: a pilot survival study in a porcine model to detect myenteric neurons.
Gastrointest Endosc. 2018 Feb;87(2):600-606. doi: 10.1016/j.gie.2017.07.023. Epub 2017 Jul 20.

本文引用的文献

1
Changes in interstitial cells of cajal with age in the human stomach and colon.
Neurogastroenterol Motil. 2011 Jan;23(1):36-44. doi: 10.1111/j.1365-2982.2010.01590.x. Epub 2010 Aug 19.
3
Chronic intestinal pseudo-obstruction.
World J Gastroenterol. 2008 May 21;14(19):2953-61. doi: 10.3748/wjg.14.2953.
4
Review article: molecular, pathological and therapeutic features of human enteric neuropathies.
Aliment Pharmacol Ther. 2008 Jul;28(1):25-42. doi: 10.1111/j.1365-2036.2008.03707.x. Epub 2008 Apr 11.
5
Interstitial cells of Cajal in health and disease.
Neurogastroenterol Motil. 2008 May;20 Suppl 1:54-63. doi: 10.1111/j.1365-2982.2008.01109.x.
6
The enteric nervous system: normal functions and enteric neuropathies.
Neurogastroenterol Motil. 2008 May;20 Suppl 1:32-8. doi: 10.1111/j.1365-2982.2008.01094.x.
7
Gastrointestinal motility disorders: an update.
Dig Dis. 2006;24(3-4):228-42. doi: 10.1159/000092876.
8
Gut motor function: immunological control in enteric infection and inflammation.
Clin Exp Immunol. 2006 Mar;143(3):389-97. doi: 10.1111/j.1365-2249.2005.02979.x.
9
Human enteric neuropathies: morphology and molecular pathology.
Neurogastroenterol Motil. 2004 Oct;16(5):515-31. doi: 10.1111/j.1365-2982.2004.00538.x.

文献AI研究员

20分钟写一篇综述,助力文献阅读效率提升50倍。

立即体验

用中文搜PubMed

大模型驱动的PubMed中文搜索引擎

马上搜索

文档翻译

学术文献翻译模型,支持多种主流文档格式。

立即体验