Xu Dao-Kun, Jin Qi-Jiang, Xie Yan-Jie, Liu Ya-Hui, Lin Yu-Ting, Shen Wen-Biao, Zhou Yi-Jun
College of Life Sciences, Cooperative Demonstration Laboratory of Centrifuge Technique, Nanjing Agricultural University, Nanjing 210095, China; E-Mails:
Int J Mol Sci. 2011;12(11):7692-707. doi: 10.3390/ijms12117692. Epub 2011 Nov 8.
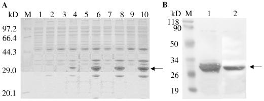
In animals and recently in plants, heme oxygenase-1 (HO1) has been found to confer protection against a variety of oxidant-induced cell and tissue injuries. In this study, a wheat (Triticum aestivum) HO1 gene TaHO1 was cloned and sequenced. It encodes a polypeptide of 31.7 kD with a putative N-terminal plastid transit peptide. The amino acid sequence of TaHO1 was found to be 78% similar to that of maize HO1. Phylogenetic analysis revealed that TaHO1 clusters together with the HO1-like sequences in plants. The purified recombinant TaHO1 protein expressed in Escherichia coli was active in the conversion of heme to biliverdin IXa (BV), and showed that the V(max) was 8.8 U·mg(-1) protein with an apparent K(m) value for hemin of 3.04 μM. The optimum Tm and pH were 35 °C and 7.4, respectively. The result of subcellular localization of TaHO1 showed that the putative transit peptide was sufficient for green fluorescent protein (GFP) to localize in chloroplast and implied that TaHO1 gene product is at least localized in the chloroplast. Moreover, we found that TaHO1 mRNA could be differentially induced by the well-known nitric oxide (NO) donor sodium nitroprusside (SNP), gibberellin acid (GA), abscisic acid (ABA), hydrogen peroxide (H(2)O(2)) and NaCl treatments. Therefore, the results suggested that TaHO1 might play an important role in abiotic stress responses.
在动物中以及最近在植物中,已发现血红素加氧酶-1(HO1)能对多种氧化剂诱导的细胞和组织损伤起到保护作用。在本研究中,克隆并测序了一个小麦(普通小麦)HO1基因TaHO1。它编码一个31.7 kD的多肽,带有一个假定的N端质体转运肽。发现TaHO1的氨基酸序列与玉米HO1的氨基酸序列相似度为78%。系统发育分析表明,TaHO1与植物中的HO1样序列聚集在一起。在大肠杆菌中表达并纯化的重组TaHO1蛋白在将血红素转化为胆绿素IXa(BV)的过程中具有活性,其V(max)为8.8 U·mg(-1)蛋白,对血红素的表观K(m)值为3.04 μM。最佳温度和pH分别为35 °C和7.4。TaHO1的亚细胞定位结果表明,假定的转运肽足以使绿色荧光蛋白(GFP)定位于叶绿体,这意味着TaHO1基因产物至少定位于叶绿体。此外,我们发现TaHO1 mRNA可被著名的一氧化氮(NO)供体硝普钠(SNP)、赤霉素(GA)、脱落酸(ABA)、过氧化氢(H₂O₂)和NaCl处理差异诱导。因此,结果表明TaHO1可能在非生物胁迫反应中起重要作用。