• 文献检索
  • 文档翻译
  • 深度研究
  • 学术资讯
  • Suppr Zotero 插件Zotero 插件
  • 邀请有礼
  • 套餐&价格
  • 历史记录
应用&插件
Suppr Zotero 插件Zotero 插件浏览器插件Mac 客户端Windows 客户端微信小程序
定价
高级版会员购买积分包购买API积分包
服务
文献检索文档翻译深度研究API 文档MCP 服务
关于我们
关于 Suppr公司介绍联系我们用户协议隐私条款
关注我们

Suppr 超能文献

核心技术专利:CN118964589B侵权必究
粤ICP备2023148730 号-1Suppr @ 2026

文献检索

告别复杂PubMed语法,用中文像聊天一样搜索,搜遍4000万医学文献。AI智能推荐,让科研检索更轻松。

立即免费搜索

文件翻译

保留排版,准确专业,支持PDF/Word/PPT等文件格式,支持 12+语言互译。

免费翻译文档

深度研究

AI帮你快速写综述,25分钟生成高质量综述,智能提取关键信息,辅助科研写作。

立即免费体验

肠梗阻的罕见病因:酷似直肠癌的直肠子宫内膜异位症——病例报告

Exceptional cause of bowel obstruction: rectal endometriosis mimicking carcinoma of rectum--a case report.

作者信息

Sassi Selim, Bouassida Mahdi, Touinsi Hassen, Mongi Mighri Mohamed, Baccari Sonia, Chebbi Fathi, Bouzeidi Khaled, Sassi Sadok

机构信息

Department of surgery, Mohamed Thahar Maamouri Hospital, Nabeul, Tunisia.

出版信息

Pan Afr Med J. 2011;10:33. Epub 2011 Nov 8.

PMID:22187615
原文链接:https://pmc.ncbi.nlm.nih.gov/articles/PMC3240923/
Abstract

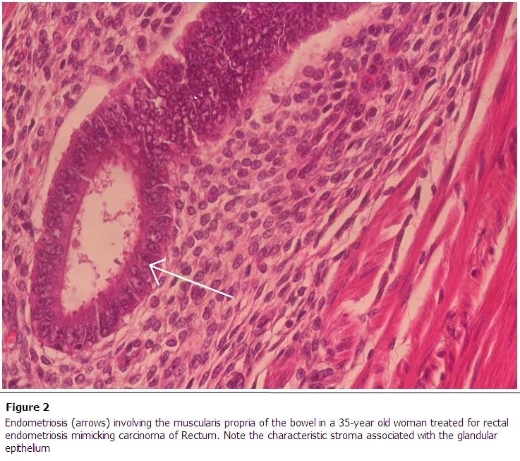
Endometriosis with intestinal serosal involvement is not uncommon in women of childbearing age. However, endometriosis presenting as colon obstruction is rare and occurs in less than 1% of cases. The Lack of pathognomonic signs makes the diagnosis difficult, mostly because the main differential diagnosis is with neoplasm, even during the intervention. Reported here is a case of a 35-year -old woman presenting with bowel obstruction due to rectal endometriosis. The patient presented signs and symptoms of bowel obstruction. Colonoscopy and radiological findings were suggestive of rectal carcinoma. Surgeons performed an anterior resection with right salpingectomy. Histopathology diagnosed bowel endometriosis. This case demonstrates the difficulty of establishing an accurate pre- and intra- operative diagnosis and the ability of intestinal endometriosis to mimic colon cancer.

摘要

子宫内膜异位症累及肠浆膜在育龄女性中并不少见。然而,以结肠梗阻为表现的子宫内膜异位症较为罕见,发生率不到1%。由于缺乏特征性体征,诊断较为困难,主要原因是即使在手术过程中,主要的鉴别诊断也是与肿瘤进行区分。本文报告一例35岁女性因直肠子宫内膜异位症导致肠梗阻的病例。患者出现肠梗阻的体征和症状。结肠镜检查和影像学检查结果提示直肠癌。外科医生进行了前切除术并切除右侧输卵管。组织病理学诊断为肠道子宫内膜异位症。该病例表明术前和术中准确诊断存在困难,以及肠道子宫内膜异位症可酷似结肠癌。

https://cdn.ncbi.nlm.nih.gov/pmc/blobs/2424/3240923/c445793724a7/PAMJ-10-33-g002.jpg
https://cdn.ncbi.nlm.nih.gov/pmc/blobs/2424/3240923/98a1365f6c62/PAMJ-10-33-g001.jpg
https://cdn.ncbi.nlm.nih.gov/pmc/blobs/2424/3240923/c445793724a7/PAMJ-10-33-g002.jpg
https://cdn.ncbi.nlm.nih.gov/pmc/blobs/2424/3240923/98a1365f6c62/PAMJ-10-33-g001.jpg
https://cdn.ncbi.nlm.nih.gov/pmc/blobs/2424/3240923/c445793724a7/PAMJ-10-33-g002.jpg

相似文献

1
Exceptional cause of bowel obstruction: rectal endometriosis mimicking carcinoma of rectum--a case report.肠梗阻的罕见病因:酷似直肠癌的直肠子宫内膜异位症——病例报告
Pan Afr Med J. 2011;10:33. Epub 2011 Nov 8.
2
Endometriosis of the rectum causing bowel obstruction: a case report.直肠子宫内膜异位症致肠梗阻:1例报告
Hepatogastroenterology. 1997 May-Jun;44(15):706-9.
3
Endometriosis causing extensive intestinal obstruction simulating carcinoma of the sigmoid colon: a case report and review of the literature.子宫内膜异位症导致广泛肠梗阻,酷似乙状结肠癌:一例报告并文献复习
Eur J Gynaecol Oncol. 2002;23(4):353-7.
4
Rectal endometriosis--rare case of intestinal obstruction. Case report.直肠子宫内膜异位症——罕见的肠梗阻病例。病例报告。
Pol Przegl Chir. 2013 Apr;85(4):219-22. doi: 10.2478/pjs-2013-0034.
5
Intestinal obstruction due to rectal endometriosis: a surgical enigma.直肠子宫内膜异位症所致肠梗阻:一个外科难题。
Asian J Surg. 2006 Jul;29(3):149-52. doi: 10.1016/S1015-9584(09)60075-0.
6
Rectal obstruction due to endometriosis.子宫内膜异位症导致的直肠梗阻
Tech Coloproctol. 2008 Mar;12(1):57-9. doi: 10.1007/s10151-008-0387-1. Epub 2008 May 30.
7
Extrapelvic endometriosis complicated with colonic obstruction.盆腔外子宫内膜异位症合并结肠梗阻。
J Chin Med Assoc. 2006 Jan;69(1):47-50. doi: 10.1016/S1726-4901(09)70111-X.
8
Acute intestinal obstruction caused by endometriosis mimicking sigmoid carcinoma.子宫内膜异位症所致急性肠梗阻酷似乙状结肠癌。
Acta Gastroenterol Belg. 1998 Jul-Sep;61(3):376-8.
9
Intestinal obstruction due to rectal endometriosis.直肠子宫内膜异位症导致的肠梗阻
Mt Sinai J Med. 2005 Nov;72(6):405-8.
10
Colonic obstruction due to rectal endometriosis: report of a case.直肠子宫内膜异位症导致的结肠梗阻:病例报告
Turk J Gastroenterol. 2005 Mar;16(1):48-51.

引用本文的文献

1
[Interdisciplinary surgical spectrum in cooperation of abdominal surgery and gynecology : What must the (general/abdominal) surgeon know?].[腹部外科与妇科合作中的跨学科手术范围:(普通/腹部)外科医生必须了解什么?]
Chirurgie (Heidelb). 2024 May;95(5):382-394. doi: 10.1007/s00104-024-02033-w. Epub 2024 Jan 31.
2
Endometriosis as an Uncommon Cause of Intestinal Obstruction-A Comprehensive Literature Review.子宫内膜异位症作为肠梗阻的罕见病因——一项全面的文献综述
J Clin Med. 2023 Oct 6;12(19):6376. doi: 10.3390/jcm12196376.
3
Endometriosis of the rectosigmoid colon mimicking gastrointestinal stromal tumor.

本文引用的文献

1
Endometriosis for the colorectal surgeon.结直肠外科医生眼中的子宫内膜异位症
Clin Colon Rectal Surg. 2010 Jun;23(2):72-9. doi: 10.1055/s-0030-1254293.
2
Colonic endometriosis mimicking colon cancer on a virtual colonoscopy study: a potential pitfall in diagnosis.在虚拟结肠镜检查研究中,结肠子宫内膜异位症酷似结肠癌:诊断中的一个潜在陷阱。
Case Rep Med. 2009;2009:379578. doi: 10.1155/2009/379578. Epub 2009 Nov 8.
3
Intestinal endometriosis mimicking carcinoma of rectum and sigmoid colon: a report of five cases.肠子宫内膜异位症模拟直肠和乙状结肠癌:五例报告。
乙状结肠直肠子宫内膜异位症酷似胃肠道间质瘤。
Turk J Surg. 2020 Dec 29;36(4):409-412. doi: 10.5152/turkjsurg.2017.3730. eCollection 2020 Dec.
4
Endometriosis in the rectum accompanied by hemorrhoids leading to diagnostic pitfalls: a rare case report.直肠子宫内膜异位症伴痔疮导致诊断陷阱:1例罕见病例报告
BMC Womens Health. 2018 Jul 4;18(1):120. doi: 10.1186/s12905-018-0615-z.
5
Role of colonoscopy in the diagnostic work-up of bowel endometriosis.结肠镜检查在肠道子宫内膜异位症诊断检查中的作用。
World J Gastroenterol. 2015 Apr 28;21(16):4997-5001. doi: 10.3748/wjg.v21.i16.4997.
6
Diagnosis, management, and long-term outcomes of rectovaginal endometriosis.直肠阴道子宫内膜异位症的诊断、管理及长期预后
Int J Womens Health. 2013 Nov 8;5:753-63. doi: 10.2147/IJWH.S37846.
Yonsei Med J. 2009 Oct 31;50(5):732-5. doi: 10.3349/ymj.2009.50.5.732. Epub 2009 Oct 21.
4
Sigmoid colon endometriosis treated with laparoscopy-assisted sigmoidectomy: significance of preoperative diagnosis.腹腔镜辅助乙状结肠切除术治疗乙状结肠子宫内膜异位症:术前诊断的意义
World J Gastroenterol. 2007 Oct 28;13(40):5400-2. doi: 10.3748/wjg.v13.i40.5400.
5
Endometriosis of the intestinal tract: a study of 44 cases of a disease that may cause diverse challenges in clinical and pathologic evaluation.肠道子宫内膜异位症:一项对44例病例的研究,该疾病可能在临床和病理评估中带来多种挑战。
Am J Surg Pathol. 2001 Apr;25(4):445-54. doi: 10.1097/00000478-200104000-00003.
6
Treatment of bowel endometriosis: a report of six cases of colorectal endometriosis and a survey of the literature.
Eur J Obstet Gynecol Reprod Biol. 1997 Jan;71(1):81-4. doi: 10.1016/s0301-2115(96)02617-6.
7
Different types of extragenital endometriosis: a review.不同类型的生殖器外子宫内膜异位症:综述
Gynecol Endocrinol. 1993 Sep;7(3):207-21. doi: 10.3109/09513599309152504.