Nosotti Mario, Mendogni Paolo, Rosso Lorenzo, Tosi Davide, Palleschi Alessandro, Basciu Maria, Santambrogio Luigi, Ferrero Stefano
Thoracic Surgery and Lung Transplantation Unit, Fondazione IRCCS Cà Granda Ospedale Maggiore Policlinico, University of Milan, Milan, Italy.
J Cardiothorac Surg. 2012 Jan 3;7:1. doi: 10.1186/1749-8090-7-1.
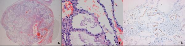
The authors report a clinical case of alveolar adenoma presenting as a solitary pulmonary nodule which was positive to PET and deeply located in the lung. Few cases of alveolar adenomas have been reported in literature; these lesions are considered pulmonary neoplasms with benign behaviour, usually presenting as a peripheral or subpleural coin lesion; the PET activities of such neoplasms were unknown.The present clinical case was singular for the deep location of the nodule and its tight adhesion to left inferior pulmonary vein requiring a lobectomy. In addition, alveolar adenoma PET behaviour has been reported as light positivity.
作者报告了一例肺泡腺瘤的临床病例,该病例表现为一个孤立性肺结节,PET检查呈阳性,且位于肺深部。文献中报道的肺泡腺瘤病例较少;这些病变被认为是具有良性行为的肺肿瘤,通常表现为周边或胸膜下的类圆形病变;此类肿瘤的PET活性尚不清楚。本临床病例的独特之处在于结节位置深且与左下肺静脉紧密粘连,需要进行肺叶切除术。此外,据报道肺泡腺瘤的PET表现为轻度阳性。