• 文献检索
  • 文档翻译
  • 深度研究
  • 学术资讯
  • Suppr Zotero 插件Zotero 插件
  • 邀请有礼
  • 套餐&价格
  • 历史记录
应用&插件
Suppr Zotero 插件Zotero 插件浏览器插件Mac 客户端Windows 客户端微信小程序
定价
高级版会员购买积分包购买API积分包
服务
文献检索文档翻译深度研究API 文档MCP 服务
关于我们
关于 Suppr公司介绍联系我们用户协议隐私条款
关注我们

Suppr 超能文献

核心技术专利:CN118964589B侵权必究
粤ICP备2023148730 号-1Suppr @ 2026

文献检索

告别复杂PubMed语法,用中文像聊天一样搜索,搜遍4000万医学文献。AI智能推荐,让科研检索更轻松。

立即免费搜索

文件翻译

保留排版,准确专业,支持PDF/Word/PPT等文件格式,支持 12+语言互译。

免费翻译文档

深度研究

AI帮你快速写综述,25分钟生成高质量综述,智能提取关键信息,辅助科研写作。

立即免费体验

采用气管内注入法对F344雄性大鼠进行氧化铜和二氧化钛纳米颗粒的肺癌致癌生物测定。

Lung Carcinogenic Bioassay of CuO and TiO(2) Nanoparticles with Intratracheal Instillation Using F344 Male Rats.

作者信息

Yokohira Masanao, Hashimoto Nozomi, Yamakawa Keiko, Suzuki Satoshi, Saoo Kousuke, Kuno Toshiya, Imaida Katsumi

机构信息

Onco-Pathology, Department of Pathology and Host-Defense, Faculty of Medicine, Kagawa University, 1750-1 Ikenobe, Miki-cho, Kita-gun, Kagawa 761-0793, Japan.

出版信息

J Toxicol Pathol. 2009 Mar;22(1):71-8. doi: 10.1293/tox.22.71. Epub 2009 Apr 6.

DOI:10.1293/tox.22.71
PMID:22271978
原文链接:https://pmc.ncbi.nlm.nih.gov/articles/PMC3246020/
Abstract

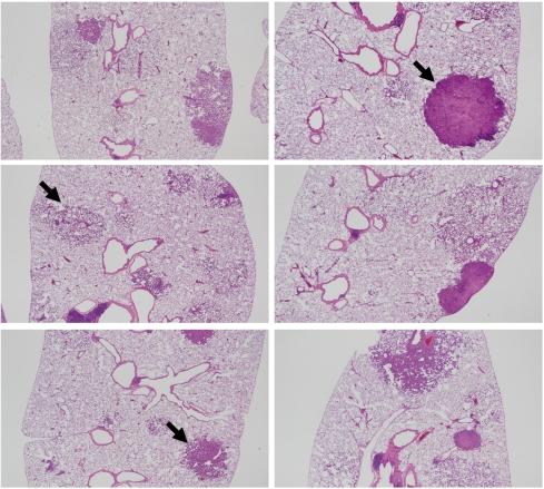
Toxicity assessment of nanoparticles, now widespread in our environment, is an important issue. We have focused attention on the carcinogenic potential of copper oxide (CuO) and titanium dioxide (TiO(2)). In experiment 1, a sequential pilot study, the effectiveness of a carcinogenic bioassay featuring intraperitoneal injection (i.p.) of 20 mg 4-(methylnitrosamino)-1-(3-pyridyl)-1-butanone (NNK) or 0.1% N-bis(2-hydroxypropyl)nitrosamine (DHPN) in drinking water for 2 weeks was examined. Based on the results, DHPN, as the lung carcinogen, and evaluation at week 30 were selected as the most appropriate for our purposes in Experiment 1. In experiment 2, the carcinogenic bioassay was used to assess the carcinogenic potentials of instilled nanoparticles of CuO and TiO(2). There were no significant intergroup differences in the lung neoplastic lesions induced by DHPN, although the neoplastic lesions induced by the nanoparticles in the CuO or TiO(2) intratracheal instillation (i.t.) groups, demonstrated a tendency to increase compared with the microparticles administration. At the very least, the carcinogenic bioassay with DHPN proved useful for assessment of the modifying effects of instilled particles, and further assessment of the carcinogenic potential of nanoparticles appears warranted.

摘要

纳米颗粒如今在我们的环境中广泛存在,对其毒性评估是一个重要问题。我们将重点关注氧化铜(CuO)和二氧化钛(TiO₂)的致癌潜力。在实验1中,这是一项序贯性预试验,研究了腹腔注射20毫克4-(甲基亚硝胺基)-1-(3-吡啶基)-1-丁酮(NNK)或在饮用水中添加0.1% N-双(2-羟丙基)亚硝胺(DHPN)持续2周的致癌生物测定法的有效性。基于这些结果,DHPN作为肺致癌物以及在第30周进行评估被选为最适合我们在实验1中的目的。在实验2中,致癌生物测定法被用于评估经气管滴注的CuO和TiO₂纳米颗粒的致癌潜力。尽管与给予微粒相比,CuO或TiO₂气管内滴注(i.t.)组中纳米颗粒诱导的肿瘤性病变有增加的趋势,但DHPN诱导的肺肿瘤性病变在组间没有显著差异。至少,用DHPN进行的致癌生物测定法被证明可用于评估滴注颗粒的修饰作用,并且对纳米颗粒致癌潜力的进一步评估似乎是有必要的。

https://cdn.ncbi.nlm.nih.gov/pmc/blobs/95b3/3246020/33e6ac3d01c7/tox-22-071-g005.jpg
https://cdn.ncbi.nlm.nih.gov/pmc/blobs/95b3/3246020/81d35f59563c/tox-22-071-g001.jpg
https://cdn.ncbi.nlm.nih.gov/pmc/blobs/95b3/3246020/6fad259bedb8/tox-22-071-g002.jpg
https://cdn.ncbi.nlm.nih.gov/pmc/blobs/95b3/3246020/214c42bfb1b6/tox-22-071-g003.jpg
https://cdn.ncbi.nlm.nih.gov/pmc/blobs/95b3/3246020/0ac339eb56c9/tox-22-071-g004.jpg
https://cdn.ncbi.nlm.nih.gov/pmc/blobs/95b3/3246020/33e6ac3d01c7/tox-22-071-g005.jpg
https://cdn.ncbi.nlm.nih.gov/pmc/blobs/95b3/3246020/81d35f59563c/tox-22-071-g001.jpg
https://cdn.ncbi.nlm.nih.gov/pmc/blobs/95b3/3246020/6fad259bedb8/tox-22-071-g002.jpg
https://cdn.ncbi.nlm.nih.gov/pmc/blobs/95b3/3246020/214c42bfb1b6/tox-22-071-g003.jpg
https://cdn.ncbi.nlm.nih.gov/pmc/blobs/95b3/3246020/0ac339eb56c9/tox-22-071-g004.jpg
https://cdn.ncbi.nlm.nih.gov/pmc/blobs/95b3/3246020/33e6ac3d01c7/tox-22-071-g005.jpg

相似文献

1
Lung Carcinogenic Bioassay of CuO and TiO(2) Nanoparticles with Intratracheal Instillation Using F344 Male Rats.采用气管内注入法对F344雄性大鼠进行氧化铜和二氧化钛纳米颗粒的肺癌致癌生物测定。
J Toxicol Pathol. 2009 Mar;22(1):71-8. doi: 10.1293/tox.22.71. Epub 2009 Apr 6.
2
Rat strain differences in levels and effects of chronic inflammation due to intratracheal instillation of quartz on lung tumorigenesis induced by DHPN.气管内注入石英所致慢性炎症的水平及效应在大鼠品系间的差异对二氢茉莉酮酸甲酯诱导的肺肿瘤发生的影响
Exp Toxicol Pathol. 2014 Oct;66(8):391-401. doi: 10.1016/j.etp.2014.06.002. Epub 2014 Jul 8.
3
Napsin A is possibly useful marker to predict the tumorigenic potential of lung bronchiolo-alveolar hyperplasia in F344 rats.Napsin A可能是预测F344大鼠肺细支气管肺泡增生致瘤潜力的有用标志物。
Exp Toxicol Pathol. 2014 Mar;66(2-3):117-23. doi: 10.1016/j.etp.2013.11.002. Epub 2013 Dec 2.
4
Iron oxide nanoparticles exert inhibitory effects on N-Bis(2-hydroxypropyl)nitrosamine (DHPN)-induced lung tumorigenesis in rats.氧化铁纳米颗粒对 N-双(2-羟丙基)亚硝胺(DHPN)诱导的大鼠肺肿瘤形成具有抑制作用。
Regul Toxicol Pharmacol. 2022 Feb;128:105072. doi: 10.1016/j.yrtph.2021.105072. Epub 2021 Nov 4.
5
Immunohistochemical characteristics of surfactant proteins a, B, C and d in inflammatory and tumorigenic lung lesions of f344 rats.F344大鼠炎症性和致瘤性肺损伤中表面活性蛋白A、B、C和D的免疫组织化学特征
J Toxicol Pathol. 2014 Oct;27(3-4):175-82. doi: 10.1293/tox.2014-0020. Epub 2014 Jun 9.
6
Comparative pulmonary toxicity study of nano-TiO(2) particles of different sizes and agglomerations in rats: different short- and long-term post-instillation results.大鼠中不同尺寸和团聚状态的纳米二氧化钛颗粒的比较肺毒性研究:不同的短期和长期滴注后结果
Toxicology. 2009 Oct 1;264(1-2):110-8. doi: 10.1016/j.tox.2009.08.002. Epub 2009 Aug 8.
7
Bioassay by intratracheal instillation for detection of lung toxicity due to fine particles in F344 male rats.通过气管内滴注法对F344雄性大鼠进行生物测定,以检测细颗粒物引起的肺毒性。
Exp Toxicol Pathol. 2007 Jan;58(4):211-21. doi: 10.1016/j.etp.2006.10.001. Epub 2006 Nov 22.
8
Carcinogenic susceptibility to N-bis(2-hydroxypropyl)nitrosamine (DHPN) in rasH2 mice.rasH2小鼠对N-双(2-羟丙基)亚硝胺(DHPN)的致癌易感性。
Toxicol Pathol. 2004 Jul-Aug;32(4):474-81. doi: 10.1080/01926230490483315.
9
A study of tobacco carcinogenesis: effect of the fat content of the diet on the carcinogenic activity of 4-(methylnitrosamino)-1-(3-pyridyl)-1-butanone in F344 rats.烟草致癌作用的研究:饮食脂肪含量对F344大鼠中4-(甲基亚硝胺基)-1-(3-吡啶基)-1-丁酮致癌活性的影响。
Cancer Res. 1993 Jun 15;53(12):2758-61.
10
Comparative pulmonary toxicity inhalation and instillation studies with different TiO2 particle formulations: impact of surface treatments on particle toxicity.不同二氧化钛颗粒制剂的比较性肺部毒性吸入和滴注研究:表面处理对颗粒毒性的影响。
Toxicol Sci. 2005 Dec;88(2):514-24. doi: 10.1093/toxsci/kfi331. Epub 2005 Sep 21.

引用本文的文献

1
Intratracheal instillation for the testing of pulmonary toxicity in mice-Effects of instillation devices and feed type on inflammation.用于小鼠肺毒性测试的气管内滴注——滴注装置和饲料类型对炎症的影响
Animal Model Exp Med. 2025 Feb;8(2):378-386. doi: 10.1002/ame2.12503. Epub 2025 Jan 3.
2
Nanotechnology in toothpaste: Fundamentals, trends, and safety.牙膏中的纳米技术:基础、趋势与安全性
Heliyon. 2024 Jan 20;10(3):e24949. doi: 10.1016/j.heliyon.2024.e24949. eCollection 2024 Feb 15.
3
A Novel Vision of Reinforcing Nanofibrous Masks with Metal Nanoparticles: Antiviral Mechanisms Investigation.

本文引用的文献

1
Lung toxicity of 16 fine particles on intratracheal instillation in a bioassay model using f344 male rats.在使用F344雄性大鼠的生物测定模型中,16种细颗粒物经气管内滴注后的肺毒性。
Toxicol Pathol. 2008 Jun;36(4):620-31. doi: 10.1177/0192623308318214. Epub 2008 May 8.
2
Possible carcinogenic risks of copper gluconate and their prevention by co-administered green tea catechins evaluated by a rat medium-term multi-organ carcinogenicity bioassay protocol.
Food Chem Toxicol. 2008 May;46(5):1760-70. doi: 10.1016/j.fct.2008.01.024. Epub 2008 Jan 21.
3
Induction of mesothelioma in p53+/- mouse by intraperitoneal application of multi-wall carbon nanotube.通过腹腔内应用多壁碳纳米管在p53基因杂合小鼠中诱发间皮瘤。
用金属纳米颗粒增强纳米纤维口罩的新视角:抗病毒机制研究
Adv Fiber Mater. 2023 Apr 11:1-45. doi: 10.1007/s42765-023-00275-7.
4
Comparative toxicological evaluations of novel forms nano-pesticides in liver and lung of albino rats.新型纳米农药在白化大鼠肝脏和肺部的比较毒理学评价。
J Mol Histol. 2023 Apr;54(2):157-172. doi: 10.1007/s10735-023-10115-y. Epub 2023 Mar 31.
5
Pulmonary Toxicity and Proteomic Analysis in Bronchoalveolar Lavage Fluids and Lungs of Rats Exposed to Copper Oxide Nanoparticles.铜氧化物纳米颗粒染毒大鼠支气管肺泡灌洗液和肺组织的肺毒性及蛋白质组学分析
Int J Mol Sci. 2022 Oct 31;23(21):13265. doi: 10.3390/ijms232113265.
6
Respiratory Exposure to Copper Oxide Particles Causes Multiple Organ Injuries via Oxidative Stress in a Rat Model.吸入氧化铜颗粒会导致大鼠模型多个器官氧化应激损伤。
Int J Nanomedicine. 2022 Sep 24;17:4481-4496. doi: 10.2147/IJN.S378727. eCollection 2022.
7
Relationship between Lung Carcinogenesis and Chronic Inflammation in Rodents.啮齿动物肺癌发生与慢性炎症之间的关系
Cancers (Basel). 2021 Jun 10;13(12):2910. doi: 10.3390/cancers13122910.
8
Gene Expression and Epigenetic Changes in Mice Following Inhalation of Copper(II) Oxide Nanoparticles.吸入氧化铜纳米颗粒后小鼠的基因表达和表观遗传变化
Nanomaterials (Basel). 2020 Mar 18;10(3):550. doi: 10.3390/nano10030550.
9
Characteristics of surfactant proteins in tumorigenic and inflammatory lung lesions in rodents.啮齿动物致瘤性和炎性肺损伤中表面活性物质蛋白的特征
J Toxicol Pathol. 2018 Oct;31(4):231-240. doi: 10.1293/tox.2018-0025. Epub 2018 Jun 2.
10
γH2AX is immunohistochemically detectable until 7 days after exposure of N-bis (2-hydroxypropyl) nitrosamine (DHPN) in rat lung carcinogenesis.在大鼠肺癌发生过程中,γH2AX在暴露于N-双(2-羟丙基)亚硝胺(DHPN)后7天内均可通过免疫组织化学检测到。
J Toxicol Pathol. 2018 Jul;31(3):163-168. doi: 10.1293/tox.2017-0066. Epub 2018 Apr 29.
J Toxicol Sci. 2008 Feb;33(1):105-16. doi: 10.2131/jts.33.105.
4
The Janus faces of nanoparticles.纳米颗粒的双面性。
J Nanosci Nanotechnol. 2007 Dec;7(12):4607-11.
5
Acute toxicity and biodistribution of different sized titanium dioxide particles in mice after oral administration.口服给予小鼠不同粒径二氧化钛颗粒后的急性毒性及生物分布
Toxicol Lett. 2007 Jan 30;168(2):176-85. doi: 10.1016/j.toxlet.2006.12.001. Epub 2006 Dec 9.
6
Bioassay by intratracheal instillation for detection of lung toxicity due to fine particles in F344 male rats.通过气管内滴注法对F344雄性大鼠进行生物测定,以检测细颗粒物引起的肺毒性。
Exp Toxicol Pathol. 2007 Jan;58(4):211-21. doi: 10.1016/j.etp.2006.10.001. Epub 2006 Nov 22.
7
Lung as a new target in rats of 2-amino-3-methylimidazo[4,5-f]quinoline carcinogenesis: results of a two-stage model initiated with N-bis(2-hydroxypropyl)nitrosamine.肺作为2-氨基-3-甲基咪唑[4,5-f]喹啉诱导大鼠致癌作用的新靶点:以N-双(2-羟丙基)亚硝胺启动的两阶段模型的结果
Cancer Sci. 2006 May;97(5):368-73. doi: 10.1111/j.1349-7006.2006.00191.x.
8
Research strategies for safety evaluation of nanomaterials. Part VI. Characterization of nanoscale particles for toxicological evaluation.纳米材料安全性评价的研究策略。第六部分。用于毒理学评价的纳米级颗粒的表征。
Toxicol Sci. 2006 Apr;90(2):296-303. doi: 10.1093/toxsci/kfj099. Epub 2006 Jan 11.
9
Dose dependent inhibitory effects of dietary 8-methoxypsoralen on NNK-induced lung tumorigenesis in female A/J mice.膳食8-甲氧基补骨脂素对雌性A/J小鼠中NNK诱导的肺肿瘤发生的剂量依赖性抑制作用。
Cancer Lett. 2006 Mar 28;234(2):232-8. doi: 10.1016/j.canlet.2005.03.038.
10
Metals, toxicity and oxidative stress.金属、毒性与氧化应激
Curr Med Chem. 2005;12(10):1161-208. doi: 10.2174/0929867053764635.