• 文献检索
  • 文档翻译
  • 深度研究
  • 学术资讯
  • Suppr Zotero 插件Zotero 插件
  • 邀请有礼
  • 套餐&价格
  • 历史记录
应用&插件
Suppr Zotero 插件Zotero 插件浏览器插件Mac 客户端Windows 客户端微信小程序
定价
高级版会员购买积分包购买API积分包
服务
文献检索文档翻译深度研究API 文档MCP 服务
关于我们
关于 Suppr公司介绍联系我们用户协议隐私条款
关注我们

Suppr 超能文献

核心技术专利:CN118964589B侵权必究
粤ICP备2023148730 号-1Suppr @ 2026

文献检索

告别复杂PubMed语法,用中文像聊天一样搜索,搜遍4000万医学文献。AI智能推荐,让科研检索更轻松。

立即免费搜索

文件翻译

保留排版,准确专业,支持PDF/Word/PPT等文件格式,支持 12+语言互译。

免费翻译文档

深度研究

AI帮你快速写综述,25分钟生成高质量综述,智能提取关键信息,辅助科研写作。

立即免费体验

大鼠胎盘的毒理病理学

Toxicological pathology in the rat placenta.

作者信息

Furukawa Satoshi, Hayashi Seigo, Usuda Koji, Abe Masayoshi, Hagio Soichiro, Ogawa Izumi

机构信息

Biological Research Laboratories, Nissan Chemical Industries, Ltd., 1470 Shiraoka, Minamisaitama, Saitama 349-0294, Japan.

出版信息

J Toxicol Pathol. 2011 Jun;24(2):95-111. doi: 10.1293/tox.24.95. Epub 2011 Jun 30.

DOI:10.1293/tox.24.95
PMID:22272049
原文链接:https://pmc.ncbi.nlm.nih.gov/articles/PMC3234607/
Abstract

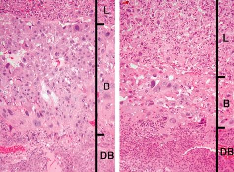
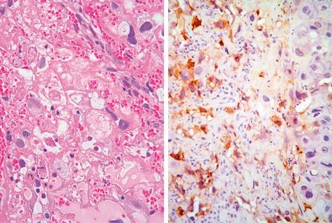
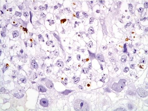
The placenta grows rapidly for a short period with high blood flow during pregnancy and has multifaceted functions, such as its barrier function, nutritional transport, drug metabolizing activity and endocrine action. Consequently, the placenta is a highly susceptible target organ for drug- or chemical-induced adverse effects, and many placenta-toxic agents have been reported. However, histopathological examination of the placenta is not generally performed, and the placental toxicity index is only the placental weight change in rat reproductive toxicity studies. The placental cells originate from the trophectoderm of the embryo and the endometrium of the dam, proliferate and differentiate into a variety of tissues with interaction each other according to the development sequence, resulting in formation of a placenta. Therefore, drug- or chemical-induced placental lesions show various histopathological features depending on the toxicants and the exposure period, and the pathogenesis of placental toxicity is complicated. Placental weight assessment appears not to be enough to evaluate placental toxicity, and reproductive toxicity studies should pay more attention to histopathological evaluation of placental tissue. The detailed histopathological approaches to investigation of the pathogenesis of placental toxicity are considered to provide an important tool for understanding the mechanism of teratogenicity and developmental toxicity with embryo lethality, and could benefit reproductive toxicity studies.

摘要

胎盘在孕期短时间内迅速生长,血流丰富,具有多种功能,如屏障功能、营养转运、药物代谢活性及内分泌作用。因此,胎盘是药物或化学物质诱导的不良反应的高度敏感靶器官,已有许多胎盘毒性药物被报道。然而,胎盘的组织病理学检查一般并不进行,在大鼠生殖毒性研究中,胎盘毒性指标仅为胎盘重量变化。胎盘细胞起源于胚胎的滋养外胚层和母体的子宫内膜,按照发育顺序相互作用,增殖并分化为多种组织,从而形成胎盘。因此,药物或化学物质诱导的胎盘病变根据毒物和暴露时间的不同表现出各种组织病理学特征,胎盘毒性的发病机制较为复杂。胎盘重量评估似乎不足以评估胎盘毒性,生殖毒性研究应更加关注胎盘组织的组织病理学评估。详细的组织病理学方法用于研究胎盘毒性的发病机制,被认为是理解致畸性和胚胎致死性发育毒性机制的重要工具,并且可能有益于生殖毒性研究。

https://cdn.ncbi.nlm.nih.gov/pmc/blobs/a404/3234607/496734ea6ebb/tox-24-095-g031.jpg
https://cdn.ncbi.nlm.nih.gov/pmc/blobs/a404/3234607/13829104b6fd/tox-24-095-g001.jpg
https://cdn.ncbi.nlm.nih.gov/pmc/blobs/a404/3234607/b69f9772ab13/tox-24-095-g002.jpg
https://cdn.ncbi.nlm.nih.gov/pmc/blobs/a404/3234607/6302bf4b4701/tox-24-095-g003.jpg
https://cdn.ncbi.nlm.nih.gov/pmc/blobs/a404/3234607/ef99ec5bd417/tox-24-095-g004.jpg
https://cdn.ncbi.nlm.nih.gov/pmc/blobs/a404/3234607/7fe5ab73f7be/tox-24-095-g005.jpg
https://cdn.ncbi.nlm.nih.gov/pmc/blobs/a404/3234607/5ca75c376806/tox-24-095-g006.jpg
https://cdn.ncbi.nlm.nih.gov/pmc/blobs/a404/3234607/50381df68f21/tox-24-095-g007.jpg
https://cdn.ncbi.nlm.nih.gov/pmc/blobs/a404/3234607/4a02cc718ee4/tox-24-095-g008.jpg
https://cdn.ncbi.nlm.nih.gov/pmc/blobs/a404/3234607/7dd2631ecc6e/tox-24-095-g009.jpg
https://cdn.ncbi.nlm.nih.gov/pmc/blobs/a404/3234607/a02a7c17ae41/tox-24-095-g010.jpg
https://cdn.ncbi.nlm.nih.gov/pmc/blobs/a404/3234607/7e584de04e9a/tox-24-095-g011.jpg
https://cdn.ncbi.nlm.nih.gov/pmc/blobs/a404/3234607/4eafb290e764/tox-24-095-g012.jpg
https://cdn.ncbi.nlm.nih.gov/pmc/blobs/a404/3234607/e0983bc19c56/tox-24-095-g013.jpg
https://cdn.ncbi.nlm.nih.gov/pmc/blobs/a404/3234607/278b2aa66900/tox-24-095-g014.jpg
https://cdn.ncbi.nlm.nih.gov/pmc/blobs/a404/3234607/b5168435f035/tox-24-095-g015.jpg
https://cdn.ncbi.nlm.nih.gov/pmc/blobs/a404/3234607/704fb648ac3f/tox-24-095-g016.jpg
https://cdn.ncbi.nlm.nih.gov/pmc/blobs/a404/3234607/3a24cfed503a/tox-24-095-g017.jpg
https://cdn.ncbi.nlm.nih.gov/pmc/blobs/a404/3234607/6562ff45a004/tox-24-095-g018.jpg
https://cdn.ncbi.nlm.nih.gov/pmc/blobs/a404/3234607/fe158a757387/tox-24-095-g019.jpg
https://cdn.ncbi.nlm.nih.gov/pmc/blobs/a404/3234607/f8e4d1b424fd/tox-24-095-g020.jpg
https://cdn.ncbi.nlm.nih.gov/pmc/blobs/a404/3234607/6b81c4aee39f/tox-24-095-g021.jpg
https://cdn.ncbi.nlm.nih.gov/pmc/blobs/a404/3234607/0420c593d052/tox-24-095-g022.jpg
https://cdn.ncbi.nlm.nih.gov/pmc/blobs/a404/3234607/06913a4f6bbf/tox-24-095-g023.jpg
https://cdn.ncbi.nlm.nih.gov/pmc/blobs/a404/3234607/5ed2950da866/tox-24-095-g024.jpg
https://cdn.ncbi.nlm.nih.gov/pmc/blobs/a404/3234607/a1509f38a4dd/tox-24-095-g025.jpg
https://cdn.ncbi.nlm.nih.gov/pmc/blobs/a404/3234607/317eb480266b/tox-24-095-g026.jpg
https://cdn.ncbi.nlm.nih.gov/pmc/blobs/a404/3234607/19d6bd0c62f3/tox-24-095-g027.jpg
https://cdn.ncbi.nlm.nih.gov/pmc/blobs/a404/3234607/120dd3540c16/tox-24-095-g028.jpg
https://cdn.ncbi.nlm.nih.gov/pmc/blobs/a404/3234607/b9f1ee9bee68/tox-24-095-g029.jpg
https://cdn.ncbi.nlm.nih.gov/pmc/blobs/a404/3234607/5287abb99474/tox-24-095-g030.jpg
https://cdn.ncbi.nlm.nih.gov/pmc/blobs/a404/3234607/496734ea6ebb/tox-24-095-g031.jpg
https://cdn.ncbi.nlm.nih.gov/pmc/blobs/a404/3234607/13829104b6fd/tox-24-095-g001.jpg
https://cdn.ncbi.nlm.nih.gov/pmc/blobs/a404/3234607/b69f9772ab13/tox-24-095-g002.jpg
https://cdn.ncbi.nlm.nih.gov/pmc/blobs/a404/3234607/6302bf4b4701/tox-24-095-g003.jpg
https://cdn.ncbi.nlm.nih.gov/pmc/blobs/a404/3234607/ef99ec5bd417/tox-24-095-g004.jpg
https://cdn.ncbi.nlm.nih.gov/pmc/blobs/a404/3234607/7fe5ab73f7be/tox-24-095-g005.jpg
https://cdn.ncbi.nlm.nih.gov/pmc/blobs/a404/3234607/5ca75c376806/tox-24-095-g006.jpg
https://cdn.ncbi.nlm.nih.gov/pmc/blobs/a404/3234607/50381df68f21/tox-24-095-g007.jpg
https://cdn.ncbi.nlm.nih.gov/pmc/blobs/a404/3234607/4a02cc718ee4/tox-24-095-g008.jpg
https://cdn.ncbi.nlm.nih.gov/pmc/blobs/a404/3234607/7dd2631ecc6e/tox-24-095-g009.jpg
https://cdn.ncbi.nlm.nih.gov/pmc/blobs/a404/3234607/a02a7c17ae41/tox-24-095-g010.jpg
https://cdn.ncbi.nlm.nih.gov/pmc/blobs/a404/3234607/7e584de04e9a/tox-24-095-g011.jpg
https://cdn.ncbi.nlm.nih.gov/pmc/blobs/a404/3234607/4eafb290e764/tox-24-095-g012.jpg
https://cdn.ncbi.nlm.nih.gov/pmc/blobs/a404/3234607/e0983bc19c56/tox-24-095-g013.jpg
https://cdn.ncbi.nlm.nih.gov/pmc/blobs/a404/3234607/278b2aa66900/tox-24-095-g014.jpg
https://cdn.ncbi.nlm.nih.gov/pmc/blobs/a404/3234607/b5168435f035/tox-24-095-g015.jpg
https://cdn.ncbi.nlm.nih.gov/pmc/blobs/a404/3234607/704fb648ac3f/tox-24-095-g016.jpg
https://cdn.ncbi.nlm.nih.gov/pmc/blobs/a404/3234607/3a24cfed503a/tox-24-095-g017.jpg
https://cdn.ncbi.nlm.nih.gov/pmc/blobs/a404/3234607/6562ff45a004/tox-24-095-g018.jpg
https://cdn.ncbi.nlm.nih.gov/pmc/blobs/a404/3234607/fe158a757387/tox-24-095-g019.jpg
https://cdn.ncbi.nlm.nih.gov/pmc/blobs/a404/3234607/f8e4d1b424fd/tox-24-095-g020.jpg
https://cdn.ncbi.nlm.nih.gov/pmc/blobs/a404/3234607/6b81c4aee39f/tox-24-095-g021.jpg
https://cdn.ncbi.nlm.nih.gov/pmc/blobs/a404/3234607/0420c593d052/tox-24-095-g022.jpg
https://cdn.ncbi.nlm.nih.gov/pmc/blobs/a404/3234607/06913a4f6bbf/tox-24-095-g023.jpg
https://cdn.ncbi.nlm.nih.gov/pmc/blobs/a404/3234607/5ed2950da866/tox-24-095-g024.jpg
https://cdn.ncbi.nlm.nih.gov/pmc/blobs/a404/3234607/a1509f38a4dd/tox-24-095-g025.jpg
https://cdn.ncbi.nlm.nih.gov/pmc/blobs/a404/3234607/317eb480266b/tox-24-095-g026.jpg
https://cdn.ncbi.nlm.nih.gov/pmc/blobs/a404/3234607/19d6bd0c62f3/tox-24-095-g027.jpg
https://cdn.ncbi.nlm.nih.gov/pmc/blobs/a404/3234607/120dd3540c16/tox-24-095-g028.jpg
https://cdn.ncbi.nlm.nih.gov/pmc/blobs/a404/3234607/b9f1ee9bee68/tox-24-095-g029.jpg
https://cdn.ncbi.nlm.nih.gov/pmc/blobs/a404/3234607/5287abb99474/tox-24-095-g030.jpg
https://cdn.ncbi.nlm.nih.gov/pmc/blobs/a404/3234607/496734ea6ebb/tox-24-095-g031.jpg

相似文献

1
Toxicological pathology in the rat placenta.大鼠胎盘的毒理病理学
J Toxicol Pathol. 2011 Jun;24(2):95-111. doi: 10.1293/tox.24.95. Epub 2011 Jun 30.
2
Morphology and physiology of rat placenta for toxicological evaluation.用于毒理学评估的大鼠胎盘的形态学与生理学
J Toxicol Pathol. 2019 Jan;32(1):1-17. doi: 10.1293/tox.2018-0042. Epub 2018 Oct 15.
3
Evaluation of the placenta: suggestions for a greater role in developmental toxicology.胎盘评估:在发育毒理学中发挥更大作用的建议。
Adv Exp Med Biol. 1998;444:129-36. doi: 10.1007/978-1-4899-0089-0_15.
4
Placental toxicology.胎盘毒理学
Food Chem Toxicol. 1982 Feb;20(1):123-8. doi: 10.1016/s0278-6915(82)80018-5.
5
Safety and nutritional assessment of GM plants and derived food and feed: the role of animal feeding trials.转基因植物及其衍生食品和饲料的安全性与营养评估:动物饲养试验的作用
Food Chem Toxicol. 2008 Mar;46 Suppl 1:S2-70. doi: 10.1016/j.fct.2008.02.008. Epub 2008 Feb 13.
6
Developing novel in vitro methods for the risk assessment of developmental and placental toxicants in the environment.开发用于评估环境中发育和胎盘毒物的新型体外方法。
Toxicol Appl Pharmacol. 2019 Sep 1;378:114635. doi: 10.1016/j.taap.2019.114635. Epub 2019 Jun 22.
7
The problem of species comparison of developmental toxicity: can we extrapolate human developmental toxicity induced by environmental chemicals from the data on rodents?发育毒性的物种比较问题:我们能否从啮齿动物的数据推断环境化学物质对人类的发育毒性?
Yakugaku Zasshi. 2007 Mar;127(3):491-500. doi: 10.1248/yakushi.127.491.
8
Current toxicological aspects on drug and chemical transport and metabolism across the human placental barrier.当前药物和化学物质在人体胎盘屏障中转运和代谢的毒理学方面。
Expert Opin Drug Metab Toxicol. 2012 Oct;8(10):1263-75. doi: 10.1517/17425255.2012.699041. Epub 2012 Jul 11.
9
Human placenta: a human organ for developmental toxicology research and biomonitoring.人类胎盘:用于发育毒理学研究和生物监测的人体器官。
Placenta. 2005 May;26(5):361-71. doi: 10.1016/j.placenta.2004.09.006.
10
Microarray analysis of 6-mercaptopurine-induced-toxicity-related genes and microRNAs in the rat placenta.大鼠胎盘 6-巯基嘌呤毒性相关基因和 microRNAs 的微阵列分析。
J Toxicol Sci. 2013 Feb;38(1):159-67. doi: 10.2131/jts.38.159.

引用本文的文献

1
Gestational vortioxetine exposure impairs pregnancy outcomes and fetal brain development via modulation of BDNF/Bax-Bcl2/5-HT pathways in rats.孕期暴露于伏硫西汀会通过调节大鼠脑源性神经营养因子(BDNF)/Bax-Bcl2/5-羟色胺(5-HT)信号通路损害妊娠结局和胎儿脑发育。
Arch Toxicol. 2025 Jul 4. doi: 10.1007/s00204-025-04122-z.
2
Super-Enhancers in Placental Development and Diseases.胎盘发育与疾病中的超级增强子
J Dev Biol. 2025 Apr 9;13(2):11. doi: 10.3390/jdb13020011.
3
Quantifying Molecular Changes in the Preeclamptic Rat Placenta with Targeted Contrast-Enhanced Ultrasound Imaging.

本文引用的文献

1
The impairment of metrial gland development in tamoxifen exposed rats.他莫昔芬处理的大鼠中子宫腺发育的损伤
Exp Toxicol Pathol. 2012 Jan;64(1-2):121-6. doi: 10.1016/j.etp.2010.07.004. Epub 2010 Aug 6.
2
Effects of sepsis-induced acute lung injury on glycogen content in different tissues.脓毒症诱导的急性肺损伤对不同组织中糖原含量的影响。
Exp Lung Res. 2010 Jun;36(5):302-6. doi: 10.3109/01902141003609983.
3
The relationship between fetal growth restriction and small placenta in 6-mercaptopurine exposed rat.6-巯基嘌呤暴露大鼠中胎儿生长受限与小胎盘之间的关系。
用靶向对比增强超声成像量化子痫前期大鼠胎盘的分子变化
Mol Imaging Biol. 2025 Apr;27(2):274-284. doi: 10.1007/s11307-025-01988-4. Epub 2025 Feb 27.
4
Effects of letrozole on rat placental development.来曲唑对大鼠胎盘发育的影响。
J Toxicol Pathol. 2024 Oct;37(4):163-172. doi: 10.1293/tox.2024-0025. Epub 2024 Jul 31.
5
Prenatal aripiprazole induces alterations of rat placenta: a histological, immunohistochemical and ultrastructural study.产前阿立哌唑致大鼠胎盘组织形态学、免疫组化及超微结构改变。
J Mol Histol. 2024 Aug;55(4):415-426. doi: 10.1007/s10735-024-10199-0. Epub 2024 May 7.
6
Histopathological Aspects of the Influence of on the Placentas of Infected Female Rats.[某因素]对受感染雌性大鼠胎盘影响的组织病理学方面
Vet Sci. 2024 Jan 3;11(1):18. doi: 10.3390/vetsci11010018.
7
Impact of Fluoride Exposure on Rat Placenta: Foetal/Placental Morphometric Alterations and Decreased Placental Vascular Density.氟暴露对大鼠胎盘的影响:胎儿/胎盘形态计量学改变和胎盘血管密度降低。
Biol Trace Elem Res. 2024 Jul;202(7):3237-3247. doi: 10.1007/s12011-023-03916-5. Epub 2023 Oct 26.
8
Nanoparticles at the maternal-fetal interface.母胎界面处的纳米颗粒。
Mol Cell Endocrinol. 2023 Dec 1;578:112067. doi: 10.1016/j.mce.2023.112067. Epub 2023 Sep 7.
9
Effects of cyclophosphamide on rat placental development.环磷酰胺对大鼠胎盘发育的影响。
J Toxicol Pathol. 2023 Jul;36(3):159-169. doi: 10.1293/tox.2022-0144. Epub 2023 Mar 24.
10
Perfluorooctane sulfonic acid modulates expression of placental steroidogenesis-associated genes and hormone levels in pregnant rats.全氟辛烷磺酸可调节怀孕大鼠胎盘类固醇生成相关基因的表达和激素水平。
Reprod Toxicol. 2023 Jun;118:108390. doi: 10.1016/j.reprotox.2023.108390. Epub 2023 May 4.
Exp Toxicol Pathol. 2011 Jan;63(1-2):89-95. doi: 10.1016/j.etp.2009.10.001. Epub 2009 Nov 18.
4
The metrial gland in the rat and its similarities to granular cell tumors.大鼠的蜕膜腺及其与颗粒细胞瘤的相似性。
Toxicol Pathol. 2009 Jun;37(4):474-80. doi: 10.1177/0192623309335632.
5
T-2 toxin-induced toxicity in pregnant mice and rats.T-2 毒素对孕鼠的毒性。
Int J Mol Sci. 2008 Nov;9(11):2146-2158. doi: 10.3390/ijms9112146. Epub 2008 Nov 5.
6
Histopathological effect of ketoconazole on rat placenta.酮康唑对大鼠胎盘的组织病理学影响。
J Vet Med Sci. 2008 Nov;70(11):1179-84. doi: 10.1292/jvms.70.1179.
7
Effect of 6-mercaptopurine on rat placenta.6-巯基嘌呤对大鼠胎盘的影响。
J Vet Med Sci. 2008 Jun;70(6):551-6. doi: 10.1292/jvms.70.551.
8
Placental-fetal glucose exchange and fetal glucose metabolism.胎盘-胎儿葡萄糖交换与胎儿葡萄糖代谢。
Trans Am Clin Climatol Assoc. 2006;117:321-39; discussion 339-40.
9
NK cell tolerance and the maternal-fetal interface.自然杀伤细胞耐受性与母胎界面
Am J Reprod Immunol. 2008 May;59(5):371-87. doi: 10.1111/j.1600-0897.2008.00593.x.
10
Uterine NK cells in murine pregnancy.小鼠妊娠中的子宫自然杀伤细胞。
Reprod Biomed Online. 2008 Feb;16(2):218-26. doi: 10.1016/s1472-6483(10)60577-9.