• 文献检索
  • 文档翻译
  • 深度研究
  • 学术资讯
  • Suppr Zotero 插件Zotero 插件
  • 邀请有礼
  • 套餐&价格
  • 历史记录
应用&插件
Suppr Zotero 插件Zotero 插件浏览器插件Mac 客户端Windows 客户端微信小程序
定价
高级版会员购买积分包购买API积分包
服务
文献检索文档翻译深度研究API 文档MCP 服务
关于我们
关于 Suppr公司介绍联系我们用户协议隐私条款
关注我们

Suppr 超能文献

核心技术专利:CN118964589B侵权必究
粤ICP备2023148730 号-1Suppr @ 2026

文献检索

告别复杂PubMed语法,用中文像聊天一样搜索,搜遍4000万医学文献。AI智能推荐,让科研检索更轻松。

立即免费搜索

文件翻译

保留排版,准确专业,支持PDF/Word/PPT等文件格式,支持 12+语言互译。

免费翻译文档

深度研究

AI帮你快速写综述,25分钟生成高质量综述,智能提取关键信息,辅助科研写作。

立即免费体验

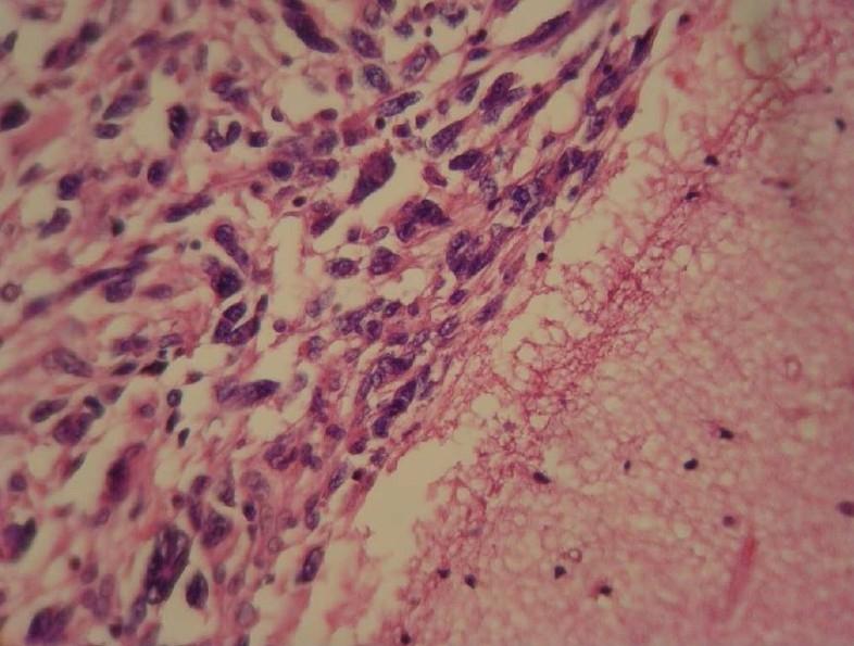
一例颅内恶性纤维组织细胞瘤

A case of intracranial malignant fibrous histiocytoma.

作者信息

Sarrami Amir Hossein, Setareh Mehrdad, Afshar-Moghaddam Noushin, Izadinejad Masoud, Saadatnia Mohammad

机构信息

Medical Student, School of Medicine, Isfahan University of Medical Sciences, Isfahan, Iran.

出版信息

J Res Med Sci. 2011 Jul;16(7):968-73.

PMID:22279468
原文链接:https://pmc.ncbi.nlm.nih.gov/articles/PMC3263113/
Abstract

We describe a case of intracranial malignant fibrous histiocytoma which had infiltrated pons, cerebellum and basal surface of left temporal lobe without any visible mass. The patient presented with a sudden loss of consciousness and vomiting. Clinical findings, laboratory tests, imaging and examination of the cerebrospinal fluid tended to establish the diagnosis of an infectious condition than a malignancy. Without any response to the antibiotics and with a progressive deterioration of neurologic and mental condition, the patient died after 20 days. In the autopsy, histological and immunohistochemical study of the brain revealed the diagnosis of malignant fibrous histiocytoma (MFH).

摘要

我们描述了一例颅内恶性纤维组织细胞瘤,该肿瘤已浸润脑桥、小脑和左颞叶底面,未发现任何可见肿块。患者出现突发意识丧失和呕吐。临床症状、实验室检查、影像学检查及脑脊液检查结果更倾向于诊断为感染性疾病而非恶性肿瘤。在使用抗生素治疗无效且神经和精神状况逐渐恶化后,患者于20天后死亡。尸检时,对脑部进行的组织学和免疫组织化学研究确诊为恶性纤维组织细胞瘤(MFH)。

https://cdn.ncbi.nlm.nih.gov/pmc/blobs/b782/3263113/c8099ae17f69/JRMS-16-968-g005.jpg
https://cdn.ncbi.nlm.nih.gov/pmc/blobs/b782/3263113/4662d33cc835/JRMS-16-968-g001.jpg
https://cdn.ncbi.nlm.nih.gov/pmc/blobs/b782/3263113/5f0bc56fe25c/JRMS-16-968-g002.jpg
https://cdn.ncbi.nlm.nih.gov/pmc/blobs/b782/3263113/c4e9a8f607c7/JRMS-16-968-g003.jpg
https://cdn.ncbi.nlm.nih.gov/pmc/blobs/b782/3263113/477b6304ae57/JRMS-16-968-g004.jpg
https://cdn.ncbi.nlm.nih.gov/pmc/blobs/b782/3263113/c8099ae17f69/JRMS-16-968-g005.jpg
https://cdn.ncbi.nlm.nih.gov/pmc/blobs/b782/3263113/4662d33cc835/JRMS-16-968-g001.jpg
https://cdn.ncbi.nlm.nih.gov/pmc/blobs/b782/3263113/5f0bc56fe25c/JRMS-16-968-g002.jpg
https://cdn.ncbi.nlm.nih.gov/pmc/blobs/b782/3263113/c4e9a8f607c7/JRMS-16-968-g003.jpg
https://cdn.ncbi.nlm.nih.gov/pmc/blobs/b782/3263113/477b6304ae57/JRMS-16-968-g004.jpg
https://cdn.ncbi.nlm.nih.gov/pmc/blobs/b782/3263113/c8099ae17f69/JRMS-16-968-g005.jpg

相似文献

1
A case of intracranial malignant fibrous histiocytoma.一例颅内恶性纤维组织细胞瘤
J Res Med Sci. 2011 Jul;16(7):968-73.
2
Multifocal primary intracerebral malignant fibrous histiocytoma--case report.多灶性原发性脑内恶性纤维组织细胞瘤——病例报告
Neurol Med Chir (Tokyo). 2004 May;44(5):249-54. doi: 10.2176/nmc.44.249.
3
A rare case of primary malignant fibrous histiocytoma: a sarcoma of the kidney.罕见的原发性恶性纤维组织细胞瘤病例:一种肾脏肉瘤。
BMC Urol. 2019 Jun 4;19(1):45. doi: 10.1186/s12894-019-0471-7.
4
Primary cardiac malignant fibrous histiocytoma with abdominal wall metastasis.原发性心脏恶性纤维组织细胞瘤伴腹壁转移。
J Cardiol Cases. 2015 Jun 25;12(5):139-142. doi: 10.1016/j.jccase.2015.05.014. eCollection 2015 Nov.
5
Cerebellar malignant fibrous histiocytoma.
Indian J Pathol Microbiol. 2012 Jul-Sep;55(3):402-5. doi: 10.4103/0377-4929.101759.
6
Malignant fibrous histiocytoma: an uncommon sarcoma with pathological fracture of mandible.恶性纤维组织细胞瘤:一种罕见的肉瘤,伴有下颌骨病理性骨折。
J Maxillofac Oral Surg. 2015 Mar;14(Suppl 1):283-7. doi: 10.1007/s12663-013-0491-x. Epub 2013 Mar 27.
7
Primary malignant fibrous histiocytoma of spleen with spontaneous rupture: a case report and literature review.脾脏原发性恶性纤维组织细胞瘤自发性破裂:一例报告并文献复习。
Med Oncol. 2011 Mar;28(1):397-400. doi: 10.1007/s12032-010-9458-7. Epub 2010 Mar 31.
8
[Primary cardiac malignant fibrous histiocytoma in 47-year-old woman].47岁女性原发性心脏恶性纤维组织细胞瘤
Wiad Lek. 2005;58(5-6):345-9.
9
Primary malignant fibrous histiocytoma of the kidney: report of a case and literature review.原发性肾恶性纤维组织细胞瘤:一例报告及文献复习
Turk J Urol. 2013 Sep;39(3):194-7. doi: 10.5152/tud.2013.039.
10
[Malignant fibrous histiocytoma arising from the renal capsule: report of a case].起源于肾包膜的恶性纤维组织细胞瘤:一例报告
Hinyokika Kiyo. 1990 Jan;36(1):45-50.

引用本文的文献

1
Brain metastasis from a thoracic myxofibrosarcoma: A case report and literature review.胸段黏液纤维肉瘤脑转移:1例报告及文献复习
Surg Neurol Int. 2022 Nov 18;13:537. doi: 10.25259/SNI_717_2022. eCollection 2022.
2
Malignant fibrous histiocytoma/undifferentiated high-grade pleomorphic sarcoma of the maxillary sinus: report of a case and review of the literature.上颌窦恶性纤维组织细胞瘤/未分化高级多形性肉瘤:病例报告及文献复习。
Pathol Oncol Res. 2013 Oct;19(4):605-9. doi: 10.1007/s12253-013-9640-2. Epub 2013 Jun 29.

本文引用的文献

1
Brain metastasis of undifferentiated sarcoma and response to temozolomide treatment. Case report.未分化肉瘤脑转移及对替莫唑胺治疗的反应。病例报告。
Neurol Med Chir (Tokyo). 2010;50(8):689-93. doi: 10.2176/nmc.50.689.
2
MFH revisited: outcome after surgical treatment of undifferentiated pleomorphic or not otherwise specified (NOS) sarcomas of the extremities -- an analysis of 140 patients.恶性纤维组织细胞瘤再探讨:肢体未分化多形性或未另行指定(NOS)肉瘤手术治疗后的结果——140例患者分析
Langenbecks Arch Surg. 2009 Mar;394(2):313-20. doi: 10.1007/s00423-008-0368-5. Epub 2008 Jun 27.
3
Giant cell type of primary intracranial malignant fibrous histiocytoma: a case report.
原发性颅内恶性纤维组织细胞瘤巨细胞型:一例报告
Brain Tumor Pathol. 2006 Apr;23(1):65-70. doi: 10.1007/s10014-006-0200-2.
4
Multifocal primary intracerebral malignant fibrous histiocytoma--case report.多灶性原发性脑内恶性纤维组织细胞瘤——病例报告
Neurol Med Chir (Tokyo). 2004 May;44(5):249-54. doi: 10.2176/nmc.44.249.
5
Malignant fibrous histiocytoma presenting as an intraventricular mass five years after incidental detection of a mass lesion.
J Neurooncol. 2001 Apr;52(2):157-60. doi: 10.1023/a:1010685020995.
6
Intracranial meningeal malignant fibrous histiocytoma mimicking parasagittal meningioma--case report.酷似矢状窦旁脑膜瘤的颅内脑膜恶性纤维组织细胞瘤——病例报告
Neurol Med Chir (Tokyo). 2001 Feb;41(2):90-3. doi: 10.2176/nmc.41.90.
7
Thallium-201 SPECT of adjacent intracranial tumours: a contrast in thallium kinetics.相邻颅内肿瘤的铊-201单光子发射计算机断层扫描:铊动力学的对比
Neuroradiology. 1999 Sep;41(9):646-9. doi: 10.1007/s002340050817.
8
Primary meningeal malignant fibrous histiocytoma with cerebrospinal dissemination and pulmonary metastasis.原发性脑膜恶性纤维组织细胞瘤伴脑脊液播散及肺转移。
Acta Neurochir (Wien). 1998;140(11):1191-6. doi: 10.1007/s007010050236.
9
Radiation-induced intracranial malignant fibrous histiocytoma.辐射诱发的颅内恶性纤维组织细胞瘤。
Cancer. 1976 Jun;37(6):2960-3. doi: 10.1002/1097-0142(197606)37:6<2960::aid-cncr2820370653>3.0.co;2-2.