Suppr超能文献

磁共振成像和多排螺旋计算机断层扫描在扩张型心肌病诊断中的新作用。

The emerging role of magnetic resonance imaging and multidetector computed tomography in the diagnosis of dilated cardiomyopathy.

作者信息

Slavich Massimo, Florian Anca, Bogaert Jan

机构信息

Department of Radiology and Medical Imaging Research Center, UZ Leuven, Herestraat 49, 3000 Leuven, Belgium.

出版信息

Insights Imaging. 2011 Aug;2(4):453-469. doi: 10.1007/s13244-011-0101-8. Epub 2011 May 19.

Abstract

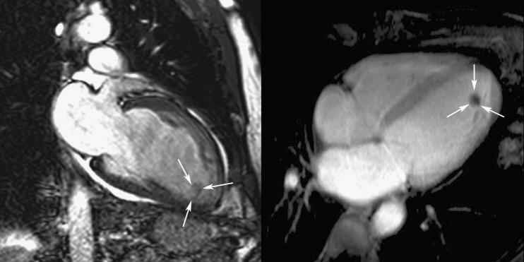
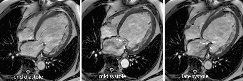
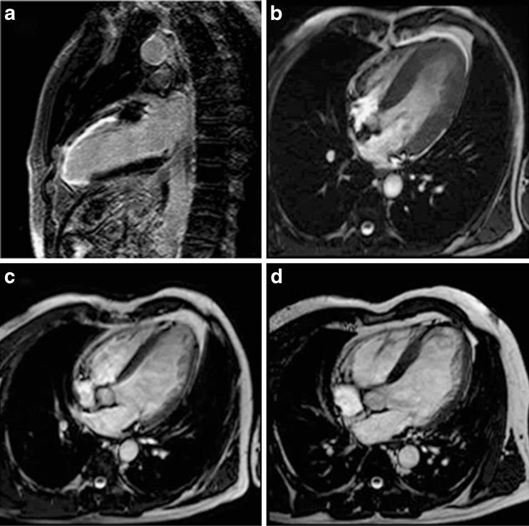
Magnetic resonance imaging and multidetector computed tomography are new imaging methods that have much to offer clinicians caring for patients with dilated cardiomyopathy. In this article we briefly describe the clinical, pathophysiological and histological aspects of dilated cardiomyopathy. Then we discuss in detail the use of both imaging methods for measurement of chamber size, global and regional function, for myocardial tissue characterisation, including myocardial viability assessment, and determination of arrhythmogenic substrate, and their emerging role in cardiac resynchronisation therapy. ELECTRONIC SUPPLEMENTARY MATERIAL: The online version of this article (doi:10.1007/s13244-011-0101-8) contains supplementary material, which is available to authorized users.

摘要

磁共振成像和多排螺旋计算机断层扫描是新的成像方法,可为照顾扩张型心肌病患者的临床医生提供很多帮助。在本文中,我们简要描述扩张型心肌病的临床、病理生理和组织学方面。然后我们详细讨论这两种成像方法在测量心腔大小、整体和局部功能、心肌组织特征(包括心肌存活评估)以及确定致心律失常基质方面的应用,以及它们在心脏再同步治疗中日益重要的作用。电子补充材料:本文的在线版本(doi:10.1007/s13244-011-0101-8)包含补充材料,授权用户可获取。

https://cdn.ncbi.nlm.nih.gov/pmc/blobs/c58e/3289007/139658841fe8/13244_2011_101_Fig1_HTML.jpg

文献检索

告别复杂PubMed语法,用中文像聊天一样搜索,搜遍4000万医学文献。AI智能推荐,让科研检索更轻松。

立即免费搜索

文件翻译

保留排版,准确专业,支持PDF/Word/PPT等文件格式,支持 12+语言互译。

免费翻译文档

深度研究

AI帮你快速写综述,25分钟生成高质量综述,智能提取关键信息,辅助科研写作。

立即免费体验