Suppr超能文献

左心室心尖部疾病。

Left ventricular apical diseases.

作者信息

Cisneros Silvia, Duarte Ricardo, Fernandez-Perez Gabriel C, Castellon Daniel, Calatayud Julia, Lecumberri Iñigo, Larrazabal Eneritz, Ruiz Berta Irene

出版信息

Insights Imaging. 2011 Aug;2(4):471-482. doi: 10.1007/s13244-011-0091-6. Epub 2011 Apr 18.

Abstract

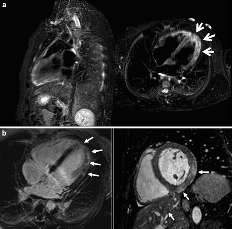
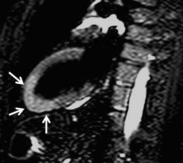
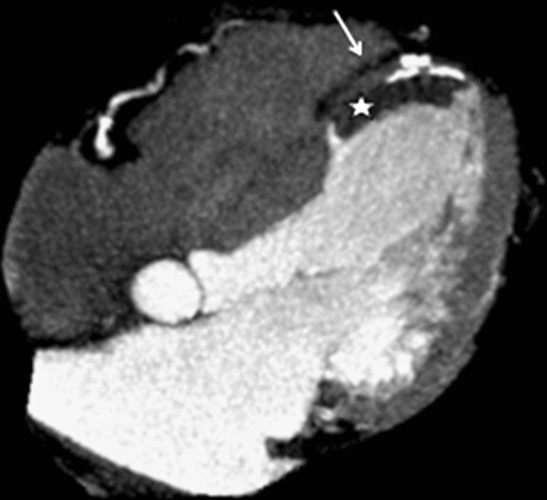
There are many disorders that may involve the left ventricular (LV) apex; however, they are sometimes difficult to differentiate. In this setting cardiac imaging methods can provide the clue to obtaining the diagnosis. The purpose of this review is to illustrate the spectrum of diseases that most frequently affect the apex of the LV including Tako-Tsubo cardiomyopathy, LV aneurysms and pseudoaneurysms, apical diverticula, apical ventricular remodelling, apical hypertrophic cardiomyopathy, LV non-compaction, arrhythmogenic right ventricular dysplasia with LV involvement and LV false tendons, with an emphasis on the diagnostic criteria and imaging features. ELECTRONIC SUPPLEMENTARY MATERIAL: The online version of this article (doi:10.1007/s13244-011-0091-6) contains supplementary material, which is available to authorized users.

摘要

有许多疾病可能累及左心室(LV)心尖;然而,它们有时难以鉴别。在此情况下,心脏成像方法可为获得诊断提供线索。本综述的目的是阐述最常影响左心室心尖的一系列疾病,包括应激性心肌病、左心室真性和假性室壁瘤、心尖憩室、心尖心室重塑、心尖肥厚型心肌病、左心室心肌致密化不全、累及左心室的致心律失常性右心室发育不良和左心室假腱索,重点在于诊断标准和成像特征。电子补充材料:本文的在线版本(doi:10.1007/s13244-011-0091-6)包含补充材料,授权用户可获取。

https://cdn.ncbi.nlm.nih.gov/pmc/blobs/72c6/3289013/c41cfc9763ee/13244_2011_91_Fig1_HTML.jpg

文献检索

告别复杂PubMed语法,用中文像聊天一样搜索,搜遍4000万医学文献。AI智能推荐,让科研检索更轻松。

立即免费搜索

文件翻译

保留排版,准确专业,支持PDF/Word/PPT等文件格式,支持 12+语言互译。

免费翻译文档

深度研究

AI帮你快速写综述,25分钟生成高质量综述,智能提取关键信息,辅助科研写作。

立即免费体验