Suppr超能文献

自我和世界评价的参数、心理、神经心理学和神经解剖学特性。

The parametric, psychological, neuropsychological, and neuroanatomical properties of self and world evaluation.

机构信息

Mental Health, VA San Diego Healthcare System, San Diego, California, United States of America.

出版信息

PLoS One. 2012;7(2):e31509. doi: 10.1371/journal.pone.0031509. Epub 2012 Feb 13.

Abstract

BACKGROUND

As an individual moves from adolescence to adulthood, they need to form a new sense of self as their environment changes from a limited to a more expansive structure. During this critical stage in development the last dramatic steps of neural development occur and numerous psychiatric conditions begin to manifest. Currently, there is no measure that aids in the quantification of how the individual is adapting to, and conceptualizing their role in, these new structures. To fill this gap we created the Self and World Evaluation Expressions Test(SWEET).

METHOD

Sixty-five young adults (20.6 years-old), 36 with a history of drug use, completed the SWEET. A factor analysis was performed on the SWEET and the resultant factors were correlated with psychological, neuropsychological, and neuroanatomical battery that included both T1-wieghted and diffusion tensor magnetic resonance imaging scans.

RESULTS

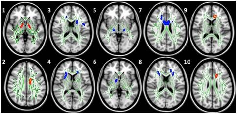
WE DERIVED FOUR FACTORS: Self, Social-Emotional, Financial-Intellectual, and Spirituality. While showing limited relationships to psychological and neuropsychological measures, both white matter integrity and gray matter density showed significant relationships with SWEET factors.

CONCLUSIONS

These findings suggest that while individual responses may not be indicative of psychological or cognitive processes they may relate to changes in brain structure. Several of these structures, such as the negative correlation of the affective impact of world with the dorsal anterior corpus callosum white matter integrity have been observed in psychiatric conditions (e.g., obsessive-compulsive disorder). Further longitudinal research using the SWEET may help understand the impact of dramatic shifts in self/world conceptualization and potentially link these shifts to underlying changes in brain structure.

摘要

背景

随着个体从青春期过渡到成年期,他们需要形成一种新的自我意识,因为他们的环境从有限的结构转变为更广阔的结构。在这个发展的关键阶段,神经发育的最后几个戏剧性步骤发生,许多精神疾病开始显现。目前,没有一种衡量标准可以帮助量化个体如何适应这些新结构,并对自己在这些结构中的角色进行概念化。为了填补这一空白,我们创建了自我和世界评估表达测试(SWEET)。

方法

65 名年轻成年人(20.6 岁),其中 36 人有吸毒史,完成了 SWEET。对 SWEET 进行了因子分析,并将得到的因子与心理、神经心理学和神经解剖学测试相关联,包括 T1 加权和弥散张量磁共振成像扫描。

结果

我们推导出了四个因素:自我、社会情感、财务智力和灵性。虽然与心理和神经心理学测量结果的相关性有限,但白质完整性和灰质密度都与 SWEET 因子有显著的相关性。

结论

这些发现表明,虽然个体的反应可能不能说明心理或认知过程,但它们可能与大脑结构的变化有关。这些结构中的几个,如世界对背部前连合白质完整性的情感影响的负相关,已经在精神疾病中观察到(例如,强迫症)。使用 SWEET 进行进一步的纵向研究可能有助于理解自我/世界概念化的巨大变化的影响,并可能将这些变化与大脑结构的潜在变化联系起来。

https://cdn.ncbi.nlm.nih.gov/pmc/blobs/4eb4/3278451/670d47a7dc1d/pone.0031509.g001.jpg

文献检索

告别复杂PubMed语法,用中文像聊天一样搜索,搜遍4000万医学文献。AI智能推荐,让科研检索更轻松。

立即免费搜索

文件翻译

保留排版,准确专业,支持PDF/Word/PPT等文件格式,支持 12+语言互译。

免费翻译文档

深度研究

AI帮你快速写综述,25分钟生成高质量综述,智能提取关键信息,辅助科研写作。

立即免费体验