• 文献检索
  • 文档翻译
  • 深度研究
  • 学术资讯
  • Suppr Zotero 插件Zotero 插件
  • 邀请有礼
  • 套餐&价格
  • 历史记录
应用&插件
Suppr Zotero 插件Zotero 插件浏览器插件Mac 客户端Windows 客户端微信小程序
定价
高级版会员购买积分包购买API积分包
服务
文献检索文档翻译深度研究API 文档MCP 服务
关于我们
关于 Suppr公司介绍联系我们用户协议隐私条款
关注我们

Suppr 超能文献

核心技术专利:CN118964589B侵权必究
粤ICP备2023148730 号-1Suppr @ 2026

文献检索

告别复杂PubMed语法,用中文像聊天一样搜索,搜遍4000万医学文献。AI智能推荐,让科研检索更轻松。

立即免费搜索

文件翻译

保留排版,准确专业,支持PDF/Word/PPT等文件格式,支持 12+语言互译。

免费翻译文档

深度研究

AI帮你快速写综述,25分钟生成高质量综述,智能提取关键信息,辅助科研写作。

立即免费体验

流感 A/HongKong/156/1997(H5N1)的 RNA 聚合酶 PB2 亚基限制了重配核糖核蛋白复合物的复制[已更正]。

The RNA polymerase PB2 subunit of influenza A/HongKong/156/1997 (H5N1) restricts the replication of reassortant ribonucleoprotein complexes [corrected].

机构信息

Division of Infectious Diseases, Department of Infectious Medicine, Kurume University School of Medicine, Fukuoka, Japan.

出版信息

PLoS One. 2012;7(2):e32634. doi: 10.1371/journal.pone.0032634. Epub 2012 Feb 28.

DOI:10.1371/journal.pone.0032634
PMID:22389716
原文链接:https://pmc.ncbi.nlm.nih.gov/articles/PMC3289661/
Abstract

BACKGROUND

Genetic reassortment plays a critical role in the generation of pandemic strains of influenza virus. The influenza virus RNA polymerase, composed of PB1, PB2 and PA subunits, has been suggested to influence the efficiency of genetic reassortment. However, the role of the RNA polymerase in the genetic reassortment is not well understood.

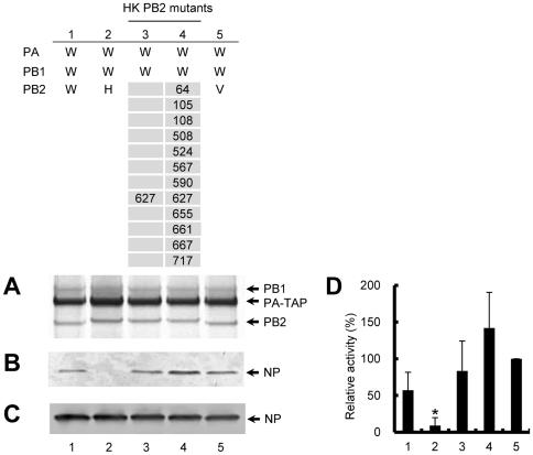
METHODOLOGY/PRINCIPAL FINDINGS: Here, we reconstituted reassortant ribonucleoprotein (RNP) complexes, and demonstrated that the PB2 subunit of A/HongKong/156/1997 (H5N1) [HK PB2] dramatically reduced the synthesis of mRNA, cRNA and vRNA when introduced into the polymerase of other influenza strains of H1N1 or H3N2. The HK PB2 had no significant effect on the assembly of the polymerase trimeric complex, or on promoter binding activity or replication initiation activity in vitro. However, the HK PB2 was found to remarkably impair the accumulation of RNP. This impaired accumulation and activity of RNP was fully restored when four amino acids at position 108, 508, 524 and 627 of the HK PB2 were mutated.

CONCLUSIONS/SIGNIFICANCE: Overall, we suggest that the PB2 subunit of influenza polymerase might play an important role for the replication of reassortant ribonucleoprotein complexes.

摘要

背景

基因重配在流感病毒大流行株的产生中起着关键作用。流感病毒 RNA 聚合酶由 PB1、PB2 和 PA 亚基组成,有人认为它会影响基因重配的效率。然而,RNA 聚合酶在基因重配中的作用还不是很清楚。

方法/主要发现:在这里,我们重建了重配核糖核蛋白(RNP)复合物,并证明当引入其他 H1N1 或 H3N2 流感株的聚合酶时,A/HongKong/156/1997(H5N1)[HK PB2]的 PB2 亚基会显著降低 mRNA、cRNA 和 vRNA 的合成。HK PB2 对聚合酶三聚体复合物的组装、启动子结合活性或体外复制起始活性没有显著影响。然而,我们发现 HK PB2 会显著损害 RNP 的积累。当 HK PB2 的位置 108、508、524 和 627 处的四个氨基酸发生突变时,这种受损的 RNP 积累和活性可以完全恢复。

结论/意义:总的来说,我们认为流感聚合酶的 PB2 亚基可能在重配核糖核蛋白复合物的复制中发挥重要作用。

https://cdn.ncbi.nlm.nih.gov/pmc/blobs/c5c3/3289661/9d3977c76f2e/pone.0032634.g006.jpg
https://cdn.ncbi.nlm.nih.gov/pmc/blobs/c5c3/3289661/333914e2d677/pone.0032634.g001.jpg
https://cdn.ncbi.nlm.nih.gov/pmc/blobs/c5c3/3289661/d166c6e428e4/pone.0032634.g002.jpg
https://cdn.ncbi.nlm.nih.gov/pmc/blobs/c5c3/3289661/88d450493233/pone.0032634.g003.jpg
https://cdn.ncbi.nlm.nih.gov/pmc/blobs/c5c3/3289661/2356f805755a/pone.0032634.g004.jpg
https://cdn.ncbi.nlm.nih.gov/pmc/blobs/c5c3/3289661/c1f019d76a67/pone.0032634.g005.jpg
https://cdn.ncbi.nlm.nih.gov/pmc/blobs/c5c3/3289661/9d3977c76f2e/pone.0032634.g006.jpg
https://cdn.ncbi.nlm.nih.gov/pmc/blobs/c5c3/3289661/333914e2d677/pone.0032634.g001.jpg
https://cdn.ncbi.nlm.nih.gov/pmc/blobs/c5c3/3289661/d166c6e428e4/pone.0032634.g002.jpg
https://cdn.ncbi.nlm.nih.gov/pmc/blobs/c5c3/3289661/88d450493233/pone.0032634.g003.jpg
https://cdn.ncbi.nlm.nih.gov/pmc/blobs/c5c3/3289661/2356f805755a/pone.0032634.g004.jpg
https://cdn.ncbi.nlm.nih.gov/pmc/blobs/c5c3/3289661/c1f019d76a67/pone.0032634.g005.jpg
https://cdn.ncbi.nlm.nih.gov/pmc/blobs/c5c3/3289661/9d3977c76f2e/pone.0032634.g006.jpg

相似文献

1
The RNA polymerase PB2 subunit of influenza A/HongKong/156/1997 (H5N1) restricts the replication of reassortant ribonucleoprotein complexes [corrected].流感 A/HongKong/156/1997(H5N1)的 RNA 聚合酶 PB2 亚基限制了重配核糖核蛋白复合物的复制[已更正]。
PLoS One. 2012;7(2):e32634. doi: 10.1371/journal.pone.0032634. Epub 2012 Feb 28.
2
Co-incorporation of the PB2 and PA polymerase subunits from human H3N2 influenza virus is a critical determinant of the replication of reassortant ribonucleoprotein complexes.人源 H3N2 流感病毒 PB2 和 PA 聚合酶亚基的共整合是重配核糖核蛋白复合物复制的关键决定因素。
J Gen Virol. 2013 Nov;94(Pt 11):2406-2416. doi: 10.1099/vir.0.053959-0. Epub 2013 Aug 12.
3
Replication and transcription activities of ribonucleoprotein complexes reconstituted from avian H5N1, H1N1pdm09 and H3N2 influenza A viruses.由禽流感H5N1、甲型H1N1pdm09和H3N2流感病毒重组的核糖核蛋白复合物的复制和转录活性。
PLoS One. 2013 Jun 4;8(6):e65038. doi: 10.1371/journal.pone.0065038. Print 2013.
4
The N-terminal region of the PA subunit of the RNA polymerase of influenza A/HongKong/156/97 (H5N1) influences promoter binding.甲型流感病毒/香港/156/97(H5N1)RNA聚合酶PA亚基的N端区域影响启动子结合。
PLoS One. 2009;4(5):e5473. doi: 10.1371/journal.pone.0005473. Epub 2009 May 7.
5
The PB2 I714S mutation influenced mammalian adaptation of the H3N2 canine influenza virus by interfering with nuclear import efficiency and RNP complex assembly.该 PB2 I714S 突变通过干扰核输入效率和 RNP 复合物组装来影响 H3N2 犬流感病毒的哺乳动物适应性。
Emerg Microbes Infect. 2024 Dec;13(1):2387439. doi: 10.1080/22221751.2024.2387439. Epub 2024 Aug 14.
6
The N-terminal fragment of a PB2 subunit from the influenza A virus (A/Hong Kong/156/1997 H5N1) effectively inhibits RNP activity and viral replication.来自甲型流感病毒(A/香港/156/1997 H5N1)的PB2亚基的N端片段可有效抑制核糖核蛋白(RNP)活性和病毒复制。
PLoS One. 2014 Dec 2;9(12):e114502. doi: 10.1371/journal.pone.0114502. eCollection 2014.
7
Virulence and genetic compatibility of polymerase reassortant viruses derived from the pandemic (H1N1) 2009 influenza virus and circulating influenza A viruses.源自大流行(H1N1)2009 流感病毒和流行的甲型流感病毒的聚合酶重配病毒的毒力和遗传相容性。
J Virol. 2011 Jul;85(13):6275-86. doi: 10.1128/JVI.02125-10. Epub 2011 Apr 20.
8
Reassortment between avian H5N1 and human H3N2 influenza viruses creates hybrid viruses with substantial virulence.禽流感 H5N1 与人类 H3N2 流感病毒之间的重配产生了具有相当毒力的杂交病毒。
Proc Natl Acad Sci U S A. 2010 Mar 9;107(10):4687-92. doi: 10.1073/pnas.0912807107. Epub 2010 Feb 22.
9
Reassortment between seasonal H1N1 and pandemic (H1N1) 2009 influenza viruses is restricted by limited compatibility among polymerase subunits.季节性 H1N1 和大流行(H1N1)2009 流感病毒之间的重配受到聚合酶亚基之间有限兼容性的限制。
J Virol. 2011 Aug;85(16):8449-52. doi: 10.1128/JVI.05054-11. Epub 2011 Jun 15.
10
Artificial hybrids of influenza A virus RNA polymerase reveal PA subunit modulates its thermal sensitivity.流感 A 病毒 RNA 聚合酶的人工杂种揭示 PA 亚基调节其热敏感性。
PLoS One. 2010 Dec 7;5(12):e15140. doi: 10.1371/journal.pone.0015140.

引用本文的文献

1
Gene Segment Interactions Can Drive the Emergence of Dominant Yet Suboptimal Gene Constellations During Influenza Virus Reassortment.基因片段相互作用可在流感病毒重配过程中推动优势但次优基因组合的出现。
Front Microbiol. 2021 Jul 14;12:683152. doi: 10.3389/fmicb.2021.683152. eCollection 2021.
2
Comparative influenza protein interactomes identify the role of plakophilin 2 in virus restriction.比较流感蛋白互作组鉴定桥粒斑蛋白 2 在病毒限制中的作用。
Nat Commun. 2017 Feb 7;8:13876. doi: 10.1038/ncomms13876.
3
The N-terminal fragment of a PB2 subunit from the influenza A virus (A/Hong Kong/156/1997 H5N1) effectively inhibits RNP activity and viral replication.

本文引用的文献

1
Reassortment between seasonal H1N1 and pandemic (H1N1) 2009 influenza viruses is restricted by limited compatibility among polymerase subunits.季节性 H1N1 和大流行(H1N1)2009 流感病毒之间的重配受到聚合酶亚基之间有限兼容性的限制。
J Virol. 2011 Aug;85(16):8449-52. doi: 10.1128/JVI.05054-11. Epub 2011 Jun 15.
2
The influenza virus RNA synthesis machine: advances in its structure and function.流感病毒 RNA 合成机器:结构与功能的新进展。
RNA Biol. 2011 Mar-Apr;8(2):207-15. doi: 10.4161/rna.8.2.14513. Epub 2011 Mar 1.
3
Artificial hybrids of influenza A virus RNA polymerase reveal PA subunit modulates its thermal sensitivity.
来自甲型流感病毒(A/香港/156/1997 H5N1)的PB2亚基的N端片段可有效抑制核糖核蛋白(RNP)活性和病毒复制。
PLoS One. 2014 Dec 2;9(12):e114502. doi: 10.1371/journal.pone.0114502. eCollection 2014.
4
Replication and transcription activities of ribonucleoprotein complexes reconstituted from avian H5N1, H1N1pdm09 and H3N2 influenza A viruses.由禽流感H5N1、甲型H1N1pdm09和H3N2流感病毒重组的核糖核蛋白复合物的复制和转录活性。
PLoS One. 2013 Jun 4;8(6):e65038. doi: 10.1371/journal.pone.0065038. Print 2013.
5
Adaptation of avian influenza A virus polymerase in mammals to overcome the host species barrier.哺乳动物中流感病毒聚合酶的适应性进化以克服宿主种间屏障。
J Virol. 2013 Jul;87(13):7200-9. doi: 10.1128/JVI.00980-13. Epub 2013 Apr 24.
6
Structural and functional characterization of K339T substitution identified in the PB2 subunit cap-binding pocket of influenza A virus.鉴定流感 A 病毒 PB2 亚单位帽结合口袋中 K339T 取代的结构和功能特征。
J Biol Chem. 2013 Apr 19;288(16):11013-23. doi: 10.1074/jbc.M112.392878. Epub 2013 Feb 22.
流感 A 病毒 RNA 聚合酶的人工杂种揭示 PA 亚基调节其热敏感性。
PLoS One. 2010 Dec 7;5(12):e15140. doi: 10.1371/journal.pone.0015140.
4
Association of the influenza virus RNA polymerase subunit PB2 with the host chaperonin CCT.流感病毒 RNA 聚合酶亚基 PB2 与宿主伴侣蛋白 CCT 的关联。
J Virol. 2010 Sep;84(17):8691-9. doi: 10.1128/JVI.00813-10. Epub 2010 Jun 23.
5
Correlation between polymerase activity and pathogenicity in two duck H5N1 influenza viruses suggests that the polymerase contributes to pathogenicity.两种鸭源 H5N1 流感病毒聚合酶活性与致病性的相关性表明聚合酶有助于致病性。
Virology. 2010 May 25;401(1):96-106. doi: 10.1016/j.virol.2010.01.036. Epub 2010 Mar 7.
6
Reassortment between avian H5N1 and human H3N2 influenza viruses creates hybrid viruses with substantial virulence.禽流感 H5N1 与人类 H3N2 流感病毒之间的重配产生了具有相当毒力的杂交病毒。
Proc Natl Acad Sci U S A. 2010 Mar 9;107(10):4687-92. doi: 10.1073/pnas.0912807107. Epub 2010 Feb 22.
7
Adaptive strategies of the influenza virus polymerase for replication in humans.流感病毒聚合酶在人体中复制的适应策略。
Proc Natl Acad Sci U S A. 2009 Dec 15;106(50):21312-6. doi: 10.1073/pnas.0911915106. Epub 2009 Dec 7.
8
In vitro and in vivo characterization of new swine-origin H1N1 influenza viruses.新型猪源H1N1流感病毒的体外和体内特性研究
Nature. 2009 Aug 20;460(7258):1021-5. doi: 10.1038/nature08260.
9
Emergence of a novel swine-origin influenza A virus (S-OIV) H1N1 virus in humans.一种新型猪源甲型H1N1流感病毒(S-OIV)在人类中的出现。
J Clin Virol. 2009 Jul;45(3):169-73. doi: 10.1016/j.jcv.2009.06.006. Epub 2009 Jun 11.
10
Full factorial analysis of mammalian and avian influenza polymerase subunits suggests a role of an efficient polymerase for virus adaptation.哺乳动物和禽流感病毒聚合酶亚基的全因子分析表明高效聚合酶在病毒适应性方面发挥作用。
PLoS One. 2009 May 21;4(5):e5658. doi: 10.1371/journal.pone.0005658.