Suppr超能文献

Detection of asymptomatic cardiac metastasis and successful salvage chemotherapy comprising a prednisone, Etoposide, procarbazine, and cyclophosphamide regimen in an elderly Japanese patient suffering from a delayed recurrence of diffuse large B-cell lymphoma.

作者信息

Tagami Keita, Tanda Shigeru, Kato Hiroshi, Tashiro Atsushi, Saji Kenya, Komaru Tatsuya, Tanida Muneo, Nakura Hiroshi, Ishizawa Kenichi

机构信息

Department of Medical Oncology, Tohoku University Hospital, Sendai, Japan.

出版信息

Case Rep Oncol. 2012 Jan;5(1):62-8. doi: 10.1159/000336447. Epub 2012 Jan 28.

Abstract

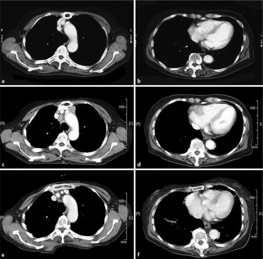
We report a case of facial diffuse large B-cell lymphoma (DLBCL) associated with recurrent metastasis in the heart and other sites in a 76-year-old Japanese woman. Initially, she developed DLBCL in her left upper eyelid that spread into the left orbit (Ann Arbor classification stage I). The lesion went into clinical regression after 4 cycles of rituximab plus cyclophosphamide, doxorubicin, vincristine, and prednisone chemotherapy followed by radiotherapy. More than 3 years later, the lymphoma recurred in her facial skin, together with metastases in the mediastinal lymph nodes and the heart; the tumor in the heart was successfully detected by PET/CT and cardiac MRI. To treat the recurrent lesions, we performed a salvage chemotherapy regimen comprising prednisone, etoposide, procarbazine, and cyclophosphamide, which successfully induced tumor regression.

摘要
https://cdn.ncbi.nlm.nih.gov/pmc/blobs/9983/3304513/9df9879c8fd1/cro-0005-0062-g01.jpg

文献AI研究员

20分钟写一篇综述,助力文献阅读效率提升50倍。

立即体验

用中文搜PubMed

大模型驱动的PubMed中文搜索引擎

马上搜索

文档翻译

学术文献翻译模型,支持多种主流文档格式。

立即体验