• 文献检索
  • 文档翻译
  • 深度研究
  • 学术资讯
  • Suppr Zotero 插件Zotero 插件
  • 邀请有礼
  • 套餐&价格
  • 历史记录
应用&插件
Suppr Zotero 插件Zotero 插件浏览器插件Mac 客户端Windows 客户端微信小程序
定价
高级版会员购买积分包购买API积分包
服务
文献检索文档翻译深度研究API 文档MCP 服务
关于我们
关于 Suppr公司介绍联系我们用户协议隐私条款
关注我们

Suppr 超能文献

核心技术专利:CN118964589B侵权必究
粤ICP备2023148730 号-1Suppr @ 2026

文献检索

告别复杂PubMed语法,用中文像聊天一样搜索,搜遍4000万医学文献。AI智能推荐,让科研检索更轻松。

立即免费搜索

文件翻译

保留排版,准确专业,支持PDF/Word/PPT等文件格式,支持 12+语言互译。

免费翻译文档

深度研究

AI帮你快速写综述,25分钟生成高质量综述,智能提取关键信息,辅助科研写作。

立即免费体验

乙肝病毒反式激活因子X蛋白在转基因小鼠中不具有致瘤性。

Hepatitis B virus transactivator X protein is not tumorigenic in transgenic mice.

作者信息

Lee T H, Finegold M J, Shen R F, DeMayo J L, Woo S L, Butel J S

机构信息

Division of Molecular Virology, Baylor College of Medicine, Houston, Texas 77030.

出版信息

J Virol. 1990 Dec;64(12):5939-47. doi: 10.1128/JVI.64.12.5939-5947.1990.

DOI:10.1128/JVI.64.12.5939-5947.1990
PMID:2243380
原文链接:https://pmc.ncbi.nlm.nih.gov/articles/PMC248767/
Abstract

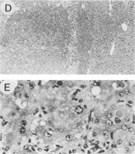
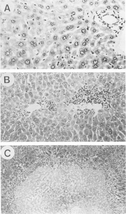
The hepatitis B virus X protein acts as a transcriptional transactivator in vitro. To elucidate possible biological effects of X protein on liver cells in vivo, we generated four lines of transgenic mice carrying the X gene open reading frame under the control of the human alpha-1-antitrypsin regulatory region. The plasmid construct used to introduce the transgene was shown to encode a 16-kDa X protein with transactivating capability. The expression of X protein was detectable in liver tissue of transgenic animals of three of the lines by immunoblot analysis; levels of expression were highest in the first month after birth of the animals. Over 80 animals from the expressing lines were examined histologically. Most transgenic mice, some of which were observed for up to 2 years, remained normal. However, a few transgenic animals developed mild focal hepatitis, nuclear pleomorphism, focal necrosis, and/or nodular hyperplasia in the liver. Increased mitotic activity of hepatocytes also was observed. We conclude that, at the level of expression achieved in these transgenic mice, the hepatitis B virus transcriptional transactivator X protein alone does not appear to mediate the development of serious liver damage or hepatocellular carcinomas.

摘要

乙肝病毒X蛋白在体外可作为转录反式激活因子。为阐明X蛋白在体内对肝细胞可能产生的生物学效应,我们构建了四系转基因小鼠,这些小鼠携带在人α-1-抗胰蛋白酶调控区控制下的X基因开放阅读框。用于导入转基因的质粒构建体显示可编码具有反式激活能力的16 kDa X蛋白。通过免疫印迹分析在三系转基因动物的肝脏组织中可检测到X蛋白的表达;在动物出生后的第一个月表达水平最高。对来自表达系的80多只动物进行了组织学检查。大多数转基因小鼠,其中一些观察了长达2年,仍保持正常。然而,少数转基因动物出现了轻度局灶性肝炎、核多形性、局灶性坏死和/或肝脏结节性增生。还观察到肝细胞有丝分裂活性增加。我们得出结论,在这些转基因小鼠所达到的表达水平上,单独的乙肝病毒转录反式激活因子X蛋白似乎并未介导严重肝损伤或肝细胞癌的发生。

https://cdn.ncbi.nlm.nih.gov/pmc/blobs/0654/248767/c413dfef3bb3/jvirol00067-0263-a.jpg
https://cdn.ncbi.nlm.nih.gov/pmc/blobs/0654/248767/a7f072c18a98/jvirol00067-0260-a.jpg
https://cdn.ncbi.nlm.nih.gov/pmc/blobs/0654/248767/70ca0360dd7c/jvirol00067-0260-b.jpg
https://cdn.ncbi.nlm.nih.gov/pmc/blobs/0654/248767/99057630584f/jvirol00067-0261-a.jpg
https://cdn.ncbi.nlm.nih.gov/pmc/blobs/0654/248767/2e9dd8e53f30/jvirol00067-0262-a.jpg
https://cdn.ncbi.nlm.nih.gov/pmc/blobs/0654/248767/c413dfef3bb3/jvirol00067-0263-a.jpg
https://cdn.ncbi.nlm.nih.gov/pmc/blobs/0654/248767/a7f072c18a98/jvirol00067-0260-a.jpg
https://cdn.ncbi.nlm.nih.gov/pmc/blobs/0654/248767/70ca0360dd7c/jvirol00067-0260-b.jpg
https://cdn.ncbi.nlm.nih.gov/pmc/blobs/0654/248767/99057630584f/jvirol00067-0261-a.jpg
https://cdn.ncbi.nlm.nih.gov/pmc/blobs/0654/248767/2e9dd8e53f30/jvirol00067-0262-a.jpg
https://cdn.ncbi.nlm.nih.gov/pmc/blobs/0654/248767/c413dfef3bb3/jvirol00067-0263-a.jpg

相似文献

1
Hepatitis B virus transactivator X protein is not tumorigenic in transgenic mice.乙肝病毒反式激活因子X蛋白在转基因小鼠中不具有致瘤性。
J Virol. 1990 Dec;64(12):5939-47. doi: 10.1128/JVI.64.12.5939-5947.1990.
2
Incidence of hepatocellular carcinoma in transgenic mice expressing the hepatitis B virus X-protein.表达乙型肝炎病毒X蛋白的转基因小鼠中肝细胞癌的发生率。
J Hepatol. 1999 Jul;31(1):123-32. doi: 10.1016/s0168-8278(99)80172-x.
3
The hepatitis B virus X protein transactivates viral core gene expression in vivo.乙肝病毒X蛋白在体内反式激活病毒核心基因的表达。
J Virol. 1999 Dec;73(12):10399-405. doi: 10.1128/JVI.73.12.10399-10405.1999.
4
Hepatitis B virus X gene product acts as a transactivator in vivo.乙型肝炎病毒X基因产物在体内作为反式激活因子起作用。
J Hepatol. 1994 Jul;21(1):103-9. doi: 10.1016/s0168-8278(94)80144-4.
5
Expression of hepatitis B virus X protein in transgenic mice.乙型肝炎病毒X蛋白在转基因小鼠中的表达。
World J Gastroenterol. 2003 Jan;9(1):112-6. doi: 10.3748/wjg.v9.i1.112.
6
HBx gene of hepatitis B virus induces liver cancer in transgenic mice.
Nature. 1991 May 23;351(6324):317-20. doi: 10.1038/351317a0.
7
Hepatitis B virus X protein induced expression of interleukin 18 (IL-18): a potential mechanism for liver injury caused by hepatitis B virus (HBV) infection.乙型肝炎病毒X蛋白诱导白细胞介素18(IL-18)表达:乙型肝炎病毒(HBV)感染导致肝损伤的潜在机制。
J Hepatol. 2002 Sep;37(3):380-6. doi: 10.1016/s0168-8278(02)00181-2.
8
A trans-activator function is generated by integration of hepatitis B virus preS/S sequences in human hepatocellular carcinoma DNA.
Proc Natl Acad Sci U S A. 1990 Apr;87(8):2970-4. doi: 10.1073/pnas.87.8.2970.
9
In vitro tumorigenicity of hepatitis B virus DNA and HBx protein.
J Hepatol. 1991;13 Suppl 4:S61-5. doi: 10.1016/0168-8278(91)90026-8.
10
Expression of hepatitis B virus X protein does not alter the accumulation of spontaneous mutations in transgenic mice.乙型肝炎病毒X蛋白的表达不会改变转基因小鼠中自发突变的积累。
J Virol. 2000 Jun;74(11):5266-72. doi: 10.1128/jvi.74.11.5266-5272.2000.

引用本文的文献

1
Hepatitis B Viral Protein HBx: Roles in Viral Replication and Hepatocarcinogenesis.乙型肝炎病毒 X 蛋白(HBx):在病毒复制和肝癌发生中的作用。
Viruses. 2024 Aug 26;16(9):1361. doi: 10.3390/v16091361.
2
Transcriptomic identification of HBx-associated hub genes in hepatocellular carcinoma.肝细胞癌中与HBx相关的枢纽基因的转录组学鉴定
PeerJ. 2021 Dec 22;9:e12697. doi: 10.7717/peerj.12697. eCollection 2021.
3
Mouse Models for Hepatitis B Virus Infection and Their Application.乙型肝炎病毒感染的小鼠模型及其应用。

本文引用的文献

1
Recombinant genomes which express chloramphenicol acetyltransferase in mammalian cells.在哺乳动物细胞中表达氯霉素乙酰转移酶的重组基因组。
Mol Cell Biol. 1982 Sep;2(9):1044-51. doi: 10.1128/mcb.2.9.1044-1051.1982.
2
Transgenic mice harboring SV40 T-antigen genes develop characteristic brain tumors.携带SV40 T抗原基因的转基因小鼠会患上特征性脑肿瘤。
Cell. 1984 Jun;37(2):367-79. doi: 10.1016/0092-8674(84)90367-2.
3
Expression of mammary tumor virus proteins in preneoplastic outgrowth lines and mammary tumors of BALB/cV mice.乳腺肿瘤病毒蛋白在BALB/cV小鼠的肿瘤前生长系和乳腺肿瘤中的表达。
Front Immunol. 2021 Oct 29;12:766534. doi: 10.3389/fimmu.2021.766534. eCollection 2021.
4
Molecular Mechanisms and Animal Models of HBV-Related Hepatocellular Carcinoma: With Emphasis on Metastatic Tumor Antigen 1.HBV 相关肝细胞癌的分子机制和动物模型:重点是转移肿瘤抗原 1。
Int J Mol Sci. 2021 Aug 29;22(17):9380. doi: 10.3390/ijms22179380.
5
Animal Models for the Study of Hepatitis B Virus Pathobiology and Immunity: Past, Present, and Future.用于研究乙型肝炎病毒病理生物学和免疫的动物模型:过去、现在与未来
Front Microbiol. 2021 Jul 16;12:715450. doi: 10.3389/fmicb.2021.715450. eCollection 2021.
6
Hepatitis B Virus DNA Integration and Clonal Expansion of Hepatocytes in the Chronically Infected Liver.乙型肝炎病毒 DNA 整合与慢性感染肝脏中肝细胞的克隆扩增。
Viruses. 2021 Jan 30;13(2):210. doi: 10.3390/v13020210.
7
Advances in Transgenic Mouse Models to Study Infections by Human Pathogenic Viruses.转基因小鼠模型在研究人类致病病毒感染中的进展。
Int J Mol Sci. 2020 Dec 5;21(23):9289. doi: 10.3390/ijms21239289.
8
Relevance of reactive oxygen species in liver disease observed in transgenic mice expressing the hepatitis B virus X protein.在表达乙型肝炎病毒X蛋白的转基因小鼠中观察到的活性氧在肝脏疾病中的相关性。
Lab Anim Res. 2020 Feb 26;36:6. doi: 10.1186/s42826-020-00037-1. eCollection 2020.
9
In Vivo Model Systems for Hepatitis B Virus Research.用于乙型肝炎病毒研究的体内模型系统
ACS Infect Dis. 2019 May 10;5(5):688-702. doi: 10.1021/acsinfecdis.8b00223. Epub 2019 Jan 8.
10
A critical role of hepatitis B virus polymerase in cirrhosis, hepatocellular carcinoma, and steatosis.乙型肝炎病毒聚合酶在肝硬化、肝细胞癌和脂肪变性中的关键作用。
FEBS Open Bio. 2017 Dec 19;8(1):130-145. doi: 10.1002/2211-5463.12357. eCollection 2018 Jan.
Cancer Res. 1984 May;44(5):2155-62.
4
Ground squirrel hepatitis virus DNA: molecular cloning and comparison with hepatitis B virus DNA.地松鼠肝炎病毒DNA:分子克隆及与乙型肝炎病毒DNA的比较
J Virol. 1981 Apr;38(1):393-7. doi: 10.1128/JVI.38.1.393-397.1981.
5
The HBV HBX gene expressed in E. coli is recognised by sera from hepatitis patients.在大肠杆菌中表达的乙肝病毒X基因可被肝炎患者的血清识别。
EMBO J. 1985 May;4(5):1287-92. doi: 10.1002/j.1460-2075.1985.tb03774.x.
6
Specific expression of hepatitis B surface antigen (HBsAg) in transgenic mice.乙型肝炎表面抗原(HBsAg)在转基因小鼠中的特异性表达。
Science. 1985 Dec 6;230(4730):1160-3. doi: 10.1126/science.3865370.
7
A transgenic mouse model of the chronic hepatitis B surface antigen carrier state.
Science. 1985 Dec 6;230(4730):1157-60. doi: 10.1126/science.3865369.
8
Hepatitis B virus polypeptide X: expression in Escherichia coli and identification of specific antibodies in sera from hepatitis B virus-infected humans.乙型肝炎病毒多肽X:在大肠杆菌中的表达及乙肝病毒感染人类血清中特异性抗体的鉴定
J Virol. 1986 Jan;57(1):101-9. doi: 10.1128/JVI.57.1.101-109.1986.
9
Expression of the hepatitis B virus X gene in mammalian cells.乙型肝炎病毒X基因在哺乳动物细胞中的表达。
Proc Natl Acad Sci U S A. 1987 Apr;84(8):2513-7. doi: 10.1073/pnas.84.8.2513.
10
Structural and pathological effects of synthesis of hepatitis B virus large envelope polypeptide in transgenic mice.转基因小鼠中乙型肝炎病毒大包膜多肽合成的结构和病理效应
Proc Natl Acad Sci U S A. 1987 Oct;84(19):6909-13. doi: 10.1073/pnas.84.19.6909.