Suppr超能文献

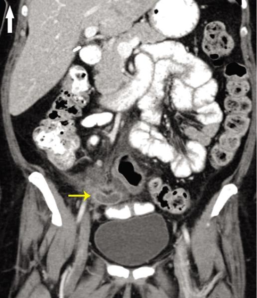
Acute appendicitis from metastatic small cell lung cancer.

作者信息

Sundararajan Radhika, Landman Adam B

机构信息

Brigham and Women's Hospital, Department of Emergency Medicine, Boston, Massachusetts.

出版信息

West J Emerg Med. 2012 Feb;13(1):94-5. doi: 10.5811/westjem.2011.6.6826.

Abstract
摘要
https://cdn.ncbi.nlm.nih.gov/pmc/blobs/e8fe/3298197/c45ae31e7982/wjem-13-01-33w-f01.jpg

文献AI研究员

20分钟写一篇综述,助力文献阅读效率提升50倍。

立即体验

用中文搜PubMed

大模型驱动的PubMed中文搜索引擎

马上搜索

文档翻译

学术文献翻译模型,支持多种主流文档格式。

立即体验