• 文献检索
  • 文档翻译
  • 深度研究
  • 学术资讯
  • Suppr Zotero 插件Zotero 插件
  • 邀请有礼
  • 套餐&价格
  • 历史记录
应用&插件
Suppr Zotero 插件Zotero 插件浏览器插件Mac 客户端Windows 客户端微信小程序
定价
高级版会员购买积分包购买API积分包
服务
文献检索文档翻译深度研究API 文档MCP 服务
关于我们
关于 Suppr公司介绍联系我们用户协议隐私条款
关注我们

Suppr 超能文献

核心技术专利:CN118964589B侵权必究
粤ICP备2023148730 号-1Suppr @ 2026

文献检索

告别复杂PubMed语法,用中文像聊天一样搜索,搜遍4000万医学文献。AI智能推荐,让科研检索更轻松。

立即免费搜索

文件翻译

保留排版,准确专业,支持PDF/Word/PPT等文件格式,支持 12+语言互译。

免费翻译文档

深度研究

AI帮你快速写综述,25分钟生成高质量综述,智能提取关键信息,辅助科研写作。

立即免费体验

冠状动脉内膜新生血管形成(DIT)是冠状动脉粥样硬化的病因。脂蛋白通过来自外膜血管滋养管的新生血管形成侵入冠状动脉内膜,而非从动脉腔侵入:一种假说。

Neovascularization of coronary tunica intima (DIT) is the cause of coronary atherosclerosis. Lipoproteins invade coronary intima via neovascularization from adventitial vasa vasorum, but not from the arterial lumen: a hypothesis.

作者信息

Subbotin Vladimir M

出版信息

Theor Biol Med Model. 2012 Apr 10;9:11. doi: 10.1186/1742-4682-9-11.

DOI:10.1186/1742-4682-9-11
PMID:22490844
原文链接:https://pmc.ncbi.nlm.nih.gov/articles/PMC3492120/
Abstract

BACKGROUND

An accepted hypothesis states that coronary atherosclerosis (CA) is initiated by endothelial dysfunction due to inflammation and high levels of LDL-C, followed by deposition of lipids and macrophages from the luminal blood into the arterial intima, resulting in plaque formation. The success of statins in preventing CA promised much for extended protection and effective therapeutics. However, stalled progress in pharmaceutical treatment gives a good reason to review logical properties of the hypothesis underlining our efforts, and to reconsider whether our perception of CA is consistent with facts about the normal and diseased coronary artery.

ANALYSIS

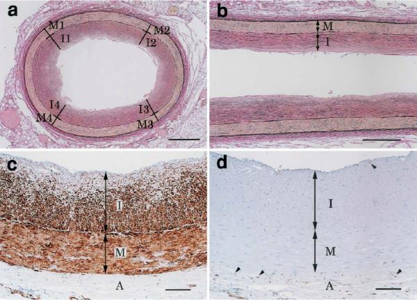
To begin with, it must be noted that the normal coronary intima is not a single-layer endothelium covering a thin acellular compartment, as claimed in most publications, but always appears as a multi-layer cellular compartment, or diffuse intimal thickening (DIT), in which cells are arranged in many layers. If low density lipoprotein cholesterol (LDL-C) invades the DIT from the coronary lumen, the initial depositions ought to be most proximal to blood, i.e. in the inner DIT. The facts show that the opposite is true, and lipids are initially deposited in the outer DIT. This contradiction is resolved by observing that the normal DIT is always avascular, receiving nutrients by diffusion from the lumen, whereas in CA the outer DIT is always neovascularized from adventitial vasa vasorum. The proteoglycan biglycan, confined to the outer DIT in both normal and diseased coronary arteries, has high binding capacity for LDL-C. However, the normal DIT is avascular and biglycan-LDL-C interactions are prevented by diffusion distance and LDL-C size (20 nm), whereas in CA, biglycan in the outer DIT can extract lipoproteins by direct contact with the blood. These facts lead to the single simplest explanation of all observations: (1) lipid deposition is initially localized in the outer DIT; (2) CA often develops at high blood LDL-C levels; (3) apparent CA can develop at lowered blood LDL-C levels. This mechanism is not unique to the coronary artery: for instance, the normally avascular cornea accumulates lipoproteins after neovascularization, resulting in lipid keratopathy.

HYPOTHESIS

Neovascularization of the normally avascular coronary DIT by permeable vasculature from the adventitial vasa vasorum is the cause of LDL deposition and CA. DIT enlargement, seen in early CA and aging, causes hypoxia of the outer DIT and induces neovascularization. According to this alternative proposal, coronary atherosclerosis is not related to inflammation and can occur in individuals with normal circulating levels of LDL, consistent with research findings.

摘要

背景

一个被广泛接受的假说是,冠状动脉粥样硬化(CA)是由炎症和高水平的低密度脂蛋白胆固醇(LDL-C)导致的内皮功能障碍引发的,随后脂质和巨噬细胞从管腔血液中沉积到动脉内膜,从而形成斑块。他汀类药物在预防CA方面的成功为扩大保护范围和有效治疗带来了很大希望。然而,药物治疗进展的停滞为审视支撑我们研究工作的该假说的逻辑特性提供了充分理由,并促使我们重新思考我们对CA的认知是否与正常和病变冠状动脉的实际情况相符。

分析

首先,必须指出的是,正常冠状动脉内膜并非如大多数出版物所声称的那样是覆盖着薄无细胞区的单层内皮,而是始终呈现为多层细胞区,即弥漫性内膜增厚(DIT),其中细胞呈多层排列。如果低密度脂蛋白胆固醇(LDL-C)从冠状动脉腔侵入DIT,那么最初的沉积物应该最靠近血液,即在DIT内层。但事实表明情况恰恰相反,脂质最初沉积在DIT外层。通过观察发现,正常的DIT始终无血管,通过从管腔扩散获取营养,而在CA中,外层DIT总是由外膜血管新生血管化。蛋白聚糖双糖链蛋白聚糖在正常和病变冠状动脉中都局限于外层DIT,对LDL-C具有高结合能力。然而,正常的DIT无血管,双糖链蛋白聚糖-LDL-C相互作用因扩散距离和LDL-C大小(20纳米)而受到阻碍,而在CA中,外层DIT中的双糖链蛋白聚糖可通过与血液直接接触提取脂蛋白。这些事实导致了对所有观察结果的最简单解释:(1)脂质沉积最初定位于外层DIT;(2)CA通常在血液LDL-C水平较高时发生;(3)在血液LDL-C水平降低时也可能出现明显的CA。这种机制并非冠状动脉所特有:例如,正常无血管的角膜在新生血管化后会积累脂蛋白,导致脂质角膜病变。

假说

来自外膜血管的可渗透血管使正常无血管的冠状动脉DIT新生血管化是LDL沉积和CA的原因。在早期CA和衰老过程中出现的DIT增大导致外层DIT缺氧并诱导新生血管化。根据这一替代性观点,冠状动脉粥样硬化与炎症无关,可发生在LDL循环水平正常的个体中,这与研究结果一致。

https://cdn.ncbi.nlm.nih.gov/pmc/blobs/475b/3492120/fe38bcfb4f84/1742-4682-9-11-6.jpg
https://cdn.ncbi.nlm.nih.gov/pmc/blobs/475b/3492120/798d7e657b72/1742-4682-9-11-1.jpg
https://cdn.ncbi.nlm.nih.gov/pmc/blobs/475b/3492120/3ac7efc7a56b/1742-4682-9-11-2.jpg
https://cdn.ncbi.nlm.nih.gov/pmc/blobs/475b/3492120/94aae8d6f09d/1742-4682-9-11-3.jpg
https://cdn.ncbi.nlm.nih.gov/pmc/blobs/475b/3492120/2a0dfcbc0b65/1742-4682-9-11-4.jpg
https://cdn.ncbi.nlm.nih.gov/pmc/blobs/475b/3492120/a9a73052555e/1742-4682-9-11-5.jpg
https://cdn.ncbi.nlm.nih.gov/pmc/blobs/475b/3492120/fe38bcfb4f84/1742-4682-9-11-6.jpg
https://cdn.ncbi.nlm.nih.gov/pmc/blobs/475b/3492120/798d7e657b72/1742-4682-9-11-1.jpg
https://cdn.ncbi.nlm.nih.gov/pmc/blobs/475b/3492120/3ac7efc7a56b/1742-4682-9-11-2.jpg
https://cdn.ncbi.nlm.nih.gov/pmc/blobs/475b/3492120/94aae8d6f09d/1742-4682-9-11-3.jpg
https://cdn.ncbi.nlm.nih.gov/pmc/blobs/475b/3492120/2a0dfcbc0b65/1742-4682-9-11-4.jpg
https://cdn.ncbi.nlm.nih.gov/pmc/blobs/475b/3492120/a9a73052555e/1742-4682-9-11-5.jpg
https://cdn.ncbi.nlm.nih.gov/pmc/blobs/475b/3492120/fe38bcfb4f84/1742-4682-9-11-6.jpg

相似文献

1
Neovascularization of coronary tunica intima (DIT) is the cause of coronary atherosclerosis. Lipoproteins invade coronary intima via neovascularization from adventitial vasa vasorum, but not from the arterial lumen: a hypothesis.冠状动脉内膜新生血管形成(DIT)是冠状动脉粥样硬化的病因。脂蛋白通过来自外膜血管滋养管的新生血管形成侵入冠状动脉内膜,而非从动脉腔侵入:一种假说。
Theor Biol Med Model. 2012 Apr 10;9:11. doi: 10.1186/1742-4682-9-11.
2
Excessive intimal hyperplasia in human coronary arteries before intimal lipid depositions is the initiation of coronary atherosclerosis and constitutes a therapeutic target.在冠状动脉内出现脂质沉积之前,过度的内膜增生是冠状动脉粥样硬化的起始,也是治疗的靶点。
Drug Discov Today. 2016 Oct;21(10):1578-1595. doi: 10.1016/j.drudis.2016.05.017. Epub 2016 Jun 2.
3
Human pericoronary adipose tissue as storage and possible supply site for oxidized low-density lipoprotein and high-density lipoprotein in coronary artery.人冠状动脉周围脂肪组织作为冠状动脉中氧化低密度脂蛋白和高密度脂蛋白的储存及可能的供应部位。
J Cardiol. 2017 Jan;69(1):236-244. doi: 10.1016/j.jjcc.2016.03.015. Epub 2016 May 18.
4
Pericyte-specific deletion of ninjurin-1 induces fragile vasa vasorum formation and enhances intimal hyperplasia of injured vasculature.周细胞特异性敲除 ninjurin-1 诱导脆弱的血管周腔形成,并增强损伤血管的内膜增生。
Am J Physiol Heart Circ Physiol. 2021 Jun 1;320(6):H2438-H2447. doi: 10.1152/ajpheart.00931.2020. Epub 2021 May 7.
5
Pericoronary Adipose Tissue as Storage and Supply Site for Oxidized Low-Density Lipoprotein in Human Coronary Plaques.冠状动脉周围脂肪组织作为人类冠状动脉斑块中氧化低密度脂蛋白的储存和供应部位
PLoS One. 2016 Mar 24;11(3):e0150862. doi: 10.1371/journal.pone.0150862. eCollection 2016.
6
Vasa Vasorum Angiogenesis: Key Player in the Initiation and Progression of Atherosclerosis and Potential Target for the Treatment of Cardiovascular Disease.血管生成:血管源学说——动脉粥样硬化发生发展的关键因素及心血管疾病治疗的潜在靶点。
Front Immunol. 2018 Apr 17;9:706. doi: 10.3389/fimmu.2018.00706. eCollection 2018.
7
Formation of new vasa vasorum in vasculitis. Production of angiogenic cytokines by multinucleated giant cells.血管炎中新血管生成。多核巨细胞产生血管生成细胞因子。
Am J Pathol. 1999 Sep;155(3):765-74. doi: 10.1016/S0002-9440(10)65175-9.
8
Chronic endothelin receptor antagonism prevents coronary vasa vasorum neovascularization in experimental hypercholesterolemia.慢性内皮素受体拮抗作用可预防实验性高胆固醇血症中冠状动脉血管滋养管新生血管形成。
J Am Coll Cardiol. 2002 May 1;39(9):1555-61. doi: 10.1016/s0735-1097(02)01798-9.
9
Early human atherosclerosis: accumulation of lipid and proteoglycans in intimal thickenings followed by macrophage infiltration.早期人类动脉粥样硬化:脂质和蛋白聚糖在内膜增厚处积聚,随后巨噬细胞浸润。
Arterioscler Thromb Vasc Biol. 2007 May;27(5):1159-65. doi: 10.1161/ATVBAHA.106.134080. Epub 2007 Feb 15.
10
Intimal neovascularization in human coronary atherosclerosis: its origin and pathophysiological significance.
Hum Pathol. 1995 Apr;26(4):450-6. doi: 10.1016/0046-8177(95)90148-5.

引用本文的文献

1
Behind the Curtain of Abnormal Placentation in Pre-Eclampsia: From Molecular Mechanisms to Histological Hallmarks.子痫前期异常胎盘形成背后的秘密:从分子机制到组织学特征。
Int J Mol Sci. 2024 Jul 18;25(14):7886. doi: 10.3390/ijms25147886.
2
The Process of Plaque Rupture: The Role of Vasa Vasorum and Medial Smooth Muscle Contraction Monitored by the Cardio-Ankle Vascular Index.斑块破裂的过程:通过心踝血管指数监测的滋养血管和中膜平滑肌收缩的作用
J Clin Med. 2023 Nov 30;12(23):7436. doi: 10.3390/jcm12237436.
3
A multiphysics-based artificial neural networks model for atherosclerosis.

本文引用的文献

1
Human cytomegalovirus infection and atherothrombosis.人巨细胞病毒感染与动脉粥样血栓形成。
J Thromb Thrombolysis. 2012 Feb;33(2):160-72. doi: 10.1007/s11239-011-0662-x.
2
Combined use of subconjunctival and intracorneal bevacizumab injection for corneal neovascularization.联合应用结膜下和角膜内注射贝伐单抗治疗角膜新生血管。
Cornea. 2011 Oct;30(10):1110-4. doi: 10.1097/ICO.0b013e31821379aa.
3
Progress and challenges in translating the biology of atherosclerosis.动脉粥样硬化生物学翻译的进展与挑战。
一种基于多物理场的动脉粥样硬化人工神经网络模型。
Heliyon. 2023 Jul 7;9(7):e17902. doi: 10.1016/j.heliyon.2023.e17902. eCollection 2023 Jul.
4
On vasa vasorum: A history of advances in understanding the vessels of vessels.关于血管滋养血管:血管之血管认识进展的历史
Sci Adv. 2022 Apr 22;8(16):eabl6364. doi: 10.1126/sciadv.abl6364. Epub 2022 Apr 20.
5
Acute Atherosis Lesions at the Fetal-Maternal Border: Current Knowledge and Implications for Maternal Cardiovascular Health.胎儿-母体交界处的急性动脉粥样硬化病变:当前知识及其对母体心血管健康的影响。
Front Immunol. 2021 Dec 14;12:791606. doi: 10.3389/fimmu.2021.791606. eCollection 2021.
6
Inhibition of LOXL1-AS1 alleviates oxidative low-density lipoprotein induced angiogenesis via downregulation of miR-590-5p mediated KLF6/VEGF signaling pathway.抑制 LOXL1-AS1 通过下调 miR-590-5p 介导的 KLF6/VEGF 信号通路缓解氧化型低密度脂蛋白诱导的血管生成。
Cell Cycle. 2021 Sep;20(17):1663-1680. doi: 10.1080/15384101.2021.1958484. Epub 2021 Jul 31.
7
Cardiorenal Fat: A Cardiovascular Risk Factor With Implications in Chronic Kidney Disease.心肾脂肪:一种对慢性肾脏病有影响的心血管危险因素。
Front Med (Lausanne). 2021 May 25;8:640814. doi: 10.3389/fmed.2021.640814. eCollection 2021.
8
[Detection of carotid intima and media thicknesses based on ultrasound B-mode images clustered with Gaussian mixture model].基于高斯混合模型聚类的超声B模式图像检测颈动脉内膜中层厚度
Sheng Wu Yi Xue Gong Cheng Xue Za Zhi. 2020 Dec 25;37(6):1080-1088. doi: 10.7507/1001-5515.201906027.
9
Epicardial Adipose Tissue, Adiponectin and Leptin: A Potential Source of Cardiovascular Risk in Chronic Kidney Disease.心外膜脂肪组织、脂联素和瘦素:慢性肾脏病心血管风险的潜在来源。
Int J Mol Sci. 2020 Feb 1;21(3):978. doi: 10.3390/ijms21030978.
10
Lipoxidation in cardiovascular diseases.脂质过氧化在心血管疾病中的作用。
Redox Biol. 2019 May;23:101119. doi: 10.1016/j.redox.2019.101119. Epub 2019 Feb 25.
Nature. 2011 May 19;473(7347):317-25. doi: 10.1038/nature10146.
4
Treatments for corneal neovascularization: a review.角膜新生血管治疗:综述。
Cornea. 2011 Aug;30(8):927-38. doi: 10.1097/ICO.0b013e318201405a.
5
Atherosclerosis drug development in jeopardy: the need for predictive biomarkers of treatment response.动脉粥样硬化药物研发陷入困境:治疗反应预测生物标志物的需求。
Sci Transl Med. 2011 Mar 2;3(72):72cm6. doi: 10.1126/scitranslmed.3002029.
6
Infection-induced coronary dysfunction and systemic inflammation in piglets are dampened in hypercholesterolemic milieu.在高胆固醇环境中,仔猪感染引起的冠状动脉功能障碍和全身炎症反应减轻。
Am J Physiol Heart Circ Physiol. 2011 May;300(5):H1595-601. doi: 10.1152/ajpheart.01253.2010. Epub 2011 Feb 25.
7
Structure and function of vasa vasorum.血管周腔的结构与功能。
Trends Cardiovasc Med. 1996 Feb;6(2):53-7. doi: 10.1016/1050-1738(96)00008-4.
8
Resolution of bilateral corneal neovascularization and lipid keratopathy after photodynamic therapy with verteporfin.
Optometry. 2011 Apr;82(4):212-4. doi: 10.1016/j.optm.2010.09.012. Epub 2011 Jan 8.
9
Subconjunctival injection of bevacizumab in the treatment of corneal neovascularization associated with lipid deposition.玻璃体内注射贝伐单抗治疗伴有脂质沉积的角膜新生血管。
Cornea. 2011 Jan;30(1):60-6. doi: 10.1097/ICO.0b013e3181e458c5.
10
Atherosclerotic plaque regression: fact or fiction?动脉粥样硬化斑块消退:事实还是虚构?
Cardiovasc Drugs Ther. 2010 Aug;24(4):311-7. doi: 10.1007/s10557-010-6241-0.