Suppr超能文献

一名20周孕妇主动脉扩张和关闭不全病情加重的管理:病例报告

Management of worsening aortic dilation and insufficiency in a 20-week pregnant woman: a case report.

作者信息

Shah Amy, Schwarzenberger Johanna, Gui Dorina, Hong Richard, Chen Angela

机构信息

Department of Obstetrics & Gynecology, University of California, Los Angeles, CA 90095, USA.

出版信息

Case Rep Obstet Gynecol. 2011;2011:483178. doi: 10.1155/2011/483178. Epub 2011 Jul 10.

Abstract

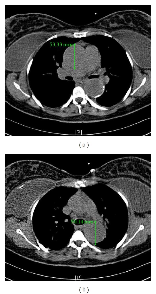
Preexisting aortic disease can worsen during pregnancy as physiologic hemodynamic changes evolve. At a large academic institution, a patient with a remote history of vasculitis presented with a second trimester pregnancy with increasing aortic dilatation and aortic insufficiency. Extensive obstetric discussions encompassed maternal cardiac risks from continuing the pregnancy and fetal risks from maternal cardiac intervention. This patient desired termination of pregnancy to avoid further complications and to expedite surgical aortic repair.

摘要

随着生理血流动力学变化的发展,孕前存在的主动脉疾病在孕期可能会恶化。在一家大型学术机构,一名有血管炎既往史的患者在孕中期就诊,出现主动脉扩张和主动脉瓣关闭不全加重。广泛的产科讨论涵盖了继续妊娠的母体心脏风险以及母体心脏干预的胎儿风险。该患者希望终止妊娠以避免进一步并发症并加快主动脉手术修复。

https://cdn.ncbi.nlm.nih.gov/pmc/blobs/bfec/3335502/ffc53e29109d/CRIM.OBGYN2011-483178.001.jpg

文献AI研究员

20分钟写一篇综述,助力文献阅读效率提升50倍。

立即体验

用中文搜PubMed

大模型驱动的PubMed中文搜索引擎

马上搜索

文档翻译

学术文献翻译模型,支持多种主流文档格式。

立即体验