Suppr超能文献

肺癌肾上腺转移致肾上腺功能衰竭:一例报告

Adrenal Failure due to Adrenal Metastasis of Lung Cancer: A Case Report.

作者信息

Faulhaber Gustavo Adolpho Moreira, Borges Flavia Kessler, Ascoli Aline Maria, Seligman Renato, Furlanetto Tania Weber

机构信息

Serviço de Medicina Interna, Hospital de Clínicas de Porto Alegre, Rua Ramiro Barcelos 2350, Sala 700, 90035-903, Porto Alegre, RS, Brazil.

出版信息

Case Rep Oncol Med. 2011;2011:326815. doi: 10.1155/2011/326815. Epub 2011 Nov 22.

Abstract

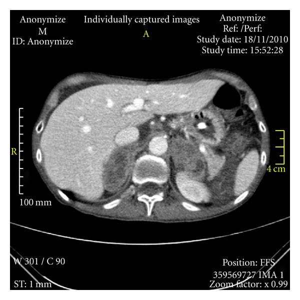
We report a case of a patient with adrenal failure due to bilateral adrenal metastasis of lung cancer. This is a rare presentation of lung cancer. We review the differential diagnosis of weight loss and how to make diagnosis of adrenal insufficiency.

摘要

我们报告一例因肺癌双侧肾上腺转移导致肾上腺功能衰竭的患者。这是肺癌的一种罕见表现。我们回顾了体重减轻的鉴别诊断以及如何诊断肾上腺功能不全。

https://cdn.ncbi.nlm.nih.gov/pmc/blobs/e1f3/3350132/3c0b19f6599a/CRIM.ONCMED2011-326815.001.jpg

文献AI研究员

20分钟写一篇综述,助力文献阅读效率提升50倍。

立即体验

用中文搜PubMed

大模型驱动的PubMed中文搜索引擎

马上搜索

文档翻译

学术文献翻译模型,支持多种主流文档格式。

立即体验