Department of Internal Medicine, Faculty of Medicine, Cumhuriyet University, Sivas, Turkey.
Ann Clin Microbiol Antimicrob. 2012 May 18;11:14. doi: 10.1186/1476-0711-11-14.
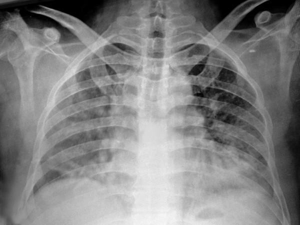
Q fever is a worldwide zoonotic infection that caused by Coxiella burnetii, a strict intracellular bacterium. It may be manifested by some of the autoimmune events and is classified into acute and chronic forms. The most frequent clinical manifestation of acute form is a self-limited febrile illness which is associated with severe headache, muscle ache, arthralgia and cough. Meningoencephalitis, thyroiditis, pericarditis, myocarditis, mesenteric lymphadenopathy, hemolytic anemia, and nephritis are rare manifestations. Here we present a case of acute Q fever together with Coombs' positive autoimmune hemolytic anemia (AIHA) and tubulointerstitial nephritis treated with chlarithromycin, steroids and hemodialysis. Clinicians should be aware of such rare manifestations of the disease.
Q 热是一种由严格细胞内菌贝氏柯克斯体引起的世界性动物源性感染。它可能表现为某些自身免疫事件,并分为急性和慢性两种形式。急性形式最常见的临床表现是一种自限性发热疾病,伴有严重头痛、肌肉疼痛、关节炎和咳嗽。脑膜脑炎、甲状腺炎、心包炎、心肌炎、肠系膜淋巴结病、溶血性贫血和肾炎是罕见的表现。在此,我们报告了一例急性 Q 热合并 Coombs 阳性自身免疫性溶血性贫血(AIHA)和肾小管间质性肾炎,采用克拉霉素、类固醇和血液透析治疗。临床医生应注意该病的这些罕见表现。