Suppr超能文献

抑制角质形成细胞中 AP1 转录因子的功能可抑制分化。

Suppression of AP1 transcription factor function in keratinocyte suppresses differentiation.

机构信息

Department of Biochemistry and Molecular Biology, University of Maryland School of Medicine, Baltimore, Maryland, United States of America.

出版信息

PLoS One. 2012;7(5):e36941. doi: 10.1371/journal.pone.0036941. Epub 2012 May 23.

Abstract

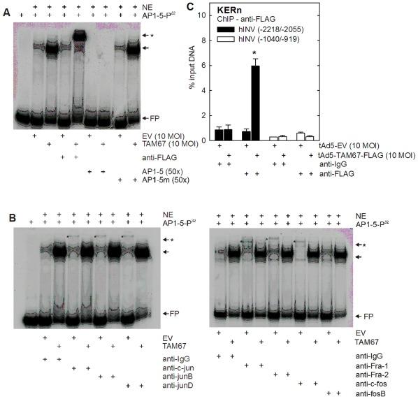
Our previous study shows that inhibiting activator protein one (AP1) transcription factor function in murine epidermis, using dominant-negative c-jun (TAM67), increases cell proliferation and delays differentiation. To understand the mechanism of action, we compare TAM67 impact in mouse epidermis and in cultured normal human keratinocytes. We show that TAM67 localizes in the nucleus where it forms TAM67 homodimers that competitively interact with AP1 transcription factor DNA binding sites to reduce endogenous jun and fos factor binding. Involucrin is a marker of keratinocyte differentiation that is expressed in the suprabasal epidermis and this expression requires AP1 factor interaction at the AP1-5 site in the promoter. TAM67 interacts competitively at this site to reduce involucrin expression. TAM67 also reduces endogenous c-jun, junB and junD mRNA and protein level. Studies with c-jun promoter suggest that this is due to reduced transcription of the c-jun gene. We propose that TAM67 suppresses keratinocyte differentiation by interfering with endogenous AP1 factor binding to regulator elements in differentiation-associated target genes, and by reducing endogenous c-jun factor expression.

摘要

我们之前的研究表明,在鼠表皮中使用显性失活的 c-jun(TAM67)抑制激活蛋白 1(AP1)转录因子的功能,会增加细胞增殖并延迟分化。为了了解其作用机制,我们比较了 TAM67 在鼠表皮和培养的正常人类角质形成细胞中的作用。我们发现 TAM67 定位于细胞核内,在那里它形成 TAM67 同源二聚体,与 AP1 转录因子 DNA 结合位点竞争,减少内源性 jun 和 fos 因子的结合。包壳蛋白是角质形成细胞分化的标志物,在上皮细胞中表达,这一表达需要启动子中 AP1-5 位点的 AP1 因子相互作用。TAM67 在该位点竞争性地相互作用,从而降低包壳蛋白的表达。TAM67 还降低了内源性 c-jun、junB 和 junD mRNA 和蛋白水平。对 c-jun 启动子的研究表明,这是由于 c-jun 基因转录减少所致。我们提出,TAM67 通过干扰内源性 AP1 因子与分化相关靶基因中调节元件的结合,以及通过减少内源性 c-jun 因子的表达,来抑制角质形成细胞分化。

https://cdn.ncbi.nlm.nih.gov/pmc/blobs/c99c/3359321/26b5e1df68b2/pone.0036941.g001.jpg

文献检索

告别复杂PubMed语法,用中文像聊天一样搜索,搜遍4000万医学文献。AI智能推荐,让科研检索更轻松。

立即免费搜索

文件翻译

保留排版,准确专业,支持PDF/Word/PPT等文件格式,支持 12+语言互译。

免费翻译文档

深度研究

AI帮你快速写综述,25分钟生成高质量综述,智能提取关键信息,辅助科研写作。

立即免费体验