• 文献检索
  • 文档翻译
  • 深度研究
  • 学术资讯
  • Suppr Zotero 插件Zotero 插件
  • 邀请有礼
  • 套餐&价格
  • 历史记录
应用&插件
Suppr Zotero 插件Zotero 插件浏览器插件Mac 客户端Windows 客户端微信小程序
定价
高级版会员购买积分包购买API积分包
服务
文献检索文档翻译深度研究API 文档MCP 服务
关于我们
关于 Suppr公司介绍联系我们用户协议隐私条款
关注我们

Suppr 超能文献

核心技术专利:CN118964589B侵权必究
粤ICP备2023148730 号-1Suppr @ 2026

文献检索

告别复杂PubMed语法,用中文像聊天一样搜索,搜遍4000万医学文献。AI智能推荐,让科研检索更轻松。

立即免费搜索

文件翻译

保留排版,准确专业,支持PDF/Word/PPT等文件格式,支持 12+语言互译。

免费翻译文档

深度研究

AI帮你快速写综述,25分钟生成高质量综述,智能提取关键信息,辅助科研写作。

立即免费体验

晚期原发性肺癌患者肿瘤栓子的自发性脱落:一例报告

Spontaneous showering of tumor emboli in a patient with advanced primary lung cancer: a case report.

作者信息

Schreffler Susan M, Paolo William F, Kloss Brian T

机构信息

SUNY Upstate Medical University, Department of Emergency Medicine, 550 E, Genesee Street, Syracuse, NY, USA.

出版信息

Int J Emerg Med. 2012 Jun 6;5(1):27. doi: 10.1186/1865-1380-5-27.

DOI:10.1186/1865-1380-5-27
PMID:22673136
原文链接:https://pmc.ncbi.nlm.nih.gov/articles/PMC3414810/
Abstract

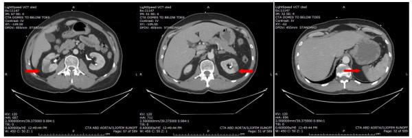
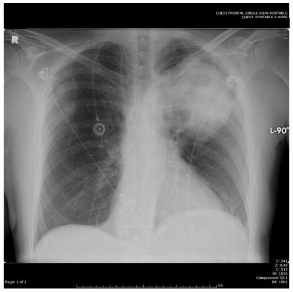
Extension of primary lung tumors into the left atrium via pulmonary veins is a well-documented phenomenon. Peripheral arterial embolism and cerebral embolism originating from a primary lung neoplasm are rare events. We report a case of simultaneous acute bilateral lower limb ischemia, bilateral renal infarction, splenic infarction and cerebral infarction as a result of multiple emboli originating from primary lung malignancy invasion of the left atrium. An emergent embolectomy revealed pathologic features of the extracted thrombus that were identical to the pulmonary neoplasm.

摘要

原发性肺肿瘤经肺静脉延伸至左心房是一种有充分文献记载的现象。源自原发性肺肿瘤的外周动脉栓塞和脑栓塞是罕见事件。我们报告一例因原发性肺恶性肿瘤侵犯左心房导致多发栓子形成,进而出现同时性急性双侧下肢缺血、双侧肾梗死、脾梗死和脑梗死的病例。急诊栓子切除术显示取出的血栓病理特征与肺肿瘤相同。

https://cdn.ncbi.nlm.nih.gov/pmc/blobs/9248/3414810/9f9f1e3fd2db/1865-1380-5-27-4.jpg
https://cdn.ncbi.nlm.nih.gov/pmc/blobs/9248/3414810/6ff94c9df683/1865-1380-5-27-1.jpg
https://cdn.ncbi.nlm.nih.gov/pmc/blobs/9248/3414810/dff5bae27d83/1865-1380-5-27-2.jpg
https://cdn.ncbi.nlm.nih.gov/pmc/blobs/9248/3414810/f03364523eab/1865-1380-5-27-3.jpg
https://cdn.ncbi.nlm.nih.gov/pmc/blobs/9248/3414810/9f9f1e3fd2db/1865-1380-5-27-4.jpg
https://cdn.ncbi.nlm.nih.gov/pmc/blobs/9248/3414810/6ff94c9df683/1865-1380-5-27-1.jpg
https://cdn.ncbi.nlm.nih.gov/pmc/blobs/9248/3414810/dff5bae27d83/1865-1380-5-27-2.jpg
https://cdn.ncbi.nlm.nih.gov/pmc/blobs/9248/3414810/f03364523eab/1865-1380-5-27-3.jpg
https://cdn.ncbi.nlm.nih.gov/pmc/blobs/9248/3414810/9f9f1e3fd2db/1865-1380-5-27-4.jpg

相似文献

1
Spontaneous showering of tumor emboli in a patient with advanced primary lung cancer: a case report.晚期原发性肺癌患者肿瘤栓子的自发性脱落:一例报告
Int J Emerg Med. 2012 Jun 6;5(1):27. doi: 10.1186/1865-1380-5-27.
2
Lung cancer embolization causing acute limb ischemia: a case report.肺癌栓塞导致急性肢体缺血:病例报告。
J Med Case Rep. 2023 Feb 17;17(1):56. doi: 10.1186/s13256-023-03769-5.
3
Multiple instances of peripheral artery emboli from occult primary small cell lung cancer.隐匿性原发性小细胞肺癌导致的多例外周动脉栓塞
Tex Heart Inst J. 2012;39(3):420-3.
4
Acute lower limb ischemia and intestinal necrosis due to arterial tumor embolism from advanced lung cancer: a case report and literature review.晚期肺癌动脉肿瘤栓塞致急性下肢缺血和肠坏死:一例报告及文献复习
Surg Case Rep. 2018 May 2;4(1):42. doi: 10.1186/s40792-018-0452-1.
5
Acute aortic occlusion due to tumor embolism in a patient with lung malignancy.一名肺癌患者因肿瘤栓塞导致急性主动脉闭塞。
SAGE Open Med Case Rep. 2017 Jul 18;5:2050313X17720627. doi: 10.1177/2050313X17720627. eCollection 2017.
6
Radical Nephrectomy and Pulmonary Lobectomy for Renal Cell Carcinoma With Tumor Thrombus Extension into the Inferior Vena Cava and Pulmonary Arteries.根治性肾切除术和肺叶切除术治疗肾细胞癌伴肿瘤栓子延伸至下腔静脉和肺动脉
Anticancer Res. 2020 Oct;40(10):5837-5844. doi: 10.21873/anticanres.14602.
7
Acute Limb Ischemia Secondary to Patent Foramen Ovale-Mediated Paradoxical Embolism: A Case Report and Systematic Review of the Literature.卵圆孔未闭介导的反常栓塞继发急性肢体缺血:一例报告及文献系统综述
Ann Vasc Surg. 2020 Jul;66:668.e5-668.e10. doi: 10.1016/j.avsg.2019.12.022. Epub 2020 Jan 2.
8
Spontaneous systemic tumor embolism caused by tumor invasion of pulmonary vein in a patient with advanced lung cancer.一名晚期肺癌患者因肿瘤侵犯肺静脉导致自发性系统性肿瘤栓塞。
J Cardiovasc Ultrasound. 2010 Dec;18(4):148-50. doi: 10.4250/jcu.2010.18.4.148. Epub 2010 Dec 31.
9
Atrial invasion and showering phenomenon in primary lung cancer: A case report.原发性肺癌的心房侵犯及播散现象:一例报告
Respir Med Case Rep. 2020 Apr 23;30:101064. doi: 10.1016/j.rmcr.2020.101064. eCollection 2020.
10
Acute arterial occlusive disease due to tumor thrombus from lung metastasis of breast cancer with cartilaginous and osseous metaplasia: a case report.乳腺癌肺转移瘤栓致急性动脉闭塞性疾病伴软骨及骨化生:一例报告
Surg Case Rep. 2023 Feb 1;9(1):13. doi: 10.1186/s40792-023-01598-8.

引用本文的文献

1
Resection and reconstruction of the left atrium with cardiopulmonary bypass for T4 non-small cell lung cancer.体外循环下T4期非小细胞肺癌的左心房切除与重建术
JTCVS Tech. 2025 Mar 8;31:169-176. doi: 10.1016/j.xjtc.2025.01.029. eCollection 2025 Jun.
2
Clinicopathological Features and Prognoses of Patients With Splenic Metastases From Breast Cancer: A Single-Centre, Retrospective Study.乳腺癌脾转移患者的临床病理特征及预后:一项单中心回顾性研究
Cancer Control. 2025 Jan-Dec;32:10732748241310578. doi: 10.1177/10732748241310578.
3
Lung cancer embolization causing acute limb ischemia: a case report.

本文引用的文献

1
Spontaneous systemic tumor embolism caused by tumor invasion of pulmonary vein in a patient with advanced lung cancer.一名晚期肺癌患者因肿瘤侵犯肺静脉导致自发性系统性肿瘤栓塞。
J Cardiovasc Ultrasound. 2010 Dec;18(4):148-50. doi: 10.4250/jcu.2010.18.4.148. Epub 2010 Dec 31.
2
Splenic infarction: 10 years of experience.脾梗死:十年经验
Am J Emerg Med. 2009 Mar;27(3):262-5. doi: 10.1016/j.ajem.2008.02.014.
3
Microparticles and cancer.微粒与癌症
肺癌栓塞导致急性肢体缺血:病例报告。
J Med Case Rep. 2023 Feb 17;17(1):56. doi: 10.1186/s13256-023-03769-5.
4
Poorly Differentiated Lung Cancer with Intracardiac Extension Causing Malignant Stroke in a Peritoneal Dialysis Patient: a Case Report.一名腹膜透析患者发生低分化肺癌并向心腔内蔓延导致恶性脑卒中:病例报告
SN Compr Clin Med. 2022;4(1):255. doi: 10.1007/s42399-022-01331-w. Epub 2022 Nov 14.
5
Tumor embolism and acute arterial occlusion: A systematic review.肿瘤栓塞与急性动脉闭塞:一项系统评价。
Surg Open Sci. 2022 Nov 7;10:216-222. doi: 10.1016/j.sopen.2022.10.006. eCollection 2022 Oct.
6
The Rarity of Metastasis to the Spleen - a Phenomenon with an Unknown Mechanism.脾脏转移的罕见性 - 一种机制不明的现象。
Bull Exp Biol Med. 2022 Sep;173(5):575-582. doi: 10.1007/s10517-022-05591-3. Epub 2022 Oct 10.
7
Metastatic Lung Cancer with Multiorgan Thrombosis and Budd-Chiari Syndrome: A Rare Case.伴有多器官血栓形成和布加综合征的转移性肺癌:1例罕见病例
Eur J Case Rep Intern Med. 2022 Jul 4;9(7):003386. doi: 10.12890/2022_003386. eCollection 2022.
8
Acute Limb Ischemia Caused by Embolus of Primary Lung Cancer Complicating Trousseau's Syndrome.原发性肺癌栓子导致的急性肢体缺血并发特鲁索综合征
Ann Vasc Dis. 2022 Mar 25;15(1):64-67. doi: 10.3400/avd.cr.21-00102.
9
Arterial Embolism in Malignancy: The Role of Surgery.恶性肿瘤中的动脉栓塞:手术的作用
Ther Clin Risk Manag. 2021 Jun 18;17:635-640. doi: 10.2147/TCRM.S308026. eCollection 2021.
10
Tumor Embolism as a Cause of Renal Artery Occlusion and Acute Kidney Injury Diagnosed and Treated with Endovascular Intervention in a Patient with Mediastinal Undifferentiated Sarcoma.纵隔未分化肉瘤患者因肿瘤栓塞导致肾动脉闭塞和急性肾损伤,经血管内介入治疗诊断和治疗。
Intern Med. 2021 Jun 15;60(12):1907-1910. doi: 10.2169/internalmedicine.6249-20. Epub 2021 Jan 15.
Pathophysiol Haemost Thromb. 2008;36(3-4):177-83. doi: 10.1159/000175155. Epub 2009 Jan 27.
4
Intracardiac extension of lung cancer via the pulmonary vein.肺癌经肺静脉的心脏内扩展
Thorax. 2008 Dec;63(12):1122. doi: 10.1136/thx.2007.090373.
5
Peripheral arterial ischemia by a primary lung tumour invading left atrium.
Lung Cancer. 2007 Aug;57(2):237-9. doi: 10.1016/j.lungcan.2007.02.001. Epub 2007 Mar 12.
6
Acute renal infarction secondary to atrial fibrillation - mimicking renal stone picture.房颤继发急性肾梗死——酷似肾结石表现
Saudi J Kidney Dis Transpl. 2006 Jun;17(2):208-12.
7
Blood pressure and renal outcomes in patients with kidney infarction and hypertension.肾梗死合并高血压患者的血压与肾脏结局
J Hypertens. 2006 Aug;24(8):1649-54. doi: 10.1097/01.hjh.0000239302.55754.1f.
8
Small cell lung carcinoma invading the pulmonary vein and left atrium as imaged by PET/CT.
Eur J Nucl Med Mol Imaging. 2005 Dec;32(12):1493. doi: 10.1007/s00259-005-1930-9. Epub 2005 Sep 23.
9
Peripheral tumor emboli to both lower extremity arteries after pneumonectomy for extensive pulmonary cancer.
J Cardiovasc Surg (Torino). 2004 Dec;45(6):592-3.
10
Acute renal embolism. Forty-four cases of renal infarction in patients with atrial fibrillation.急性肾栓塞。44例心房颤动患者发生肾梗死。
Medicine (Baltimore). 2004 Sep;83(5):292-299. doi: 10.1097/01.md.0000141097.08000.99.