• 文献检索
  • 文档翻译
  • 深度研究
  • 学术资讯
  • Suppr Zotero 插件Zotero 插件
  • 邀请有礼
  • 套餐&价格
  • 历史记录
应用&插件
Suppr Zotero 插件Zotero 插件浏览器插件Mac 客户端Windows 客户端微信小程序
定价
高级版会员购买积分包购买API积分包
服务
文献检索文档翻译深度研究API 文档MCP 服务
关于我们
关于 Suppr公司介绍联系我们用户协议隐私条款
关注我们

Suppr 超能文献

核心技术专利:CN118964589B侵权必究
粤ICP备2023148730 号-1Suppr @ 2026

文献检索

告别复杂PubMed语法,用中文像聊天一样搜索,搜遍4000万医学文献。AI智能推荐,让科研检索更轻松。

立即免费搜索

文件翻译

保留排版,准确专业,支持PDF/Word/PPT等文件格式,支持 12+语言互译。

免费翻译文档

深度研究

AI帮你快速写综述,25分钟生成高质量综述,智能提取关键信息,辅助科研写作。

立即免费体验

伴有多器官血栓形成和布加综合征的转移性肺癌:1例罕见病例

Metastatic Lung Cancer with Multiorgan Thrombosis and Budd-Chiari Syndrome: A Rare Case.

作者信息

Barbosa-Martins João, Costa Ana, Costa Magda, Formigo Mariana, Cotter Jorge

机构信息

Medical Oncology Department, Hospital da Senhora da Oliveira, Guimarães, Portugal.

Internal Medicine Department, Hospital da Senhora da Oliveira, Guimarães, Portugal.

出版信息

Eur J Case Rep Intern Med. 2022 Jul 4;9(7):003386. doi: 10.12890/2022_003386. eCollection 2022.

DOI:10.12890/2022_003386
PMID:36051164
原文链接:https://pmc.ncbi.nlm.nih.gov/articles/PMC9426963/
Abstract

UNLABELLED

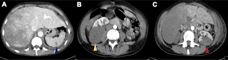
Arterial thrombosis and Budd-Chiari syndrome are rare conditions in lung cancer patients. We report the case of a 53-year-old woman who presented with respiratory symptoms, lumbar pain, weight and appetite loss, and an x-ray showing a lung nodule and diffuse micro-opacities. She was diagnosed with lung neoplasia with extensive lung, liver, lymph node and bone metastases. After discharge she was readmitted with a respiratory infection, and as her condition deteriorated, computed tomography was performed and revealed ischaemic areas in the spleen and kidney, and venous thrombosis, related to Budd-Chiari syndrome, with hepatic ischaemia. Despite hypocoagulation, her clinical condition deteriorated and she died soon afterwards.

LEARNING POINTS

Acute ischaemic arterial events are rare in cancer patients.Budd-Chiari syndrome associated with lung cancer is rare.Both presentations have a poor prognosis, so early diagnosis and intervention are imperative.

摘要

未标注

动脉血栓形成和布加综合征在肺癌患者中是罕见病症。我们报告一例53岁女性病例,该患者出现呼吸道症状、腰痛、体重减轻和食欲减退,X线显示肺部有结节及弥漫性微阴影。她被诊断为患有肺肿瘤,伴有广泛的肺、肝、淋巴结和骨转移。出院后,她因呼吸道感染再次入院,随着病情恶化,进行了计算机断层扫描,结果显示脾脏和肾脏有缺血区域,以及与布加综合征相关的静脉血栓形成和肝缺血。尽管存在低凝状态,但她的临床状况仍恶化,不久后死亡。

学习要点

急性缺血性动脉事件在癌症患者中罕见。与肺癌相关的布加综合征罕见。这两种情况预后均较差,因此早期诊断和干预至关重要。

https://cdn.ncbi.nlm.nih.gov/pmc/blobs/5ffe/9426963/9f4fd4aaa60f/3386_Fig4.jpg
https://cdn.ncbi.nlm.nih.gov/pmc/blobs/5ffe/9426963/bb730105d769/3386_Fig1.jpg
https://cdn.ncbi.nlm.nih.gov/pmc/blobs/5ffe/9426963/8ad61d659159/3386_Fig2.jpg
https://cdn.ncbi.nlm.nih.gov/pmc/blobs/5ffe/9426963/e063609ba735/3386_Fig3.jpg
https://cdn.ncbi.nlm.nih.gov/pmc/blobs/5ffe/9426963/9f4fd4aaa60f/3386_Fig4.jpg
https://cdn.ncbi.nlm.nih.gov/pmc/blobs/5ffe/9426963/bb730105d769/3386_Fig1.jpg
https://cdn.ncbi.nlm.nih.gov/pmc/blobs/5ffe/9426963/8ad61d659159/3386_Fig2.jpg
https://cdn.ncbi.nlm.nih.gov/pmc/blobs/5ffe/9426963/e063609ba735/3386_Fig3.jpg
https://cdn.ncbi.nlm.nih.gov/pmc/blobs/5ffe/9426963/9f4fd4aaa60f/3386_Fig4.jpg

相似文献

1
Metastatic Lung Cancer with Multiorgan Thrombosis and Budd-Chiari Syndrome: A Rare Case.伴有多器官血栓形成和布加综合征的转移性肺癌:1例罕见病例
Eur J Case Rep Intern Med. 2022 Jul 4;9(7):003386. doi: 10.12890/2022_003386. eCollection 2022.
2
Budd-Chiari Syndrome and antithrombin III deficiency.布加综合征与抗凝血酶III缺乏症
Am J Clin Pathol. 1982 Aug;78(2):236-41. doi: 10.1093/ajcp/78.2.236.
3
[Oral contraceptives and blood diseases are the most common causes of Budd-Chiari syndrome].口服避孕药和血液疾病是布加综合征最常见的病因。
Lakartidningen. 1989 Nov 15;86(46):4002-8.
4
A rare case of constrictive pericarditis with Budd-Chiari syndrome due to right atrial thrombosis.一例罕见的因右心房血栓形成导致缩窄性心包炎合并布加综合征的病例。
SAGE Open Med Case Rep. 2021 Jul 16;9:2050313X211032405. doi: 10.1177/2050313X211032405. eCollection 2021.
5
Budd-Chiari syndrome in a young patient with celiac sprue: a case report.一名患有乳糜泻的年轻患者的布加综合征:病例报告
Turk J Gastroenterol. 2003 Dec;14(4):262-5.
6
Liver Transplantation for Budd-Chiari Syndrome With Large Solitary Focal Nodular Hyperplasia of the Liver in a Patient With Essential Thrombocythemia: Case Report. [Corrected].原发性血小板增多症患者合并肝脏巨大孤立性局灶性结节性增生的布加综合征的肝移植:病例报告。[已修正]
Transplant Proc. 2015 Sep;47(7):2282-6. doi: 10.1016/j.transproceed.2015.05.008.
7
[Budd-Chiari syndrome, pulmonary thromboembolism, and deep venous thrombosis associated with "lupus anticoagulant" and recent use of oral contraceptives].[布加综合征、肺血栓栓塞症以及与“狼疮抗凝物”和近期口服避孕药使用相关的深静脉血栓形成]
G E N. 1990 Jul-Sep;44(3):237-42.
8
A Case of Live Donor Liver Transplantation in Acute-on-Chronic Liver Failure with Budd-Chiari Syndrome: Donor and Recipient with Antiphospholipid Antibody Syndrome.1例布加综合征所致慢加急性肝衰竭活体肝移植病例:供体与受体均患有抗磷脂抗体综合征
Am J Case Rep. 2018 Jun 30;19:767-772. doi: 10.12659/AJCR.909694.
9
Budd-Chiari syndrome: a common complication of Behçet's disease.布加综合征:白塞病的常见并发症。
Am J Gastroenterol. 1997 May;92(5):858-62.
10
[Budd-Chiari syndrome: retrospective study of 8 cases assessed with computerized tomography].[布-加综合征:8例计算机断层扫描评估的回顾性研究]
Radiol Med. 1998 Oct;96(4):339-43.

本文引用的文献

1
Global Cancer Statistics 2020: GLOBOCAN Estimates of Incidence and Mortality Worldwide for 36 Cancers in 185 Countries.《全球癌症统计数据 2020:全球 185 个国家和地区 36 种癌症的发病率和死亡率估计》。
CA Cancer J Clin. 2021 May;71(3):209-249. doi: 10.3322/caac.21660. Epub 2021 Feb 4.
2
Risk of Arterial Thromboembolism in Patients With Cancer.癌症患者发生动脉血栓栓塞的风险
J Am Coll Cardiol. 2017 Aug 22;70(8):926-938. doi: 10.1016/j.jacc.2017.06.047.
3
Acute Bilateral Renal and Splenic Infarctions Occurring during Chemotherapy for Lung Cancer.
肺癌化疗期间发生的急性双侧肾梗死和脾梗死
Intern Med. 2016;55(24):3635-3639. doi: 10.2169/internalmedicine.55.6891. Epub 2016 Dec 15.
4
Spontaneous showering of tumor emboli in a patient with advanced primary lung cancer: a case report.晚期原发性肺癌患者肿瘤栓子的自发性脱落:一例报告
Int J Emerg Med. 2012 Jun 6;5(1):27. doi: 10.1186/1865-1380-5-27.
5
Peripheral arterial ischemic events in cancer patients.癌症患者外周动脉缺血性事件。
Vasc Med. 2011 Apr;16(2):119-30. doi: 10.1177/1358863X10388346. Epub 2010 Nov 26.
6
Bilateral renal infarction in a patient with lung carcinoma treated with cisplatin and gemcitabine.一名接受顺铂和吉西他滨治疗的肺癌患者发生双侧肾梗死。
Ren Fail. 2007;29(7):923-5. doi: 10.1080/08860220701573632.
7
Thromboembolism in hospitalized neutropenic cancer patients.住院中性粒细胞减少癌症患者的血栓栓塞
J Clin Oncol. 2006 Jan 20;24(3):484-90. doi: 10.1200/JCO.2005.03.8877.
8
Budd-Chiari syndrome complicating lung carcinoma of the right inferior lobe: a case report.布加综合征并发右下叶肺癌:一例报告
Tumori. 1992 Apr 30;78(2):147-9. doi: 10.1177/030089169207800218.