Suppr超能文献

高压氧和前列环素对兔模型缺血/再灌注诱导的肺损伤的保护作用。

Protective effects of hyperbaric oxygen and iloprost on ischemia/reperfusion-induced lung injury in a rabbit model.

机构信息

Department of Cardiovascular Surgery, Recep Tayyip Erdoğan University Faculty of Medicine, Training and Research Hospital, Rize, Turkey.

出版信息

Eur J Med Res. 2012 Jun 7;17(1):14. doi: 10.1186/2047-783X-17-14.

Abstract

BACKGROUND

The role of multiorgan damage in the mortality caused by ischemic limb injury is still not clarified. The objective of this study was to examine the potential protective effects of hyperbaric oxygen (HBO) and iloprost (IL) therapy on lung damage induced by limb ischemia/reperfusion injury in a rabbit model, using both biochemical and histopathological aspects.

METHODS

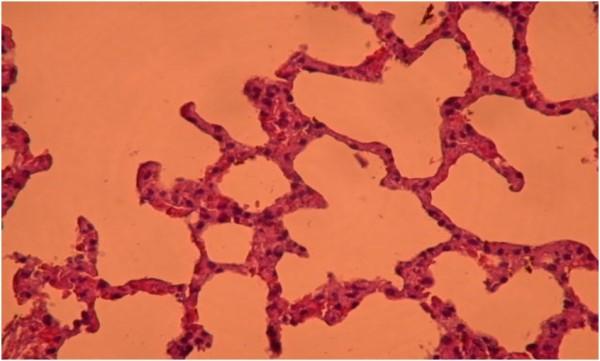
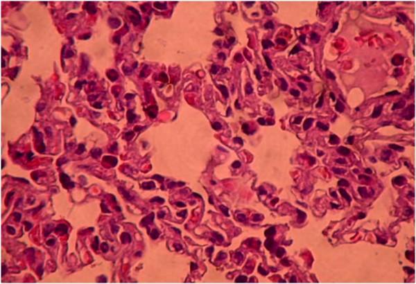
Forty New Zealand white rabbits were randomly allocated into one of five study groups: HBO group (single session of HBO treatment); IL group (25 ng/kg/min infusion of IL); HBO + IL group (both HBO and IL); Control group (0.9% saline only); and a sham group. Acute hind limb ischemia-reperfusion was established by clamping the abdominal aorta for 1 h. HBO treatment and IL infusion were administrated during 60 min of ischemia and 60 min of reperfusion period. Blood pH, partial pressure of oxygen, partial pressure of carbon dioxide and levels of bicarbonate, sodium, potassium, creatine kinase, lactate dehydrogenase, and tumor necrosis factor alpha were determined at the end of the reperfusion period. Malondialdehyde was measured in the plasma and lung as an indicator of free radicals. After sacrifice, left lungs were removed and histopathological examination determined the degree of lung injury.

RESULTS

In the control group, blood partial pressure of oxygen and bicarbonate levels were significantly lower and creatine kinase, lactate dehydrogenase, malondialdehyde and tumor necrosis factor-α levels were significantly higher than those of the HBO group, IL group, HBO + IL group and sham group. Similarly, the malondialdehyde levels in the lung tissue and plasma levels were significantly lower in the treatment groups compared with the control group. The extent of lung injury according to the histological findings was significantly higher in the control group.

CONCLUSIONS

These results suggest that both HBO and IL therapies and their combination might be effectively used in the prevention of lung injury after ischemia/reperfusion injury of the lower extremities.

摘要

背景

多器官损伤在缺血性肢体损伤导致的死亡率中的作用仍不清楚。本研究的目的是通过生化和组织病理学方面,检查高压氧(HBO)和前列环素(IL)治疗对兔肢体缺血/再灌注损伤引起的肺损伤的潜在保护作用。

方法

40 只新西兰白兔随机分为五组:HBO 组(单次 HBO 治疗);IL 组(25ng/kg/minIL 输注);HBO+IL 组(HBO 和 IL 两者皆有);对照组(仅 0.9%生理盐水);和假手术组。通过夹闭腹主动脉 1 小时建立急性后肢缺血/再灌注。在缺血 60 分钟和再灌注 60 分钟期间给予 HBO 治疗和 IL 输注。再灌注期末测定血液 pH 值、氧分压、二氧化碳分压和碳酸氢盐、钠、钾、肌酸激酶、乳酸脱氢酶和肿瘤坏死因子-α的水平。在血浆和肺中测定丙二醛作为自由基的指标。处死动物后,取出左肺并进行组织病理学检查以确定肺损伤程度。

结果

在对照组中,与 HBO 组、IL 组、HBO+IL 组和假手术组相比,血液氧分压和碳酸氢盐水平显著降低,肌酸激酶、乳酸脱氢酶、丙二醛和肿瘤坏死因子-α水平显著升高。同样,治疗组肺组织和血浆中的丙二醛水平也明显低于对照组。根据组织学发现,对照组的肺损伤程度明显更高。

结论

这些结果表明,HBO 和 IL 治疗及其联合应用可能有效地用于预防下肢缺血/再灌注损伤后的肺损伤。

https://cdn.ncbi.nlm.nih.gov/pmc/blobs/093f/3406985/5e689a1ffd05/2047-783X-17-14-1.jpg

文献AI研究员

20分钟写一篇综述,助力文献阅读效率提升50倍。

立即体验

用中文搜PubMed

大模型驱动的PubMed中文搜索引擎

马上搜索

文档翻译

学术文献翻译模型,支持多种主流文档格式。

立即体验