Suppr超能文献

外伤性心包损伤的影像学评价。

A pictorial review of traumatic pericardial injuries.

机构信息

The Royal London Hospital, Barts and the London NHS Trust, Whitechapel Road, Whitechapel, London, E1 1BB, UK.

出版信息

Insights Imaging. 2012 Aug;3(4):307-11. doi: 10.1007/s13244-012-0177-9. Epub 2012 May 15.

Abstract

BACKGROUND

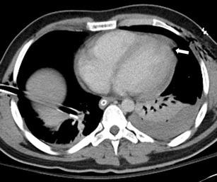
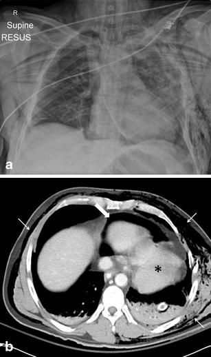
Thoracic injuries are the third most common injuries in trauma patients with cardiac injuries amongst the most lethal. Imaging is essential in diagnosis and triage of patients with pericardial injuries, and this review aims to highlight the spectrum of imaging findings of pericardial trauma. Focussed assessment with sonography for trauma (FAST) is the preferred initial examination, being rapid and accurate. Sensitivity of FAST for pericardial fluid detection is high with reported sensitivities of 97-100%. Plain chest radiography has low sensitivity for pericardial injuries but is useful in the evaluation of associated injuries. Computed tomography (CT) is the modality of choice for stable patients and can accurately diagnose traumatic pathology of the pericardium being especially useful in identification of cardiac herniation. The spectrum of CT findings includes pericardial fluid collections, focal pericardial defects and pneumopericardium.

METHODS

A selection of cases of pericardial trauma encountered at a level one trauma centre is presented. Operative findings were correlated with the FAST scan, plain radiography and computed tomography imaging.

CONCLUSION

The imaging findings of pericardial trauma with various imaging modalities (ultrasound, plain radiography and computed tomography) are presented in order to aid interpretation during the acute trauma setting.

摘要

背景

胸部损伤是创伤患者中第三大常见损伤,其中心脏损伤最为致命。影像学检查对于心包损伤患者的诊断和分诊至关重要,本综述旨在强调心包创伤的影像学表现谱。超声检查在创伤中的重点评估(FAST)是首选的初始检查,快速而准确。FAST 检测心包积液的灵敏度很高,报道的灵敏度为 97-100%。平片胸部 X 线摄影对心包损伤的灵敏度较低,但对于评估相关损伤很有用。对于稳定患者,计算机断层扫描(CT)是首选的检查方法,可以准确诊断心包的创伤性病变,特别是在识别心脏疝方面非常有用。CT 表现谱包括心包积液积聚、局灶性心包缺损和气胸。

方法

展示了在一级创伤中心遇到的一系列心包创伤病例。将手术结果与 FAST 扫描、平片和计算机断层成像进行了相关联。

结论

为了在急性创伤环境中帮助解释,本文呈现了各种影像学方法(超声、平片和计算机断层扫描)的心包创伤影像学表现。

https://cdn.ncbi.nlm.nih.gov/pmc/blobs/6f1a/3481075/f3ad71bdfbc8/13244_2012_177_Fig1_HTML.jpg

文献检索

告别复杂PubMed语法,用中文像聊天一样搜索,搜遍4000万医学文献。AI智能推荐,让科研检索更轻松。

立即免费搜索

文件翻译

保留排版,准确专业,支持PDF/Word/PPT等文件格式,支持 12+语言互译。

免费翻译文档

深度研究

AI帮你快速写综述,25分钟生成高质量综述,智能提取关键信息,辅助科研写作。

立即免费体验