Department of Dermatology, Tokyo Metropolitan Geriatric Hospital and Institute of Gerontology, Tokyo, Japan.
J Eur Acad Dermatol Venereol. 2013 Aug;27(8):952-60. doi: 10.1111/j.1468-3083.2012.04612.x. Epub 2012 Jun 15.
BACKGROUND/OBJECTIVES: Atopic dermatitis (AD) in the elderly is gradually increasing in industrialized countries in association with the aging of society. We report herein four cases of elderly AD {three extrinsic [immunoglobulin (Ig)E-mediated allergy]; one intrinsic (non-IgE-allergy)} in which we investigated the presence of IgE+ cells in lesional skin.
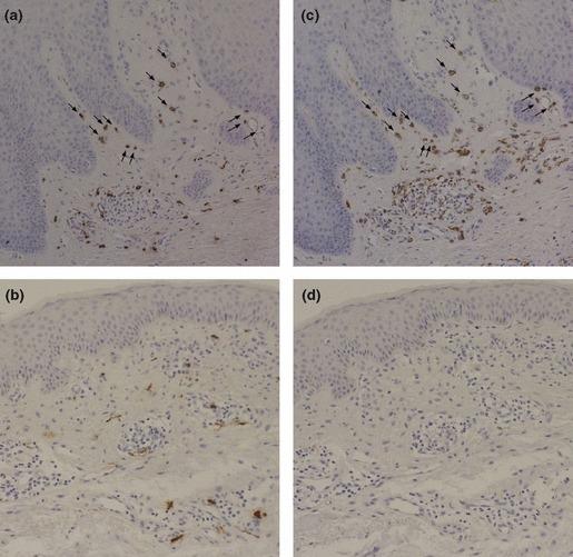
METHODS/RESULTS: Single immunohistochemical and double immunofluorescence stainings were performed for skin biopsy specimens from AD patients and non-atopic control subjects with chronic eczema. In the lesional lichenified skin of patients with extrinsic elderly AD, numerous IgE+ cells were found among inflammatory cells infiltrates in the upper dermis. Comparative analysis of single immunohistochemistry results using serial paraffin and/or frozen sections found that many IgE+ cells showed identical distributions to tryptase+ mast cells. IgE+ cells coincident with CD1a+ Langerhans cells in the epidermis were found in small numbers only in frozen sections. Double immunofluorescence staining for IgE and CD11c revealed cells coexpressing IgE and CD11c with a dendritic morphology in the papillary and upper dermis. These IgE+ mast cells and IgE+ CD11c+ cells were also found in cured normal-looking skin from a patient with extrinsic elderly AD after successful treatment. Although only a few weakly positive IgE+ cells were detected, no IgE+CD11c+ cells were found in specimens from patients with intrinsic elderly AD or non-atopic chronic eczema.
IgE-mediated allergic inflammation may play an important role in the pathobiology of elderly AD, similar to other age groups of AD.
背景/目的:特应性皮炎(AD)在工业化国家中与社会老龄化相关,其发病率在老年人中逐渐增加。我们报告了 4 例老年特应性皮炎患者(3 例为外源性[免疫球蛋白(Ig)E 介导的过敏];1 例为内源性(非 IgE-过敏)),我们对其皮损中 IgE+细胞的存在进行了研究。
方法/结果:对特应性皮炎患者和非特应性慢性湿疹对照患者的皮肤活检标本进行了单次免疫组织化学和双免疫荧光染色。在外源性老年 AD 的皮损苔藓样皮肤中,在上皮下真皮浸润的炎症细胞中发现了大量 IgE+细胞。使用连续石蜡和/或冷冻切片对单次免疫组织化学结果进行的比较分析发现,许多 IgE+细胞与类胰蛋白酶+肥大细胞具有相同的分布。在冷冻切片中仅发现少量 IgE+细胞与表皮中的 CD1a+朗格汉斯细胞一致。双免疫荧光染色 IgE 和 CD11c 显示在乳头层和上真皮中存在共表达 IgE 和 CD11c 的树突状形态的 IgE+肥大细胞和 IgE+CD11c+细胞。在外源性老年 AD 患者成功治疗后治愈的正常外观皮肤中也发现了这些 IgE+肥大细胞和 IgE+CD11c+细胞。尽管仅检测到少数弱阳性 IgE+细胞,但在内在性老年 AD 或非特应性慢性湿疹患者的标本中未发现 IgE+CD11c+细胞。
与其他年龄组 AD 相似,IgE 介导的过敏炎症可能在老年 AD 的发病机制中起重要作用。