University of Birmingham, Birmingham, UK.
Diabetes Care. 2012 Sep;35(9):1913-8. doi: 10.2337/dc11-2076. Epub 2012 Jun 29.
Impairment of skin quality may contribute to diabetic foot ulceration (DFU). Our goal was to determine whether high-risk patients exhibited specific skin structural and metabolic deficits that could predispose to foot complications.
A total of 46 patients comprising 9 diabetic control subjects, 16 with diabetic peripheral neuropathy (DPN) alone, and 21 with recurrent DFUs (including 9 with Charcot neuroarthropathy [CNA]) were recruited and compared with 14 nondiabetic control (NDC) subjects. DPN was assessed using the Michigan Neuropathy Screening Instrument (MNSI). Skin punch biopsies (3 mm) were performed on upper and lower leg skin for measurements of intraepidermal nerve fiber density (IENFD), structural analysis, type 1 procollagen abundance, tissue degrading matrix metalloproteinases (MMPs), and poly(ADP-ribose) (PAR) immunoreactivity.
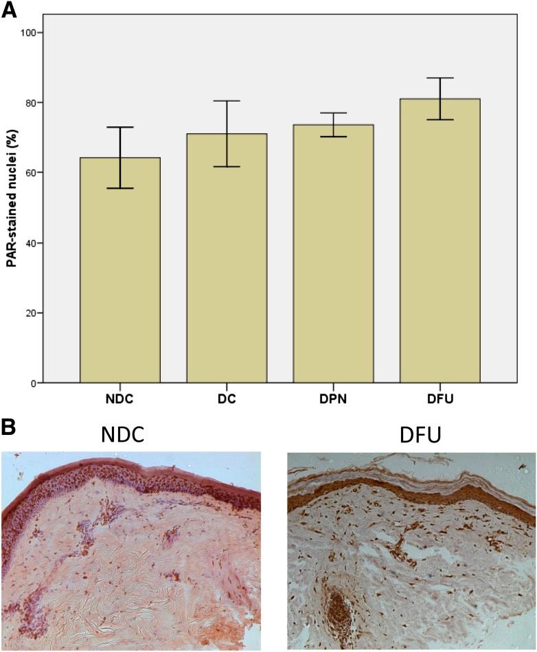
MNSI scores were comparable across DPN groups. IENFD was decreased by diabetes and DPN but did not differ between neuropathic groups. Skin structural deficit scores were elevated in all neuropathic subjects, particularly in the DFU group. Type 1 procollagen abundance was reduced in DFU subjects 387 ± 256 units (mean ± 1 SD) compared with NDC subjects (715 ± 100, P < 0.001). MMP-1 and MMP-2 were activated by diabetes. PAR immunoreactivity was increased in DFU (particularly in the CNA group; P < 0.01) compared with other DPN subjects.
Increased PAR, reduced type 1 procollagen abundance, and impaired skin structure are associated with foot complications in diabetes. The potential of therapies that improve skin quality to reduce DFU needs to be investigated.
皮肤质量的损害可能导致糖尿病足溃疡(DFU)。我们的目的是确定高危患者是否表现出特定的皮肤结构和代谢缺陷,从而易患足部并发症。
共招募了 46 名患者,包括 9 名糖尿病对照受试者、16 名单纯糖尿病周围神经病变(DPN)患者和 21 名复发性 DFU 患者(包括 9 名夏科氏神经关节病[CNA]患者),并与 14 名非糖尿病对照(NDC)受试者进行了比较。DPN 使用密歇根神经病变筛查工具(MNSI)进行评估。在上肢和下肢皮肤进行皮肤穿刺活检(3 毫米),以测量表皮内神经纤维密度(IENFD)、结构分析、I 型前胶原丰度、组织降解基质金属蛋白酶(MMPs)和多聚(ADP-核糖)(PAR)免疫反应性。
MNSI 评分在 DPN 组之间无差异。糖尿病和 DPN 均可降低 IENFD,但神经病变组之间无差异。所有神经病变患者的皮肤结构缺陷评分均升高,尤其是在 DFU 组。DFU 患者的 I 型前胶原丰度比 NDC 患者降低 387 ± 256 单位(平均值 ± 1 标准差)(715 ± 100,P < 0.001)。糖尿病激活 MMP-1 和 MMP-2。DFU 患者的 PAR 免疫反应性增加(尤其是 CNA 组;P < 0.01),与其他 DPN 患者相比。
PAR 增加、I 型前胶原丰度降低和皮肤结构受损与糖尿病足部并发症有关。需要研究改善皮肤质量的疗法降低 DFU 的潜力。