Suppr超能文献

肝炎后肝硬化继发门静脉高压症时,起源静脉的直径决定食管和胃底静脉曲张。

The diameter of the originating vein determines esophageal and gastric fundic varices in portal hypertension secondary to posthepatitic cirrhosis.

机构信息

Sichuan Key Laboratory of Medical Imaging, Department of Radiology, Affiliated Hospital of North Sichuan Medical College, Sichuan, China.

出版信息

Clinics (Sao Paulo). 2012;67(6):609-14. doi: 10.6061/clinics/2012(06)11.

Abstract

OBJECTIVE

The aim of this study was to determine whether and how the diameter of the vein that gives rise to the inflowing vein of the esophageal and gastric fundic varices secondary to posthepatitic cirrhosis, as measured with multidetector-row computed tomography, could predict the varices and their patterns.

METHODS

A total of 106 patients with posthepatitic cirrhosis underwent multidetector-row computed tomography. Patients with and without esophageal and gastric fundic varices were enrolled in Group 1 and Group 2, respectively. Group 1 was composed of Subgroup A, consisting of patients with varices, and Subgroup B consisted of patients with varices in combination with portal vein-inferior vena cava shunts. The diameters of the originating veins of veins entering the varices were reviewed and statistically analyzed.

RESULTS

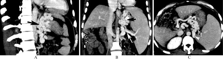
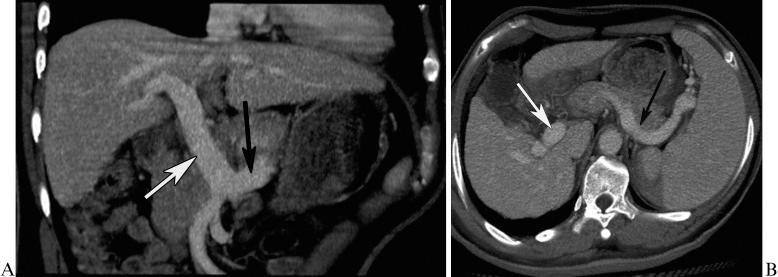
The originating veins were the portal vein in 8% (6/75) of patients, the splenic vein in 65.3% (49/75) of patients, and both the portal and splenic veins in 26.7% (20/75) of patients. The splenic vein diameter in Group 1 was larger than that in Group 2, whereas no differences in portal vein diameters were found between groups. In Group 1, the splenic vein diameter in Subgroup A was larger than that in Subgroup B. A cut-off splenic vein diameter of 8.5 mm achieved a sensitivity of 83.3% and specificity of 58.1% for predicting the varices. For discrimination of the varices in combination with and without portal vein-inferior vena cava shunts, a cut-off diameter of 9.5 mm achieved a sensitivity of 66.7% and specificity of 60.0%.

CONCLUSION

The diameter of the splenic vein can be used to predict esophageal and gastric fundic varices and their patterns.

摘要

目的

本研究旨在通过多层螺旋 CT 测量肝炎后肝硬化引起的食管胃底静脉曲张流入静脉的直径,确定其是否以及如何预测静脉曲张及其模式。

方法

共对 106 例肝炎后肝硬化患者进行多层螺旋 CT 检查。将有和无食管胃底静脉曲张的患者分别纳入第 1 组和第 2 组。第 1 组包括有静脉曲张的亚组 A 和同时有静脉曲张及门静脉-下腔静脉分流的亚组 B。回顾并统计分析了进入静脉曲张的起始静脉的直径。

结果

8%(6/75)的患者起源静脉为门静脉,65.3%(49/75)的患者为脾静脉,26.7%(20/75)的患者为门静脉和脾静脉。第 1 组的脾静脉直径大于第 2 组,而两组门静脉直径无差异。在第 1 组中,亚组 A 的脾静脉直径大于亚组 B。脾静脉直径 8.5mm 的截断值对预测静脉曲张的敏感性为 83.3%,特异性为 58.1%。对于区分有和无门静脉-下腔静脉分流的静脉曲张,截断直径 9.5mm 的敏感性为 66.7%,特异性为 60.0%。

结论

脾静脉直径可用于预测食管胃底静脉曲张及其模式。

https://cdn.ncbi.nlm.nih.gov/pmc/blobs/9702/3370313/f948fcc5e515/cln-67-06-609-g001.jpg

文献AI研究员

20分钟写一篇综述,助力文献阅读效率提升50倍。

立即体验

用中文搜PubMed

大模型驱动的PubMed中文搜索引擎

马上搜索

文档翻译

学术文献翻译模型,支持多种主流文档格式。

立即体验