• 文献检索
  • 文档翻译
  • 深度研究
  • 学术资讯
  • Suppr Zotero 插件Zotero 插件
  • 邀请有礼
  • 套餐&价格
  • 历史记录
应用&插件
Suppr Zotero 插件Zotero 插件浏览器插件Mac 客户端Windows 客户端微信小程序
定价
高级版会员购买积分包购买API积分包
服务
文献检索文档翻译深度研究API 文档MCP 服务
关于我们
关于 Suppr公司介绍联系我们用户协议隐私条款
关注我们

Suppr 超能文献

核心技术专利:CN118964589B侵权必究
粤ICP备2023148730 号-1Suppr @ 2026

文献检索

告别复杂PubMed语法,用中文像聊天一样搜索,搜遍4000万医学文献。AI智能推荐,让科研检索更轻松。

立即免费搜索

文件翻译

保留排版,准确专业,支持PDF/Word/PPT等文件格式,支持 12+语言互译。

免费翻译文档

深度研究

AI帮你快速写综述,25分钟生成高质量综述,智能提取关键信息,辅助科研写作。

立即免费体验

卵胞浆内单精子注射与胚胎移植后发生的卵巢妊娠:一例报告

Ovarian Pregnancy following Intracytoplasmic Sperm Injection and Embryo Transfer: A Case Report.

作者信息

Ramachandran Amar, Sharma Swati, Pratap Kumar, Rajesh Bhakta, Akhila Vasudeva, Ramayapally Akhila, Valiathan Manna

机构信息

Department of OBG, Kasturba Medical College, Manipal 576104, India.

出版信息

Case Rep Obstet Gynecol. 2012;2012:389107. doi: 10.1155/2012/389107. Epub 2012 Jun 17.

DOI:10.1155/2012/389107
PMID:22762004
原文链接:https://pmc.ncbi.nlm.nih.gov/articles/PMC3384898/
Abstract

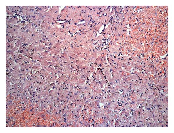
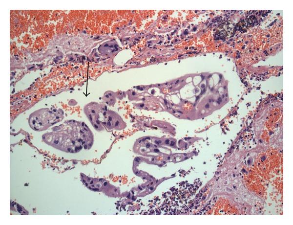
Ovarian pregnancy is a rare form of ectopic pregnancy following ICSI-ET, and the diagnosis depends on the physicians suspicion and experience. Preservation of ovarian tissue during surgery is of utmost importance to preserve fertility. We present a case of ovarian pregnancy who had a successful treatment preserving the ovary.

摘要

卵巢妊娠是体外受精-胚胎移植(ICSI-ET)后罕见的一种异位妊娠形式,其诊断依赖于医生的怀疑和经验。手术过程中保留卵巢组织对于保留生育能力至关重要。我们报告一例成功保留卵巢进行治疗的卵巢妊娠病例。

https://cdn.ncbi.nlm.nih.gov/pmc/blobs/cd02/3384898/0957a3b166eb/CRIM.OBGYN2012-389107.002.jpg
https://cdn.ncbi.nlm.nih.gov/pmc/blobs/cd02/3384898/72639305cfb1/CRIM.OBGYN2012-389107.001.jpg
https://cdn.ncbi.nlm.nih.gov/pmc/blobs/cd02/3384898/0957a3b166eb/CRIM.OBGYN2012-389107.002.jpg
https://cdn.ncbi.nlm.nih.gov/pmc/blobs/cd02/3384898/72639305cfb1/CRIM.OBGYN2012-389107.001.jpg
https://cdn.ncbi.nlm.nih.gov/pmc/blobs/cd02/3384898/0957a3b166eb/CRIM.OBGYN2012-389107.002.jpg

相似文献

1
Ovarian Pregnancy following Intracytoplasmic Sperm Injection and Embryo Transfer: A Case Report.卵胞浆内单精子注射与胚胎移植后发生的卵巢妊娠:一例报告
Case Rep Obstet Gynecol. 2012;2012:389107. doi: 10.1155/2012/389107. Epub 2012 Jun 17.
2
Ovarian ectopic pregnancy after intracytoplasmic sperm injection.
Eur J Obstet Gynecol Reprod Biol. 2004 Jan 15;112(1):104-6. doi: 10.1016/s0301-2115(03)00276-8.
3
Rare association of ovarian implantation site for patients with heterotopic and with primary ectopic pregnancies after ICSI and blastocyst transfer.卵胞浆内单精子注射(ICSI)及囊胚移植后异位妊娠和原发性宫外孕患者卵巢着床部位的罕见关联。
Hum Reprod. 2001 Oct;16(10):2227-9. doi: 10.1093/humrep/16.10.2227.
4
Ovarian ectopic pregnancy after ICSI-ET: a case report and literature review.
Arch Gynecol Obstet. 2008 Aug;278(2):191-3. doi: 10.1007/s00404-008-0562-2. Epub 2008 Jan 31.
5
Ectopic ovarian pregnancy after intracytoplasmic sperm injection with testicular spermatozoa - a case report.睾丸精子胞浆内注射后发生的异位卵巢妊娠——病例报告
JBRA Assist Reprod. 2017 Jun 1;21(2):135-136. doi: 10.5935/1518-0557.20170029.
6
A rare case of unruptured viable secondary ovarian pregnancy after IVF/ICSI treated by conservative laparoscopic surgery.1例体外受精/卵胞浆内单精子注射术后未破裂的存活继发性卵巢妊娠经保守性腹腔镜手术治疗的罕见病例。
J Hum Reprod Sci. 2012 Jan;5(1):61-3. doi: 10.4103/0974-1208.97808.
7
Comparison of day 2 tubal embryo transfer with day 3 embryo transfer into the uterus of intracytoplasmic sperm injection derived human embryos.卵胞浆内单精子注射衍生的人类胚胎于第2天进行输卵管胚胎移植与第3天进行子宫胚胎移植的比较。
Taiwan J Obstet Gynecol. 2006 Sep;45(3):230-3. doi: 10.1016/S1028-4559(09)60230-8.
8
Cryobiology in human assisted reproductive technology. Would Hippocrates approve?人类辅助生殖技术中的低温生物学。希波克拉底会赞同吗?
Early Pregnancy (Cherry Hill). 2001 Jul;5(3):211-3.
9
[Effects of cystectomy for ovary benign cyst on ovarian reserve and pregnancy outcome of in vitro fertilization-embryo transfer cycle].[卵巢良性囊肿剥除术对卵巢储备功能及体外受精-胚胎移植周期妊娠结局的影响]
Zhonghua Fu Chan Ke Za Zhi. 2016 Mar;51(3):180-5. doi: 10.3760/cma.j.issn.0529-567X.2016.03.004.
10
Effects of testicular sperm aspiration upon first cycle ICSI-ET for type 2 diabetic male patients.睾丸精子抽吸术对 2 型糖尿病男性患者首次 ICSI-ET 周期的影响。
Syst Biol Reprod Med. 2020 Dec;66(6):355-363. doi: 10.1080/19396368.2020.1785042. Epub 2020 Jul 27.

引用本文的文献

1
Successful laparoscopic management of a rare complication after embryo transfer: ovarian pregnancy. A case report and up-to-date literature review.成功运用腹腔镜处理胚胎移植后的罕见并发症:卵巢妊娠。病例报告及最新文献综述
Wideochir Inne Tech Maloinwazyjne. 2016 Jan;10(4):574-9. doi: 10.5114/wiitm.2015.55893. Epub 2015 Nov 27.
2
Thirteen -weeks ovarian pregnancy following in vitro fertilization for primary infertility treatment: A case report.原发性不孕症体外受精后发生的13周卵巢妊娠:一例报告
Iran J Reprod Med. 2014 Nov;12(11):779-84.

本文引用的文献

1
Bilateral ovarian pregnancy after in vitro fertilization and embryo transfer in a patient with tubal factor infertility.一名输卵管因素不孕患者体外受精与胚胎移植后发生双侧卵巢妊娠。
J Assist Reprod Genet. 2004 May;21(5):181-3. doi: 10.1023/b:jarg.0000031252.25087.22.
2
Influence of embryo transfer depth on in vitro fertilization and embryo transfer outcomes.胚胎移植深度对体外受精及胚胎移植结局的影响。
Fertil Steril. 2004 Jan;81(1):51-8. doi: 10.1016/j.fertnstert.2003.05.030.
3
Ovarian ectopic pregnancy after intracytoplasmic sperm injection.
Eur J Obstet Gynecol Reprod Biol. 2004 Jan 15;112(1):104-6. doi: 10.1016/s0301-2115(03)00276-8.
4
Rare association of ovarian implantation site for patients with heterotopic and with primary ectopic pregnancies after ICSI and blastocyst transfer.卵胞浆内单精子注射(ICSI)及囊胚移植后异位妊娠和原发性宫外孕患者卵巢着床部位的罕见关联。
Hum Reprod. 2001 Oct;16(10):2227-9. doi: 10.1093/humrep/16.10.2227.
5
Junctional zone contractions and embryo transfer: is it safe to use a tenaculum?子宫峡部收缩与胚胎移植:使用子宫探针安全吗?
Hum Reprod. 1999 Sep;14(9):2367-70. doi: 10.1093/humrep/14.9.2367.
6
Primary ovarian pregnancy after in vitro fertilization and embryo transfer: report of seven cases.体外受精与胚胎移植后原发性卵巢妊娠:7例报告
Fertil Steril. 1993 Jul;60(1):167-9.
7
Mock embryo transfer in early luteal phase, the cycle before in vitro fertilization and embryo transfer: a descriptive study.
Fertil Steril. 1992 Jan;57(1):156-62.