Suppr超能文献

一名患有爱泼斯坦-巴尔病毒引起的单核细胞增多症和新发系统性红斑狼疮患者的多发性肉芽肿性肺部病变:病例报告

Multiple granulomatous lung lesions in a patient with Epstein-Barr-virus-induced mononucleosis and new-onset systemic lupus erythematosus: a case report.

作者信息

Sakurai Aki, Shimizu Shinichi, Morioka Shinichiro, Fujita Tetsuo, Ema Ryogo, Miki Yoshihiro, Tomita Kazuhiro, Nakamura Toru, Toyoda Futoru, Otsuki Yoshiro, Kobayashi Hiroshi, Nakamura Hidenori

机构信息

Department of Pulmonary Medicine, Seirei Hamamatsu Hospital, 2-12-12 Sumiyoshi, Hamamatsu, Shizuoka, Japan.

出版信息

J Med Case Rep. 2012 Jul 9;6:191. doi: 10.1186/1752-1947-6-191.

Abstract

INTRODUCTION

Granulomatous lesions are commonly encountered abnormalities in pulmonary pathology, and often pose a diagnostic challenge. We report an unusual case of granulomatous lung disease with uncommon characteristics, which developed following Epstein-Barr-virus-induced mononucleosis and new-onset systemic lupus erythematosus. We aim to highlight a diagnostic approach for the condition and to raise awareness of the possibility of it being related to the immunological reaction caused by Epstein-Barr virus infection.

CASE PRESENTATION

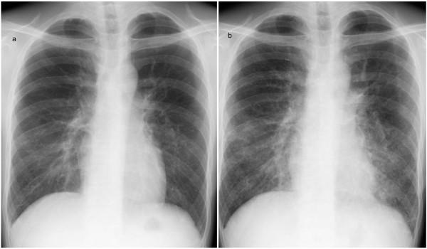
A 36-year-old Japanese man, who had been diagnosed with Epstein-Barr-virus-induced infectious mononucleosis, new-onset systemic lupus erythematosus, and secondary Sjögren's syndrome three weeks previously, presented to our facility with fever and diffuse pulmonary infiltrates. A computed tomography scan of the chest revealed multiple small nodules in both lungs. Fiberoptic bronchoscopy with bronchoalveolar lavage revealed lymphocytosis with predominance of T lymphocytes. A histological examination of a lung biopsy taken during video-assisted thoracic surgery showed randomly distributed tiny granulomatous lesions with infiltration of eosinophils. The differential diagnoses included hypersensitivity pneumonitis, sarcoidosis, and pulmonary involvement of Crohn's disease, systemic lupus erythematosus, and Sjögren's syndrome, but the clinical and pathological findings were not consistent with any of these. Our patient's condition did not improve; therefore, prednisolone therapy was started because of the possibility of specific immunological reactions associated with Epstein-Barr virus infection. After steroid treatment, our patient showed radiological and clinical improvement.

CONCLUSIONS

To the best of our knowledge, this is the first case of a patient developing randomly distributed multiple granulomatous lung lesions with eosinophilic infiltrates after Epstein-Barr virus infection and systemic lupus erythematosus. On the basis of our data, we hypothesize that Epstein-Barr virus infection altered the immune response of our predisposed patient and contributed to the pathogenesis of the lung lesions. Our patient's clinical response to steroid treatment was excellent.

摘要

引言

肉芽肿性病变是肺部病理学中常见的异常情况,常常带来诊断挑战。我们报告一例具有不寻常特征的肉芽肿性肺病罕见病例,该病例在爱泼斯坦-巴尔病毒(EB病毒)引起的单核细胞增多症和新发系统性红斑狼疮后出现。我们旨在强调针对该病症的诊断方法,并提高对其可能与EB病毒感染引起的免疫反应相关的认识。

病例介绍

一名36岁的日本男性,三周前被诊断为EB病毒引起的传染性单核细胞增多症、新发系统性红斑狼疮和继发性干燥综合征,因发热和双肺弥漫性浸润前来我院就诊。胸部计算机断层扫描显示双肺有多个小结节。纤维支气管镜检查及支气管肺泡灌洗显示淋巴细胞增多,以T淋巴细胞为主。电视辅助胸腔镜手术中获取的肺活检组织学检查显示有随机分布的微小肉芽肿性病变,伴有嗜酸性粒细胞浸润。鉴别诊断包括过敏性肺炎、结节病以及克罗恩病、系统性红斑狼疮和干燥综合征的肺部受累,但临床和病理表现均不符合上述任何一种情况。我们患者的病情没有改善;因此,鉴于可能存在与EB病毒感染相关的特异性免疫反应,开始使用泼尼松龙治疗。激素治疗后,患者的影像学和临床症状均有改善。

结论

据我们所知,这是首例在EB病毒感染和系统性红斑狼疮后出现随机分布的多个伴有嗜酸性粒细胞浸润的肉芽肿性肺病变的患者。基于我们的数据,我们推测EB病毒感染改变了这位易感患者的免疫反应,并促成了肺部病变的发病机制。我们患者对激素治疗的临床反应良好。

https://cdn.ncbi.nlm.nih.gov/pmc/blobs/a8a0/3423016/bad602d4b570/1752-1947-6-191-1.jpg

文献检索

告别复杂PubMed语法,用中文像聊天一样搜索,搜遍4000万医学文献。AI智能推荐,让科研检索更轻松。

立即免费搜索

文件翻译

保留排版,准确专业,支持PDF/Word/PPT等文件格式,支持 12+语言互译。

免费翻译文档

深度研究

AI帮你快速写综述,25分钟生成高质量综述,智能提取关键信息,辅助科研写作。

立即免费体验