Suppr超能文献

系统性红斑狼疮和干燥综合征中与爱泼斯坦-巴尔病毒相关的淋巴细胞间质性肺炎。使用皮质类固醇和环磷酰胺后完全缓解。

Lymphocytic interstitial pneumonitis associated with Epstein-Barr virus in Systemic Lupus Erythematosus and Sjögren's Syndrome. Complete remission with corticosteriod and cyclophosphamide.

作者信息

Yum Ho-Kee, Kim Eun Soon, Ok Kyung Sun, Lee Hye Kyung, Choi Soo Jeon

机构信息

Department of Internal Medicine, Inje University College of Medicine, Seoul, Korea.

出版信息

Korean J Intern Med. 2002 Sep;17(3):198-203. doi: 10.3904/kjim.2002.17.3.198.

Abstract

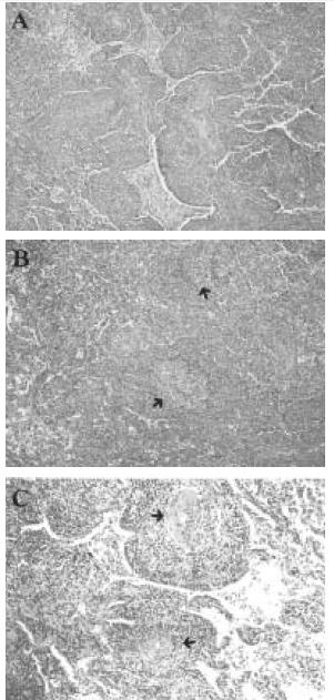
Lymphocytic interstitial pneumonitis (LIP) is characterized by diffuse bilateral pulmonary infiltrations in both lower lobes. Pleomorphic lymphohistiocytes including mature lymphocytes, variable admixture of plasma cells and other mononuclear cells infiltrate within the pulmonary interstitium, ranging from widened septa to confluent masses. We report a case of LIP associated with Epstein-Barr virus in a patient with SLE and Sjögren's syndrome. A 50-year-old woman was admitted with insidious onset of progressive dyspnea for 20 days. She suffered from arthritis 10 years earlier without specific diagnosis. A radiography of chest has showed bilateral consolidative infiltrations with pleural effusion in both lower lung fields. Open lung biopsy documented lymphocytic interstitial pneumonitis which expressed Epstein-Barr virus genome in situ hybridization study. Following corticosteroid and cyclophosphamide therapy, clinical symptoms and radiologic infiltrations gradually remitted.

摘要

淋巴细胞间质性肺炎(LIP)的特征是双肺下叶弥漫性双侧肺部浸润。多形性淋巴组织细胞,包括成熟淋巴细胞、不同比例的浆细胞和其他单核细胞浸润于肺间质,范围从增宽的间隔到融合性肿块。我们报告1例系统性红斑狼疮(SLE)和干燥综合征患者发生的与EB病毒相关的LIP。一名50岁女性因隐匿起病的进行性呼吸困难20天入院。她10年前患有关节炎,但未明确诊断。胸部X线检查显示双侧下肺野实变浸润伴胸腔积液。开胸肺活检证实为淋巴细胞间质性肺炎,原位杂交研究显示其表达EB病毒基因组。经皮质类固醇和环磷酰胺治疗后,临床症状和影像学浸润逐渐缓解。

https://cdn.ncbi.nlm.nih.gov/pmc/blobs/d26d/4531674/e63a21ed8073/kjim-17-3-198-7f1.jpg

文献AI研究员

20分钟写一篇综述,助力文献阅读效率提升50倍。

立即体验

用中文搜PubMed

大模型驱动的PubMed中文搜索引擎

马上搜索

文档翻译

学术文献翻译模型,支持多种主流文档格式。

立即体验