Suppr超能文献

半弓及降主动脉瘤破裂:杂交治疗

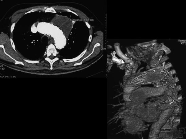
Ruptured hemiarch and descending thoracic aorta aneurysm: hybrid treatment.

作者信息

Settembrini Alberto, Mazzaccaro Daniela, Stegher Silvia, Occhiuto Maria Teresa, Malacrida Giovanni, Nano Giovanni

机构信息

Postgraduate School in Vascular Surgery, Milano, Italy.

出版信息

J Cardiothorac Surg. 2012 Jul 10;7:66. doi: 10.1186/1749-8090-7-66.

Abstract

Ruptured aortic arch aneurysm is a life threatening disease. Surgical repair has an high perioperative mortality rate and totally endovascular treatment is a challenge. Hybrid repair has been proposed as a valuable approach. We report the case of a patient with a contained rupture of aortic arch aneurysm. We treated him with a debranching of supraortic vessels with carotid-carotid and carotid-subclavian bypass and deployment of two enodgrafts in two different times. We consider hybrid treatment for arch and hemiarch a feasible option for aortic arch aneurysms in non emergent and in an emergency setting with an improvement in perioperative morbidity and mortality.

摘要

主动脉弓动脉瘤破裂是一种危及生命的疾病。手术修复围手术期死亡率高,完全血管内治疗具有挑战性。杂交修复已被提出作为一种有价值的方法。我们报告一例主动脉弓动脉瘤局限性破裂患者的病例。我们通过颈动脉-颈动脉和颈动脉-锁骨下动脉旁路对主动脉上血管进行去分支,并分两次植入两枚血管内移植物对其进行治疗。我们认为,对于非急诊和急诊情况下的主动脉弓动脉瘤,杂交治疗主动脉弓和半弓是一种可行的选择,可改善围手术期发病率和死亡率。

https://cdn.ncbi.nlm.nih.gov/pmc/blobs/26b9/3439684/ce0a7efcd058/1749-8090-7-66-1.jpg

文献AI研究员

20分钟写一篇综述,助力文献阅读效率提升50倍。

立即体验

用中文搜PubMed

大模型驱动的PubMed中文搜索引擎

马上搜索

文档翻译

学术文献翻译模型,支持多种主流文档格式。

立即体验