Yoo Jong Han, Shin Jae Ho, An Min Sung, Ha Tae Kwun, Kim Kwang Hee, Bae Ki Beom, Kim Tae Hyeon, Choi Chang Soo, Hong Kwan Hee, Kim Jeong, Jung Soo Jin, Kim Sun Hee, Rho Kuk Hwan, Kim Jong Tae, Yang Young Il
Department of Surgery, Busan Paik Hospital, Inje University College of Medicine, Busan, Korea.
J Korean Soc Coloproctol. 2012 Jun;28(3):132-9. doi: 10.3393/jksc.2012.28.3.132. Epub 2012 Jun 30.
This experimental study verified the effect of adipose-tissue-derived stem cells (ASCs) on the healing of ischemic colonic anastomoses in rats.
ASCs were isolated from the subcutaneous fat tissue of rats and identified as mesenchymal stem cells by identification of different potentials. An animal model of colonic ischemic anastomosis was induced by modifying Nagahata's method. Sixty male Sprague-Dawley rats (10-week-old, 370 ± 50 g) were divided into two groups (n = 30 each): a control group in which the anastomosis was sutured in a single layer with 6-0 polypropylene without any treatment and an ASCtreated group (ASC group) in which the anastomosis was sutured as in the control group, but then ASCs were locally transplanted into the bowel wall around the anastomosis. The rats were sacrificed on postoperative day 7. Healing of the anastomoses was assessed by measuring loss of body weight, wound infection, anastomotic leakage, mortality, adhesion formation, ileus, anastomotic stricture, anastomotic bursting pressure, histopathological features, and microvascular density.
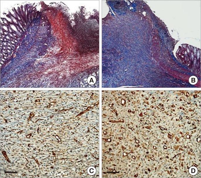
No differences in wound infection, anastomotic leakage, or mortality between the two groups were observed. The ASC group had significantly more favorable anastomotic healing, including less body weight lost, less ileus, and fewer ulcers and strictures, than the control group. ASCs augmented bursting pressure and collagen deposition. The histopathological features were significantly more favorable in the ASC group, and microvascular density was significantly higher than it was in the control group.
Locally-transplanted ASCs enhanced healing of ischemic colonic anastomoses by increasing angiogenesis. ASCs could be a novel strategy for accelerating healing of colonic ischemic risk anastomoses.
本实验研究验证了脂肪组织来源干细胞(ASCs)对大鼠缺血性结肠吻合口愈合的影响。
从大鼠皮下脂肪组织中分离出ASCs,并通过鉴定不同潜能将其鉴定为间充质干细胞。采用改良的长畑法诱导建立结肠缺血吻合动物模型。将60只雄性Sprague-Dawley大鼠(10周龄,370±50 g)分为两组(每组n = 30):对照组,用6-0聚丙烯单层缝合吻合口,不进行任何处理;ASCs处理组(ASC组),吻合口缝合方式同对照组,但随后将ASCs局部移植到吻合口周围的肠壁。术后第7天处死大鼠。通过测量体重减轻、伤口感染、吻合口漏、死亡率、粘连形成、肠梗阻、吻合口狭窄、吻合口破裂压力、组织病理学特征和微血管密度来评估吻合口的愈合情况。
两组在伤口感染、吻合口漏或死亡率方面未观察到差异。与对照组相比,ASC组的吻合口愈合明显更好,包括体重减轻更少、肠梗阻更少、溃疡和狭窄更少。ASCs增加了破裂压力和胶原蛋白沉积。ASC组的组织病理学特征明显更好,微血管密度明显高于对照组。
局部移植的ASCs通过增加血管生成促进缺血性结肠吻合口的愈合。ASCs可能是加速结肠缺血高危吻合口愈合的一种新策略。