INSERM U, CRCM, Cell Stress, Marseille, France.
EMBO Mol Med. 2012 Sep;4(9):964-79. doi: 10.1002/emmm.201201255. Epub 2012 Jul 23.
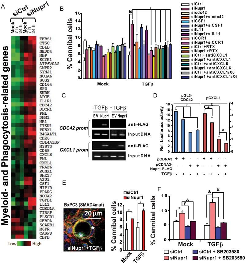
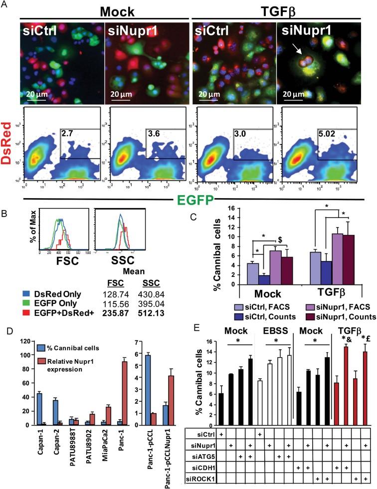
Pancreatic adenocarcinoma (PDAC) is an extremely deadly disease for which all treatments available have failed to improve life expectancy significantly. This may be explained by the high metastatic potential of PDAC cells, which results from their dedifferentiation towards a mesenchymal phenotype. Some PDAC present cell-in-cell structures whose origin and significance are currently unknown. We show here that cell-in-cells form after homotypic cell cannibalism (HoCC). We found PDAC patients whose tumours display HoCC develop less metastasis than those without. In vitro, HoCC was promoted by inactivation of the nuclear protein 1 (Nupr1), and was enhanced by treatment with transforming growth factor β. HoCC ends with death of PDAC cells, consistent with a metastasis suppressor role for this phenomenon. Hence, our data indicates a protective role for HoCC in PDAC and identifies Nupr1 as a molecular regulator of this process.
胰腺导管腺癌(PDAC)是一种极其致命的疾病,所有可用的治疗方法都未能显著提高患者的预期寿命。这可能是由于 PDAC 细胞具有很高的转移潜能,这是由于它们向间质表型去分化的结果。一些 PDAC 存在细胞内细胞结构,其起源和意义目前尚不清楚。我们在这里表明,细胞内细胞是在同质细胞吞噬(HoCC)之后形成的。我们发现,发生 HoCC 的 PDAC 患者比未发生 HoCC 的患者的转移灶更少。在体外,核蛋白 1(Nupr1)的失活促进了 HoCC,而转化生长因子β的处理则增强了 HoCC。HoCC 以 PDAC 细胞的死亡告终,这与这种现象作为转移抑制因子的作用一致。因此,我们的数据表明,HoCC 在 PDAC 中具有保护作用,并确定 Nupr1 是该过程的分子调节剂。