• 文献检索
  • 文档翻译
  • 深度研究
  • 学术资讯
  • Suppr Zotero 插件Zotero 插件
  • 邀请有礼
  • 套餐&价格
  • 历史记录
应用&插件
Suppr Zotero 插件Zotero 插件浏览器插件Mac 客户端Windows 客户端微信小程序
定价
高级版会员购买积分包购买API积分包
服务
文献检索文档翻译深度研究API 文档MCP 服务
关于我们
关于 Suppr公司介绍联系我们用户协议隐私条款
关注我们

Suppr 超能文献

核心技术专利:CN118964589B侵权必究
粤ICP备2023148730 号-1Suppr @ 2026

文献检索

告别复杂PubMed语法,用中文像聊天一样搜索,搜遍4000万医学文献。AI智能推荐,让科研检索更轻松。

立即免费搜索

文件翻译

保留排版,准确专业,支持PDF/Word/PPT等文件格式,支持 12+语言互译。

免费翻译文档

深度研究

AI帮你快速写综述,25分钟生成高质量综述,智能提取关键信息,辅助科研写作。

立即免费体验

帕金森病中线粒体代谢通过阻碍微管依赖性运输而损害质量控制自噬。

Mitochondrial metabolism in Parkinson's disease impairs quality control autophagy by hampering microtubule-dependent traffic.

机构信息

CNC – Center for Neuroscience and Cell Biology, Institute of Biology, University of Coimbra, Coimbra, Portugal.

出版信息

Hum Mol Genet. 2012 Nov 1;21(21):4680-702. doi: 10.1093/hmg/dds309. Epub 2012 Jul 27.

DOI:10.1093/hmg/dds309
PMID:22843496
原文链接:https://pmc.ncbi.nlm.nih.gov/articles/PMC3471400/
Abstract

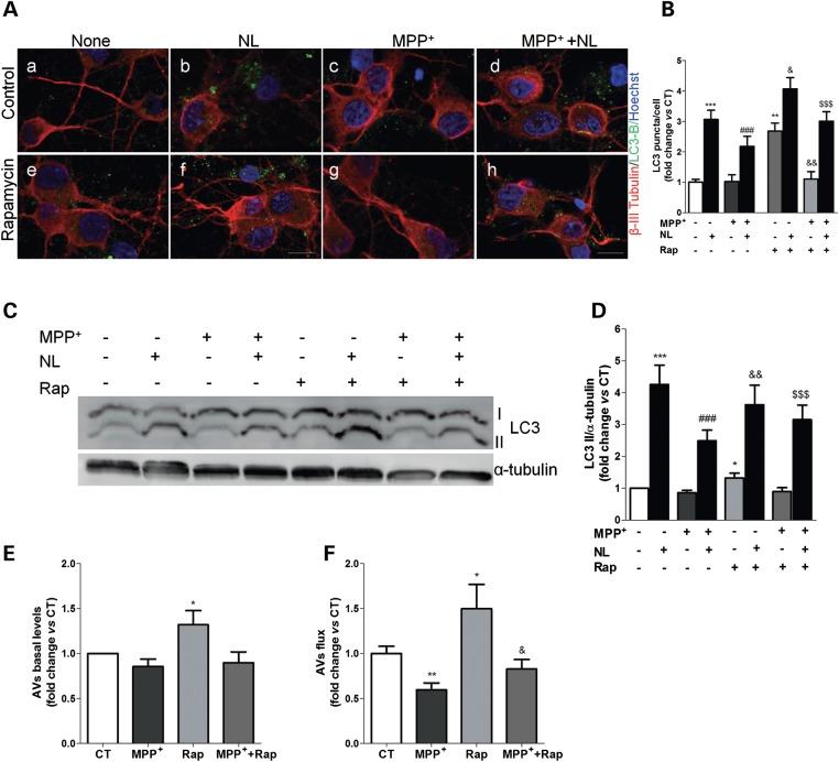
Abnormal presence of autophagic vacuoles is evident in brains of patients with Parkinson's disease (PD), in contrast to the rare detection of autophagosomes in a normal brain. However, the actual cause and pathological significance of these observations remain unknown. Here, we demonstrate a role for mitochondrial metabolism in the regulation of the autophagy-lysosomal pathway in ex vivo and in vitro models of PD. We show that transferring mitochondria from PD patients into cells previously depleted of mitochondrial DNA is sufficient to reproduce the alterations in the autophagic system observed in PD patient brains. Although the initial steps of this pathway are not compromised, there is an increased accumulation of autophagosomes associated with a defective autophagic activity. We prove that this functional decline was originated from a deficient mobilization of autophagosomes from their site of formation toward lysosomes due to disruption in microtubule-dependent trafficking. This contributed directly to a decreased proteolytic flux of α-synuclein and other autophagic substrates. Our results lend strong support for a direct impact of mitochondria in autophagy as defective autophagic clearance ability secondary to impaired microtubule trafficking is driven by dysfunctional mitochondria. We uncover mitochondria and mitochondria-dependent intracellular traffic as main players in the regulation of autophagy in PD.

摘要

帕金森病(PD)患者的大脑中明显存在自噬空泡异常,而在正常大脑中很少检测到自噬体。然而,这些观察结果的实际原因和病理意义仍然未知。在这里,我们在 PD 的离体和体外模型中证明了线粒体代谢在调控自噬溶酶体途径中的作用。我们表明,将来自 PD 患者的线粒体转移到先前耗尽线粒体 DNA 的细胞中,足以重现 PD 患者大脑中观察到的自噬系统的改变。尽管该途径的初始步骤没有受到损害,但与自噬活性缺陷相关的自噬体的积累增加。我们证明,这种功能下降源于自噬体从形成部位向溶酶体的迁移由于微管依赖性运输的中断而受损,导致自噬体的功能下降。这直接导致α-突触核蛋白和其他自噬底物的蛋白水解通量减少。我们的研究结果为线粒体对自噬的直接影响提供了有力支持,因为由于微管运输受损导致的自噬清除能力缺陷是由功能失调的线粒体驱动的。我们发现线粒体和依赖线粒体的细胞内运输是 PD 中自噬调节的主要参与者。

https://cdn.ncbi.nlm.nih.gov/pmc/blobs/8521/3471400/214a7710432d/dds30911.jpg
https://cdn.ncbi.nlm.nih.gov/pmc/blobs/8521/3471400/d3c88f25ad1f/dds30901.jpg
https://cdn.ncbi.nlm.nih.gov/pmc/blobs/8521/3471400/a66a15890db4/dds30902.jpg
https://cdn.ncbi.nlm.nih.gov/pmc/blobs/8521/3471400/b45eede566d3/dds30903.jpg
https://cdn.ncbi.nlm.nih.gov/pmc/blobs/8521/3471400/ee51cffc1906/dds30904.jpg
https://cdn.ncbi.nlm.nih.gov/pmc/blobs/8521/3471400/5b82f7f24287/dds30905.jpg
https://cdn.ncbi.nlm.nih.gov/pmc/blobs/8521/3471400/f72adf514927/dds30906.jpg
https://cdn.ncbi.nlm.nih.gov/pmc/blobs/8521/3471400/301b963cc31d/dds30907.jpg
https://cdn.ncbi.nlm.nih.gov/pmc/blobs/8521/3471400/464648cde741/dds30908.jpg
https://cdn.ncbi.nlm.nih.gov/pmc/blobs/8521/3471400/f89ac3e0423b/dds30909.jpg
https://cdn.ncbi.nlm.nih.gov/pmc/blobs/8521/3471400/7a67c847d1d1/dds30910.jpg
https://cdn.ncbi.nlm.nih.gov/pmc/blobs/8521/3471400/214a7710432d/dds30911.jpg
https://cdn.ncbi.nlm.nih.gov/pmc/blobs/8521/3471400/d3c88f25ad1f/dds30901.jpg
https://cdn.ncbi.nlm.nih.gov/pmc/blobs/8521/3471400/a66a15890db4/dds30902.jpg
https://cdn.ncbi.nlm.nih.gov/pmc/blobs/8521/3471400/b45eede566d3/dds30903.jpg
https://cdn.ncbi.nlm.nih.gov/pmc/blobs/8521/3471400/ee51cffc1906/dds30904.jpg
https://cdn.ncbi.nlm.nih.gov/pmc/blobs/8521/3471400/5b82f7f24287/dds30905.jpg
https://cdn.ncbi.nlm.nih.gov/pmc/blobs/8521/3471400/f72adf514927/dds30906.jpg
https://cdn.ncbi.nlm.nih.gov/pmc/blobs/8521/3471400/301b963cc31d/dds30907.jpg
https://cdn.ncbi.nlm.nih.gov/pmc/blobs/8521/3471400/464648cde741/dds30908.jpg
https://cdn.ncbi.nlm.nih.gov/pmc/blobs/8521/3471400/f89ac3e0423b/dds30909.jpg
https://cdn.ncbi.nlm.nih.gov/pmc/blobs/8521/3471400/7a67c847d1d1/dds30910.jpg
https://cdn.ncbi.nlm.nih.gov/pmc/blobs/8521/3471400/214a7710432d/dds30911.jpg

相似文献

1
Mitochondrial metabolism in Parkinson's disease impairs quality control autophagy by hampering microtubule-dependent traffic.帕金森病中线粒体代谢通过阻碍微管依赖性运输而损害质量控制自噬。
Hum Mol Genet. 2012 Nov 1;21(21):4680-702. doi: 10.1093/hmg/dds309. Epub 2012 Jul 27.
2
The rescue of microtubule-dependent traffic recovers mitochondrial function in Parkinson's disease.挽救微管依赖性运输可恢复帕金森病中的线粒体功能。
Biochim Biophys Acta. 2014 Jan;1842(1):7-21. doi: 10.1016/j.bbadis.2013.10.003. Epub 2013 Oct 11.
3
Mitochondria drive autophagy pathology via microtubule disassembly: a new hypothesis for Parkinson disease.线粒体通过微管解聚驱动自噬病理学:帕金森病的一个新假说。
Autophagy. 2013 Jan;9(1):112-4. doi: 10.4161/auto.22443. Epub 2012 Oct 17.
4
Mitochondrial metabolic control of microtubule dynamics impairs the autophagic pathway in Parkinson's disease.线粒体代谢对微管动力学的控制会损害帕金森病中的自噬途径。
Neurodegener Dis. 2012;10(1-4):38-40. doi: 10.1159/000332601. Epub 2011 Dec 9.
5
Mitochondrial Metabolism Regulates Microtubule Acetylome and Autophagy Trough Sirtuin-2: Impact for Parkinson's Disease.线粒体代谢通过 Sirtuin-2 调节微管乙酰化组和自噬:对帕金森病的影响。
Mol Neurobiol. 2018 Feb;55(2):1440-1462. doi: 10.1007/s12035-017-0420-y. Epub 2017 Feb 6.
6
TMEM175 deficiency impairs lysosomal and mitochondrial function and increases α-synuclein aggregation.跨膜蛋白175(TMEM175)缺陷会损害溶酶体和线粒体功能,并增加α-突触核蛋白的聚集。
Proc Natl Acad Sci U S A. 2017 Feb 28;114(9):2389-2394. doi: 10.1073/pnas.1616332114. Epub 2017 Feb 13.
7
Identification of a highly neurotoxic α-synuclein species inducing mitochondrial damage and mitophagy in Parkinson's disease.鉴定一种在帕金森病中诱导线粒体损伤和自噬的高度神经毒性α-突触核蛋白。
Proc Natl Acad Sci U S A. 2018 Mar 13;115(11):E2634-E2643. doi: 10.1073/pnas.1713849115. Epub 2018 Feb 27.
8
Impaired Autophagic-Lysosomal Fusion in Parkinson's Patient Midbrain Neurons Occurs through Loss of ykt6 and Is Rescued by Farnesyltransferase Inhibition.帕金森病患者中脑神经元的自噬溶酶体融合受损是通过 ykt6 的缺失引起的,并可以通过法尼基转移酶抑制来挽救。
J Neurosci. 2023 Apr 5;43(14):2615-2629. doi: 10.1523/JNEUROSCI.0610-22.2023. Epub 2023 Feb 14.
9
Pathogenic lysosomal depletion in Parkinson's disease.帕金森病中的致病溶酶体耗竭。
J Neurosci. 2010 Sep 15;30(37):12535-44. doi: 10.1523/JNEUROSCI.1920-10.2010.
10
Mitochondrial function and autophagy: integrating proteotoxic, redox, and metabolic stress in Parkinson's disease.线粒体功能与自噬:帕金森病中蛋白毒性、氧化还原和代谢应激的整合。
J Neurochem. 2018 Mar;144(6):691-709. doi: 10.1111/jnc.14308. Epub 2018 Feb 14.

引用本文的文献

1
Highlighting the hidden: monitoring the avidity-driven association of a fluorescent GABARAP tandem with microtubules in living cells.揭示隐藏之物:监测荧光GABARAP串联体与活细胞中微管的亲和力驱动的结合
Autophagy Rep. 2024 May 16;3(1):2348899. doi: 10.1080/27694127.2024.2348899. eCollection 2024.
2
Exosome-Mediated Mitochondrial Regulation: A Promising Therapeutic Tool for Alzheimer's Disease and Parkinson's Disease.外泌体介导的线粒体调控:治疗阿尔茨海默病和帕金森病的一种有前景的治疗工具。
Int J Nanomedicine. 2025 Apr 17;20:4903-4917. doi: 10.2147/IJN.S513816. eCollection 2025.
3
Mitochondrial and microtubule defects in Exfoliation Glaucoma.

本文引用的文献

1
Introduction. Autophagy dysregulation in neuropathology.引言。神经病理学中的自噬失调。
Brain Pathol. 2012 Jan;22(1):80-1. doi: 10.1111/j.1750-3639.2011.00547.x.
2
The mitochondrial cascade hypothesis for Parkinson's disease.线粒体级联假说与帕金森病。
Curr Pharm Des. 2011;17(31):3390-7. doi: 10.2174/138161211798072508.
3
Therapeutic intervention at cellular quality control systems in Alzheimer's and Parkinson's diseases.阿尔茨海默病和帕金森病中细胞质量控制系统的治疗干预。
剥脱性青光眼中的线粒体和微管缺陷
Free Radic Biol Med. 2025 Jun;233:226-239. doi: 10.1016/j.freeradbiomed.2025.03.046. Epub 2025 Apr 1.
4
Bacteria-organelle communication in physiology and disease.细菌-细胞器通讯在生理学和疾病中的作用。
J Cell Biol. 2024 Jul 1;223(7). doi: 10.1083/jcb.202310134. Epub 2024 May 15.
5
Focusing on mitochondria in the brain: from biology to therapeutics.关注大脑中的线粒体:从生物学到治疗学。
Transl Neurodegener. 2024 Apr 17;13(1):23. doi: 10.1186/s40035-024-00409-w.
6
Microtubule acetylation dyshomeostasis in Parkinson's disease.帕金森病中微管乙酰化的动态平衡失调。
Transl Neurodegener. 2023 May 8;12(1):20. doi: 10.1186/s40035-023-00354-0.
7
The Role of Bacteria-Mitochondria Communication in the Activation of Neuronal Innate Immunity: Implications to Parkinson's Disease.细菌-线粒体通讯在神经元固有免疫激活中的作用:对帕金森病的启示。
Int J Mol Sci. 2023 Feb 22;24(5):4339. doi: 10.3390/ijms24054339.
8
Impaired migratory phenotype of CD4 T cells in Parkinson's disease.帕金森病中CD4 T细胞迁移表型受损
NPJ Parkinsons Dis. 2022 Dec 10;8(1):171. doi: 10.1038/s41531-022-00438-0.
9
Crosstalk of organelles in Parkinson's disease - MiT family transcription factors as central players in signaling pathways connecting mitochondria and lysosomes.帕金森病中细胞器的串扰——MiT 家族转录因子作为连接线粒体和溶酶体的信号通路中的核心分子。
Mol Neurodegener. 2022 Jul 16;17(1):50. doi: 10.1186/s13024-022-00555-7.
10
A genome on shaky ground: exploring the impact of mitochondrial DNA integrity on Parkinson's disease by highlighting the use of cybrid models.摇摇欲坠的基因组:通过强调使用杂种细胞模型来探索线粒体 DNA 完整性对帕金森病的影响。
Cell Mol Life Sci. 2022 May 5;79(5):283. doi: 10.1007/s00018-022-04304-3.
Curr Pharm Des. 2011;17(31):3446-59. doi: 10.2174/138161211798072481.
4
α-Synuclein occurs physiologically as a helically folded tetramer that resists aggregation.α-突触核蛋白在生理条件下以螺旋折叠的四聚体形式存在,能够抵抗聚集。
Nature. 2011 Aug 14;477(7362):107-10. doi: 10.1038/nature10324.
5
Lysosomal proteolysis inhibition selectively disrupts axonal transport of degradative organelles and causes an Alzheimer's-like axonal dystrophy.溶酶体蛋白水解抑制作用选择性地破坏降解性细胞器的轴突运输,并导致类似阿尔茨海默病的轴突变性。
J Neurosci. 2011 May 25;31(21):7817-30. doi: 10.1523/JNEUROSCI.6412-10.2011.
6
Toxin models of mitochondrial dysfunction in Parkinson's disease.帕金森病中线粒体功能障碍的毒素模型。
Antioxid Redox Signal. 2012 May 1;16(9):920-34. doi: 10.1089/ars.2011.4033. Epub 2011 Jul 12.
7
Does mitochondrial DNA play a role in Parkinson's disease? A review of cybrid and other supportive evidence.线粒体 DNA 在帕金森病中起作用吗?对细胞融合和其他支持性证据的综述。
Antioxid Redox Signal. 2012 May 1;16(9):950-64. doi: 10.1089/ars.2011.3948. Epub 2011 May 25.
8
Bioenergetics of neurons inhibit the translocation response of Parkin following rapid mitochondrial depolarization.神经元的生物能量学抑制了 Parkin 在快速线粒体去极化后的易位反应。
Hum Mol Genet. 2011 Mar 1;20(5):927-40. doi: 10.1093/hmg/ddq531. Epub 2010 Dec 7.
9
Early deficits in synaptic mitochondria in an Alzheimer's disease mouse model.阿尔茨海默病小鼠模型中突触线粒体的早期缺陷。
Proc Natl Acad Sci U S A. 2010 Oct 26;107(43):18670-5. doi: 10.1073/pnas.1006586107. Epub 2010 Oct 11.
10
Autophagy gone awry in neurodegenerative diseases.神经退行性疾病中的自噬异常。
Nat Neurosci. 2010 Jul;13(7):805-11. doi: 10.1038/nn.2575.