Suppr超能文献

分离两种中国牛肠道病毒及其全基因组序列分析。

Isolation of two Chinese bovine enteroviruses and sequence analysis of their complete genomes.

机构信息

State Key Laboratory of Veterinary Biotechnology, Harbin Veterinary Research Institute, Chinese Academy of Agricultural Sciences, Harbin, People's Republic of China.

出版信息

Arch Virol. 2012 Dec;157(12):2369-75. doi: 10.1007/s00705-012-1424-6. Epub 2012 Aug 1.

Abstract

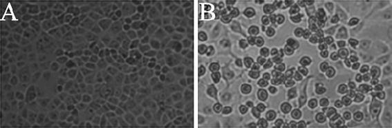
In this study, RNA corresponding to bovine enterovirus (BEV) was detected in 24.6 % of faecal samples (17/69) from diarrheic and healthy cattle in six different areas in China by an RT-PCR screening method. Furthermore, two cytopathic agents, designated as BHM26 and BJ50, were isolated from the bovine diarrheic fecal samples. During passage in MA104 cells, ultrathin sections of virus-infected monolayers were examined using a transmission electron microscope, and a large number of symmetrical virus crystals were seen in the cytoplasm, with monomorphic small viral particles of 27-30 nm in diameter. The full-length RNA genomes were 7433 and 7416 nucleotides long, respectively, with a genome organization analogous to that of picornaviruses. Phylogenetic analysis of the VP1 and VP3 capsid protein coding sequences suggested that the viruses BHM26 and BJ50 belong to genotype 2 of the BEV cluster B (BEV-B). In addition, sequence comparisons of the 5' and 3' UTRs and P1, P2 and P3 subgenomic regions of the two isolates suggested that there were intergenotypic recombination events occurring during evolution of the BHM26 and BJ50 isolates.

摘要

本研究采用 RT-PCR 筛选方法,检测了来自中国六个不同地区的 69 份腹泻和健康牛粪便样本,发现 24.6%(17/69)的样本中存在牛肠道病毒(BEV)的 RNA。此外,从牛腹泻粪便样本中分离到了两个细胞病变性制剂,分别命名为 BHM26 和 BJ50。在 MA104 细胞传代过程中,使用透射电子显微镜观察病毒感染单层细胞的超薄切片,在细胞质中观察到大量对称的病毒晶体,具有直径为 27-30nm 的同形小病毒颗粒。全长 RNA 基因组分别为 7433 和 7416 个核苷酸长,基因组组织类似于小核糖核酸病毒。VP1 和 VP3 衣壳蛋白编码序列的系统进化分析表明,BHM26 和 BJ50 病毒属于 BEV-B 簇的基因型 2(BEV-B)。此外,对两个分离株的 5'和 3'UTR 以及 P1、P2 和 P3 亚基因组区域的序列比较表明,在 BHM26 和 BJ50 分离株的进化过程中发生了基因型间重组事件。

https://cdn.ncbi.nlm.nih.gov/pmc/blobs/73e0/7087101/716ce6101908/705_2012_1424_Fig1_HTML.jpg

文献AI研究员

20分钟写一篇综述,助力文献阅读效率提升50倍。

立即体验

用中文搜PubMed

大模型驱动的PubMed中文搜索引擎

马上搜索

文档翻译

学术文献翻译模型,支持多种主流文档格式。

立即体验