Suppr超能文献

原发性甲状旁腺功能亢进症的病理评估及其对治疗的影响。对50例采用油红O染色的病例进行前瞻性评估。

The pathologic assessment of primary hyperparathyroidism and its impact on therapy. A prospective evaluation of 50 cases with oil-red-O stain.

作者信息

Dekker A, Watson C G, Barnes E L

出版信息

Ann Surg. 1979 Nov;190(5):671-5. doi: 10.1097/00000658-197911000-00020.

Abstract

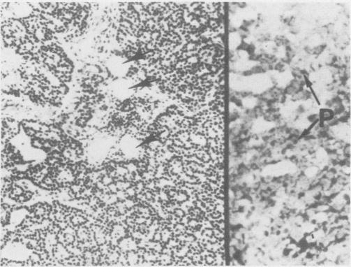
Normal and abnormal parathyroid glands removed surgically from 50 consecutive patients with primary hyperparathyroidism were studied by means of hematoxylin and eosin and oil-red-O stains. This was done to establish the incidence of the different pathological entities in our patient material, and to evaluate the role of the oil-red-O stain in the diagnostic histopathological process. The oil-red-O stain distinctly separates abnormally hyperfunctioning from normal or suppressed parathyroid tissue. Therefore, it is a valuable tool in the pathologic evaluation of patients with hyperparathyroidism. Chief cell adenomas were the most frequent lesions (88%), while diffuse hyperplasia was seen less commonly (10%) and carcinoma infrequently (2%). These findings justify a surgically conservative approach as the most desirable in managing patients with primary hyperparathyroidism.

摘要

对50例连续性原发性甲状旁腺功能亢进患者手术切除的正常及异常甲状旁腺进行苏木精-伊红染色和油红O染色研究。这样做是为了确定我们患者材料中不同病理实体的发生率,并评估油红O染色在诊断性组织病理学过程中的作用。油红O染色能清晰区分功能异常亢进的甲状旁腺组织与正常或受抑制的甲状旁腺组织。因此,它是甲状旁腺功能亢进患者病理评估中的一项有价值的工具。主细胞腺瘤是最常见的病变(88%),而弥漫性增生较少见(10%),癌罕见(2%)。这些发现证明手术保守 approach是治疗原发性甲状旁腺功能亢进患者最理想的方法。 (注:原文中“a surgically conservative approach”这里的“approach”直译为“方法”,结合语境可能更合适的表述是“手术方式”等,但按要求未添加解释,直接翻译为“方法”)

https://cdn.ncbi.nlm.nih.gov/pmc/blobs/d004/1344551/b72ab9115fb4/annsurg00237-0126-a.jpg

文献检索

告别复杂PubMed语法,用中文像聊天一样搜索,搜遍4000万医学文献。AI智能推荐,让科研检索更轻松。

立即免费搜索

文件翻译

保留排版,准确专业,支持PDF/Word/PPT等文件格式,支持 12+语言互译。

免费翻译文档

深度研究

AI帮你快速写综述,25分钟生成高质量综述,智能提取关键信息,辅助科研写作。

立即免费体验